Case Report of Complete Second Branchial Fistula
Abstract
Background. Branchial fistulas are anomalies of embryonic development of the branchial apparatus, with the most common being second branchial fistulas. However, complete fistulas are infrequent and may relapse. Furthermore, they are difficult to manage without adequate treatment.
Methods. This article presents the case of a complete second branchial fistula in a 1-year-old female patient who had a sinus on the right side of the neck since birth. Excision of the fistula tract was performed without preoperative fistulography. The tract was then ligated and dissected immediately below the mucosa.
Results. The postoperative course was uneventful, and there was no evidence of recurrence.
Conclusions. Previous case reports have also demonstrated good outcomes without excision of the internal opening or tonsillectomy.
Introduction
Branchial fistulas are caused by anomalies during embryonic development of the branchial apparatus, with those arising from the second branchial clefts being the most common.1 Although such fistulas are often encountered in daily practice, complete branchial fistulas with both external (cutaneous) and internal (oral) openings are rarely seen, compared with the more prevalent incomplete branchial fistulas with only one opening.2 If they are not treated appropriately, they can relapse and become refractory to treatment, but there is no fixed surgical procedure or preoperative examination. In this study, we report our experience with unilateral complete second branchial fistula along with our findings from a literature review.
Methods
A 1-year-old girl presented with a discharge sinus on the right side of her neck since birth. She had no relevant family or medical history. Examination revealed a tiny fistula opening at the anterior border of the right sternocleidomastoid muscle (Figure 1). Mucoid-like discharge exuding from the opening was colorless and transparent. No clinical signs of inflammation were observed. Blood test results were normal.
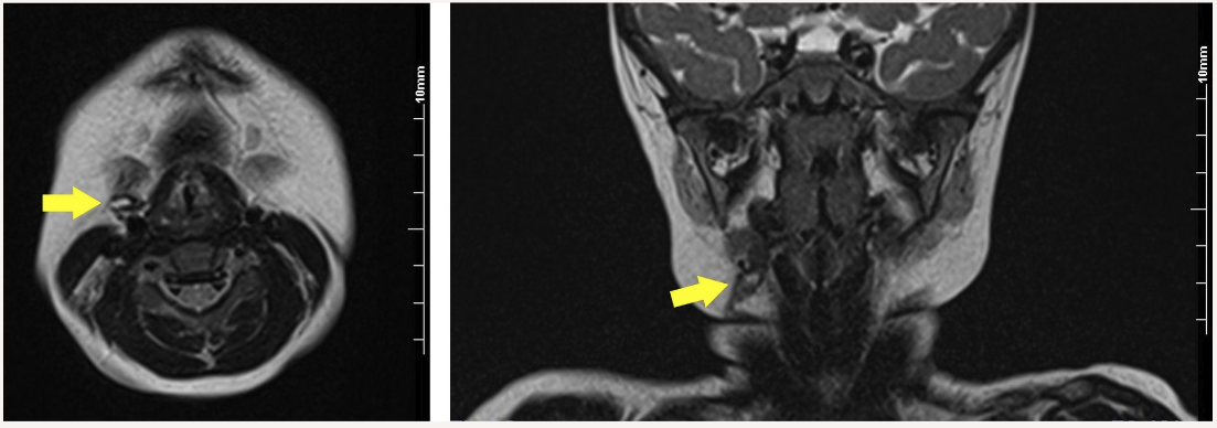
Magnetic resonance imaging (MRI) showed that the tract was located between the right submandibular gland and common carotid artery to the subcutaneous tissue. High signal intensity, considered a liquid component, was observed inside the tract on a T2-weighted image (Figure 2).
The fistula tract was excised under general anesthesia. Pyoktanin blue dye was injected into the tract. A transverse spindle incision was made around the cervical opening, and the fistula tract was dissected superiorly from the surrounding tissues. The tract was occasionally guided using a probe. The tract penetrated the platysma muscle, passed near the submandibular gland, and passed between the internal and external carotid arteries (Figure 3). The tract narrowed along its route, thereby preventing the probe from moving further; only the tract stained with pyocyanin blue dye was observed. By providing traction to the tract and observing the oral cavity using a direct laryngoscope, the internal opening was visible in the right tonsillar fossa. The tract was ligated and dissected immediately below the mucosa after ensuring that the laryngoscope light was visible through the cervical side. The internal opening was not excised.
Results
A clinical diagnosis of the second branchial fistula was made based on the route of the tract. The total length of the tract was 5 cm (Figure 4). Histopathological examination revealed a cystic structure composed of stratified squamous epithelium and lymphoid tissue, including lymph follicles under the epidermis (Figure 5). Few atypical cells were observed, with no evidence of malignancy. This was consistent with cysts derived from the branchial apparatus.
The postoperative course was uneventful, and there was no evidence of recurrence on follow-up evaluation 6 months after surgery.
Discussion
Branchial fistulas are congenital diseases caused by anomalies during embryonic development of the branchial apparatus that form around the fourth gestational week. Although a previous report described that 95% of these arose from the second branchial cleft,1 the incidence of complete second branchial fistulas, which have both internal and external openings, is reportedly to be only 10%.2 Second branchial fistulas form tracts between the anterior border of the sternocleidomastoid muscle and the tonsillar fossa. A summary of previous case reports of complete second branchial fistulas is presented in the Table.3-10

Fistulography can be performed to diagnose a complete or incomplete fistula and to demonstrate the course of the tract; however, it can be difficult to outline the connection to an internal opening. A complete branchial fistula that extended to the oral side was not demonstrated on a fistulogram.7 Taking this into account, it is conceivable that excision should be performed while considering the possibility of complete branchial fistulas, regardless of the fistulogram results. Since a fistulogram does not adequately provide information on the relationship with surrounding structures, MRI was performed after fistulography.10 A second branchial fistula is embryologically known to extend from the external opening at the anterior border of the sternocleidomastoid muscle, proceed deep to the platysma muscle, ascend along the anterior border of the sternocleidomastoid muscle, and extend medially at the level of the hyoid bone, lying lateral to the hypoglossal nerve and passing between the internal and external carotid arteries; the fistula may continue superiorly further, turning toward the oropharynx at the level inferior to the digastric muscle, passing the stylohyoid muscle, and opening around the tonsillar fossa. Our results suggest that fistulography is not always necessary. In this case, fistulography was not performed because the surgical procedure would not have been changed substantially, whether the fistula was complete or incomplete.
The principle of treatment is complete excision of the fistulas, and various surgical procedures are available for excision. Although some reports have been published on cases of excision during tonsillectomy,4,8 reports in which a percutaneous approach was used and internal openings were not excised have also demonstrated recurrence-free outcomes.5-7,9 A report even described that it is enough to ligate and dissect the parapharyngeal side of the tract at the level of the superior pharyngeal constrictor muscle.11,12 In this case, we dissected the complete branchial fistula immediately below the oral mucosa without excision of the internal opening. At least dissection immediately below the mucosa can reportedly be called complete excision, without incision around the internal opening, although the limitation to the generalization of these results is the small number of case reports.
Chemical cautery using a silver nitrate solution or trichloroacetic acid,13,14 electrocauterization,15 and laser coagulation16 have been reported as possible methods of treatment other than surgical resection. These methods may be selected in patients who have branchial fistulas that cannot be excised safely because of adhesion to nerves and vessels caused by repeated infections.
Branchial fistulas are one of the anomalies of branchiootic syndrome, wherein hearing impairment and malformations of auricles are complications of branchial fistulas, and branchio-oto-renal syndrome, wherein renal malformations are complications of the syndrome. Although no complications were recognized in this case, it is necessary to consider this when examining branchial fistulas.
Acknowledgments
Affiliations: Department of Plastic Surgery, Yodogawa Christian Hospital, Osaka, Japan
Correspondence: Kaori Yauchi, MD; kaoriyauchi@gmail.com
Ethics: This is an observational study. The Research Ethics Committee of the authors’ institution confirmed that no ethical approval was required.
Disclosures: The authors have no relevant financial or nonfinancial interests to disclose.
References
1. Cote DN, Gianoli GJ. Fourth branchial cleft cysts. Otolaryngol Head Neck Surg. 1996;114(1):95-97. doi:10.1016/s0194-5998(96)70290-5
2. Lyall D, Stahl WM. Lateral cervical cysts, sinuses, and fistulas of congenital origin. Surg Gynecol Obstet. 1956;102(5):417-434.
3. Takimoto T, Kato H. Branchial cleft fistula with heterotopic salivary gland tissue in the lower neck. ORL J Otorhinolaryngol Relat Spec. 1990;52(4):265-268. doi:10.1159/000276148
4. Ang AH, Pang KP, Tan LK. Complete branchial fistula. Case report and review of the literature. Ann Otol Rhinol Laryngol. 2001;110(11):1077-1079. doi:10.1177/000348940111001116
5. Józsa T, Cserni T, Szikszay E, Csízy I, Oláh E. Fetor ex ore—a rare presenting symptom of a complete second branchial fistula. Clin Pediatr (Phila). 2004;43(5):473-474. doi:10.1177/000992280404300509
6. Khan MH, Gheriani H, Curran AJ. Report of a complete second branchial fistula. Ear Nose Throat J. 2010;89(8):E16-18. doi:10.1177/014556131008900804
7. Can IH, Doğan S, Dönmez M, Doğan M, Samim EE. A different type of branchial fistula as part of a branchiootorenal syndrome. J Pediatr Surg. 2012;47(2):404-407. doi:10.1016/j.jpedsurg.2011.11.045
8. Amer I, Falzon A, Choudhury N, Ghufoor K. Branchiootic syndrome—a clinical case report and review of the literature. J Pediatr Surg. 2012;47(8):1604-1606. doi:10.1016/j.jpedsurg.2012.05.016
9. Shankar VG, Babu TA, Swami HB. A rare case of complete second arch branchial fistula in a 7-year-old child. Natl J Maxillofac Surg. 2012;3(2):226-228. doi:10.4103/0975-5950.111393
10. Goh LC, Norain RS, Shifa Z, Manuel AM. Bilateral second arch branchial fistula-a case report. Iran J Otorhinolaryngol. 2019;31(107):383-386. doi:10.22038/ijorl.2019.35910.2186
11. Fujio H, Singi S, Shunzo K, et al. Clinical studies of congenital cervical cysts and fistulas. J Jpn Surg Assoc. 1992;53(3):498-503. doi:10.3919/ringe1963.53.498
12. Hironori S, Makoto H, Kazutomo K, Tadayuki M. Lateral cervical fistulae originating from the second branchial cleft; a report of two cases. Pract Otol. 1997;90(7):807-812. doi:10.5631/jibirin.90.807
13. Pereira KD, Smith SL. Endoscopic chemical cautery of piriform sinus tracts: a safe new technique. Int J Pediatr Otorhinolaryngol. 2008;72(2):185-188. doi:10.1016/j.ijporl.2007.10.007
14. Kim KH, Sung MW, Koh TY, Oh SH, Kim IS. Pyriform sinus fistula: management with chemocauterization of the internal opening. Ann Otol Rhinol Laryngol. 2000;109(5):452-456. doi:10.1177/000348940010900503
15. Jordan JA, Graves JE, Manning SC, McClay JE, Biavati MJ. Endoscopic cauterization for treatment of fourth branchial cleft sinuses. Arch Otolaryngol Head Neck Surg. 1998;124(9):1021-1024. doi:10.1001/archotol.124.9.1021
16. Sayadi SJ, Gassab I, Dellai M, et al. Laser coagulation in the endoscopic management of fourth branchial pouch sinus. Ann Oto-Laryngol Chir Cervico Faciale Bull Soc Oto-Laryngol Hopitaux Paris. 2006;123(3):138-142. doi:10.1016/s0003-438x(06)76654-3


