Skip to main content

May

Featured Article

Case Report
05/23/2023
Philip Torina, MD; Max Mandelbaum, MD; Alexandra Townsend, BS; Stefani Fontana, MD, PhD; Marco Harmaty, MD
This case report describes a patient requiring hemodialysis for ESRD caused by SLE who underwent left mastectomy and immediate autologous breast reconstruction. Deep inferior epigastric perforator flap technique was employed. 
This case report describes a patient requiring hemodialysis for ESRD caused by SLE who underwent left mastectomy and immediate autologous breast reconstruction. Deep inferior epigastric perforator flap technique was employed. 
This case report describes a...
05/23/2023
ePlasty
Case Report
05/19/2023
David T. Guerrero, MS; Francesco Maria Egro, MBChB, MSc, MRCS, BSc(Hons); J. Peter Rubin, MD, MBA, FACS
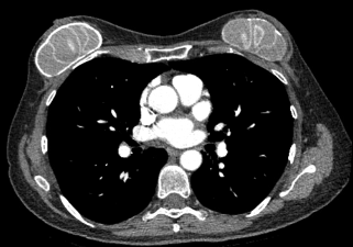
The authors present a unique case where radiographic imaging was misleading due to an undocumented unusual breast augmentation procedure that used multiple small “gnocchi-like” silicone implants.
The authors present a unique case where radiographic imaging was misleading due to an undocumented unusual breast augmentation procedure that used multiple small “gnocchi-like” silicone implants.
The authors present a unique...
05/19/2023
ePlasty
Original Research
05/09/2023
Hamna Atique, MBBS, BSc; Hafsa Atique, MBBS, BSc; Sheena Shamoon, MBBS; Hurmat Fatima Azeem, MBBS, BSc; Syeda Rija Hussain, MBBS
This study aimed to assess and compare the knowledge scores of parents of children under the age of 13 years and non-parent adults regarding burn first aid treatment.
This study aimed to assess and compare the knowledge scores of parents of children under the age of 13 years and non-parent adults regarding burn first aid treatment.
This study aimed to assess and...
05/09/2023
ePlasty
Original Research
05/03/2023
Gaurab Ranjan Chaudhuri, MCh; Atul Saxena, MCh; Amit Roy, MCh
The authors present their experience with propeller flaps for reconstruction of soft tissue defects in the lower third of the leg. 
The authors present their experience with propeller flaps for reconstruction of soft tissue defects in the lower third of the leg. 
The authors present their...
05/03/2023
ePlasty
Original Research
05/03/2023
Diana Burgueno-Vega, MD; Dilip Shahani, DMSc, PA-C; Ryan K. Mathis, MD; Melodie Blakely, DPT, CWS, MS
This single-center retrospective cohort study sought to determine the effectiveness of autologous heterogenous skin construct in the treatment of recalcitrant stage 4 pressure injuries. 
This single-center retrospective cohort study sought to determine the effectiveness of autologous heterogenous skin construct in the treatment of recalcitrant stage 4 pressure injuries. 
This single-center...
05/03/2023
ePlasty