Gnocchi Implants: An Unusual Differential Diagnosis for Breast Implant Rupture on Imaging
Abstract
Background. Although breast implant techniques have advanced considerably since the first recorded augmentation procedure in 1895, rupture remains a significant complication. Proper diagnosis is vital for patients’ well-being but can sometimes prove challenging when there is no documentation of the initial procedure.
Methods. This report describes a 58-year-old woman with a 30-year history of subglandular periareolar breast augmentation who was referred for bilateral implant rupture identified on computed tomography performed to monitor a breast nodule.
Results. Despite classic imaging findings suggesting bilateral intracapsular implant rupture, breast implant revision surgery revealed a dense capsule containing 6 small silicone implants with no ruptures.
Conclusions. This is a unique case where radiographic imaging was misleading due to an undocumented unusual breast augmentation procedure that used multiple small “gnocchi-like” silicone implants. To our knowledge, this technique has never been described until now and should be noted by the surgical and radiological community.
Introduction
Breast augmentation techniques have evolved tremendously over the past century, but there is little documentation for many of the procedures that were introduced before the FDA started regulating breast implants as Class III medical devices in 1976. Documentation remains similarly scant for early techniques developed in other countries. This case report presents an unusual undocumented technique using multiple small gnocchi-like implants and highlights how it should be considered in the radiological differential diagnosis of implant rupture.
Methods
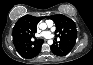
A 58-year-old Brazilian woman was referred for bilateral implant rupture identified on computed tomography (CT) performed to monitor an 8 x 5-mm stable right lower lobe nodule. The patient had a history of bilateral subglandular periareolar breast augmentation performed in Brazil 30 years ago. The operative details and implant type were unknown and irretrievable due to the location and date of the procedure. Over time, the patient developed increasing firmness and tenderness of the breasts. Clinical examination revealed bilateral subglandular breast implants in place, symmetric in size and shape, with Baker Grade 4 capsular contracture. CT imaging showed high-attenuation curvilinear bands throughout both prostheses suggestive of bilateral intracapsular implant rupture (Figure 1). Based on the capsular contracture and highly suggestive CT results for intracapsular implant rupture, surgical intervention was performed.
Results
The patient underwent bilateral total capsulectomy, removal of the breast implants, and bilateral breast augmentation with insertion of Natrelle Inspira SRF-345cc smooth round silicone gel implants in the preexisting pocket. During surgery, a dense heavy capsule was located and opened for implant removal. Interestingly, instead of ruptured implants, 6 small (3.5 cm in diameter) 12.5-cc smooth silicone implants of unknown manufacturer were found residing within each capsule (Figure 2). Following irrigation with triple antibiotic solution, the new implants were inserted and the incision was closed in layers using absorbable sutures. The breasts were dressed with fluffed gauze and a surgical bra.
Discussion
The first documented breast augmentation procedure was performed in 1895 by Vincenz Czerny in Germany.1 It involved resection of a breast tumor and placement of an autologous lipoma to correct the deformity. Since that initial breakthrough, surgeons around the world have been developing new techniques and medical devices to perfect the procedure.2 One such innovation was the introduction of breast implants in the 1960s. Although both saline and silicone breast implants were introduced, the silicone implant quickly became more popular and has evolved over time (Table 1).
Silicone breast implants went unregulated in the United States for almost 3 decades until the issue of rupture was linked to connective tissue disease and cancer. As a result, there is little documentation for many of the breast augmentation techniques and devices developed during this period in the United States and elsewhere. The silicone breast implants identified in this patient are of unknown origin. Based on anecdotal recollection of a Brazilian colleague, they are thought to have been developed by Brazilian manufacturer SILIMED but discontinued. No additional information regarding this type of implant has been found after extensive literature review.
In 2006, the FDA approved silicone breast implants for cosmetic procedures but required the manufacturers to conduct long-term health and safety studies.3,4 Since then, the number of silicone breast augmentations has risen annually despite the risk of complications. One known, often “silent,” complication is rupture, and risk increases as the implant ages (>10-15 years).5 Clinical evaluation can occasionally detect a ruptured implant based on breast shape, firmness, capsular contracture, lumps, or pain, but the certainty of correct diagnosis is low. Imaging modalities are commonly used, but sensitivity and reliability are not guaranteed, which can lead to false positives.5 Ultrasonography reveals the stepladder sign: multiple, discontinuous, parallel, echoic, longitudinal stripes in the lumen. CT and magnetic resonance imaging reveal the linguini or wavy line sign: multiple low-signal-intensity curvilinear lines created when silicone seeps out of the implant shell and within the intracapsular space causing implant collapse. Keyhole and teardrop signs form when an uncollapsed intracapsular breast implant shell develops a small focal invagination.
In the present case, the CT image suggested intracapsular implant rupture due to the presence of what appeared to be linguini signs. However, it was discovered after surgical intervention that these findings were a result of multiple intact small-sized implants whose boundaries resembled linguini signs in the image.
Conclusions
This case highlights the need for consideration of the presence of “gnocchi” silicone implants as a differential diagnosis of radiologically confirmed breast implant rupture. To our knowledge, this technique has never been described until now and should be noted by the surgical and radiological community.
Acknowledgments
Affiliations: Department of Plastic Surgery, University of Pittsburgh Medical Center, Pittsburgh, PA
Correspondence: Francesco M Egro, MBChB, MSc, MRCS; francescoegro@gmail.com
Disclosure: The authors disclose no financial or other conflicts of interest.
References
- Czerny V. Plastic replacement of the breast with a lipoma. Chir Kong Verhandl. 1895;2(2):216
- Maxwell GP, Gabriel A. Breast implant design. Gland Surg. 2017;6(2):148-153. doi:10.21037/gs.2016.11.09
- Spear SL, Parikh PM, Goldstein JA. History of breast implants and the food and drug administration. Clin Plast Surg. 2009;36(1):15-v. doi:10.1016/j.cps.2008.07.007
- Calobrace MB, Schwartz MR, Zeidler KR, Pittman TA, Cohen R, Stevens WG. Long-Term Safety of Textured and Smooth Breast Implants. Aesthet Surg J. 2017;38(1):38-48. doi:10.1093/asj/sjx157
- Zingaretti N, Fasano D, Baruffaldi Preis FW, et al. Suspected breast implant rupture: our experience, recommendations on its management and a proposal for a model of informed consent. Eur J Plast Surg. 2020;43(5):569-576. doi:10.1007/s00238-019-01610-1
References
- Czerny V. Plastic replacement of the breast with a lipoma. Chir Kong Verhandl. 1895;2(2):216
- Maxwell GP, Gabriel A. Breast implant design. Gland Surg. 2017;6(2):148-153. doi:10.21037/gs.2016.11.09
- Spear SL, Parikh PM, Goldstein JA. History of breast implants and the food and drug administration. Clin Plast Surg. 2009;36(1):15-v. doi:10.1016/j.cps.2008.07.007
- Calobrace MB, Schwartz MR, Zeidler KR, Pittman TA, Cohen R, Stevens WG. Long-Term Safety of Textured and Smooth Breast Implants. Aesthet Surg J. 2017;38(1):38-48. doi:10.1093/asj/sjx157
- Zingaretti N, Fasano D, Baruffaldi Preis FW, et al. Suspected breast implant rupture: our experience, recommendations on its management and a proposal for a model of informed consent. Eur J Plast Surg. 2020;43(5):569-576. doi:10.1007/s00238-019-01610-1


