Skip to main content

February

Featured Article

Case Report
02/28/2023
Maako Fujita, MD; Maki Okamoto, MD; Yuki Matsuoka, MD; Masakatsu Hihara, MD, PhD; Michika Fukui, MD; Natsuko Kakudo, MD, PhD; Kota Takeji, MD
The Meek technique is a method of skin grafting that processes the skin into micrografts by cutting. This report aimed to show the usefulness of the Meek technique for treating left leg necrotizing fasciitis.
The Meek technique is a method of skin grafting that processes the skin into micrografts by cutting. This report aimed to show the usefulness of the Meek technique for treating left leg necrotizing fasciitis.
The Meek technique is a method...
02/28/2023
ePlasty
Original Research
02/27/2023
Bradley J. Vivace, BS, MD; Bradon J. Wilhelmi, MD, FACS; Joshua H. Choo, MD; Michael Ablavsky, MD; Milind D. Kachare, MD; Sara Abell, BS; Swapnil D. Kachare, MD, MBA; Brooke E. Barrow, MD, MEng
This article describes 5 technical steps to eliminate the dog-ear in patients undergoing vertical mammoplasties.
This article describes 5 technical steps to eliminate the dog-ear in patients undergoing vertical mammoplasties.
This article describes 5...
02/27/2023
ePlasty
Original Research
02/24/2023
Jeremy Kubiak, MD; Nikita Kadakia, MD; Austin R. Swisher; Priya G. Lewis, MD; Mark J. Landau, MD, PhD; Hahns Y. Kim, MD; Waseem Mohiuddin, BS, MD
This study evaluates whether a higher initial intraoperative tissue expander fill volume is associated with higher complication rates in patients undergoing immediate breast reconstruction with tissue expander placement.
This study evaluates whether a higher initial intraoperative tissue expander fill volume is associated with higher complication rates in patients undergoing immediate breast reconstruction with tissue expander placement.
This study evaluates whether a...
02/24/2023
ePlasty
Case Q&A
02/17/2023
El Hassane Kabiri, MD, PhD; Massine El Hammoumi, MD; Mohamed Bhairis, MD
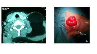
This Case Q&A discusses giant lipomas, including the clinical presentation and potential etiologies, appropriate imaging procedures, differential diagnoses, and surgical approaches to treatment.
This Case Q&A discusses giant lipomas, including the clinical presentation and potential etiologies, appropriate imaging procedures, differential diagnoses, and surgical approaches to treatment.
This Case Q&A discusses giant...
02/17/2023
ePlasty
Original Research
02/16/2023
Matthias Krause, MD, DDS; Ina Sterker, MD, PhD; Konstantin Volker Hierl, MD; Thomas Hierl, MD, DDS, PhD; Daniel Kruber
This study used a 3D cephalometric computed tomography–based orbital analysis to evaluate the prevailing asymmetry in a database of patients with and without EO, measure the clinical usability of the 3D analysis, and compare the data to...
This study used a 3D cephalometric computed tomography–based orbital analysis to evaluate the prevailing asymmetry in a database of patients with and without EO, measure the clinical usability of the 3D analysis, and compare the data to...
This study used a 3D...
02/16/2023
ePlasty
Original Research
02/16/2023
Taruni A. Kumar, BS; Aran Yoo, MD; Adeem M. Nachabe, MD; Daniel J. Womac, MD; Jonathan C. Boraski, DMD, MD
The authors performed a retrospective study including patients who underwent bilateral breast reduction with inferior pedicle technique from October 2009 to April 2021 by 2 different surgeons in NewOrleans, Louisiana.
The authors performed a retrospective study including patients who underwent bilateral breast reduction with inferior pedicle technique from October 2009 to April 2021 by 2 different surgeons in NewOrleans, Louisiana.
The authors performed a...
02/16/2023
ePlasty
Case Report
02/15/2023
Masakatsu Hihara, MD, PhD; Natsuko Kakudo, MD, PhD; Michika Fukui, MD; Toshihito Mitsui, MD; Maako Fujita, MD; Ai Satou, MD; Maki Okamoto, MD; Ayako Kako, MD
The supercharged pectoralis major musculocutaneous flap was introduced in a patient who was at high risk for partial necrosis of the flap and underwent surgery for reconstruction of the tongue.
The supercharged pectoralis major musculocutaneous flap was introduced in a patient who was at high risk for partial necrosis of the flap and underwent surgery for reconstruction of the tongue.
The supercharged pectoralis...
02/15/2023
ePlasty
Case Report
02/06/2023
Katherine C. Benedict, MD; Shelley R. Edwards, BS; John Sullivan, MD; Ian C. Hoppe, MD, BA; Roberto P. Santos, MD
To inform the management of fungal tissue expander infections, this report describes a case of expander-based scalp reconstruction complicated by Aspergillus terreus infection in a pediatric patient.
To inform the management of fungal tissue expander infections, this report describes a case of expander-based scalp reconstruction complicated by Aspergillus terreus infection in a pediatric patient.
To inform the management of...
02/06/2023
ePlasty
Review
02/03/2023
Richard Simman, MD, FACS, FACCWS; Samuel A. Stetkevich, MD
The authors conducted a systematic review to assess current American Joint Committee on Cancer guidelines on when a sentinel lymph node biopsy in melanoma is indicated.
The authors conducted a systematic review to assess current American Joint Committee on Cancer guidelines on when a sentinel lymph node biopsy in melanoma is indicated.
The authors conducted a...
02/03/2023
ePlasty
Review
02/01/2023
Jordan N. Halsey, MD; Diana Jodeh, MD; Mitchell J. Buller, MD, MEng; Fatima Qamar, MD, MPH; Joshua M. Wright, MBBS; S. Alex Rottgers, MD
This article provides an extensive review of the literature discussing the incidence, causative factors, functional impact, classification systems, and treatment of oronasal fistulae.
This article provides an extensive review of the literature discussing the incidence, causative factors, functional impact, classification systems, and treatment of oronasal fistulae.
This article provides an...
02/01/2023
ePlasty