Giant Lipoma of the Anterior Neck and Supraclavicular Region
Questions
1. What are the clinical presentation and potential etiologies of giant lipomas?
2. What is the appropriate imaging procedure for a neck lipoma?
3. What are the differential diagnoses of a giant lipoma?
4. What are the surgical approaches for a giant neck lipoma?
Case Description
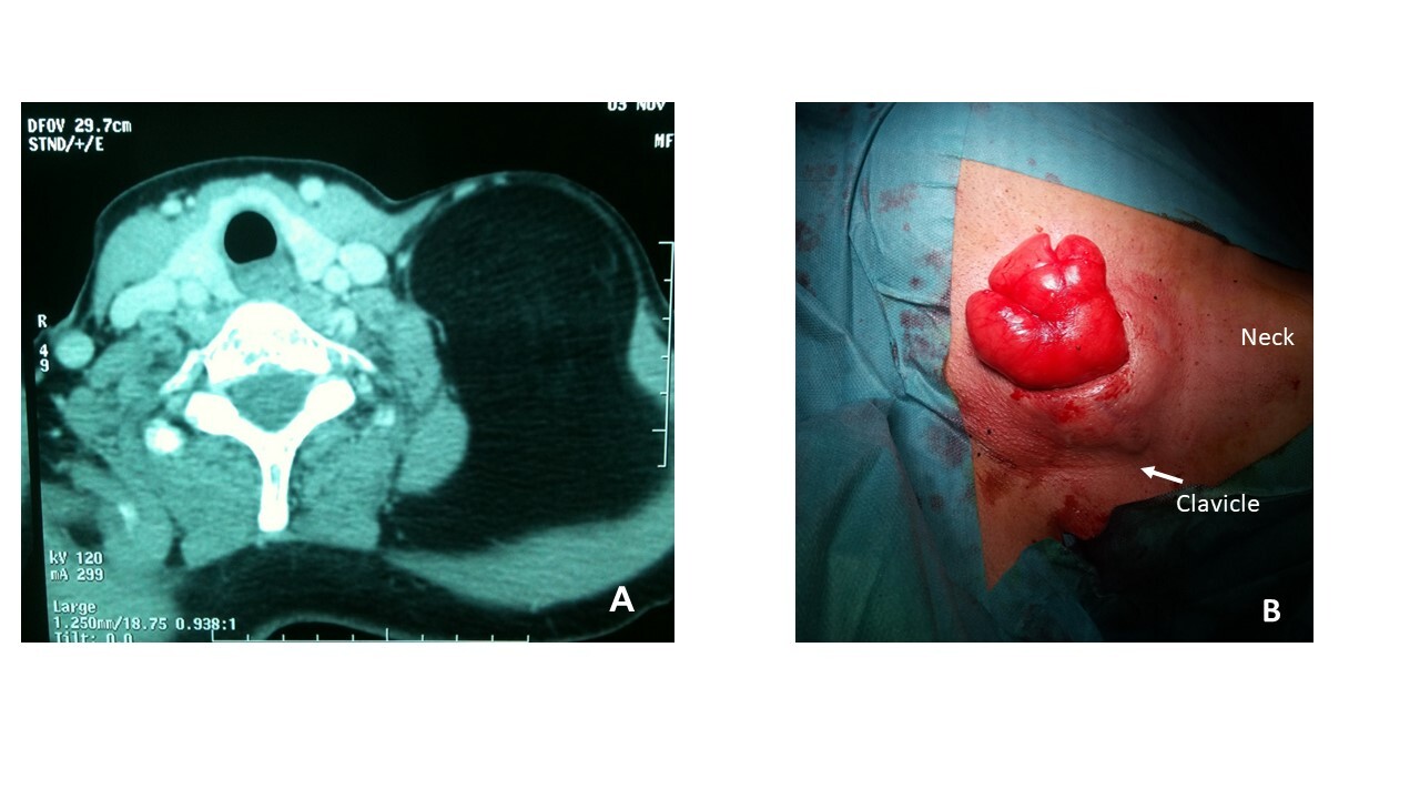
Case 1
A 55-year-old female patient without previous pathological history was referred to our department with a 10-year history of a large and slowly progressive left-sided cervical mass. Physical examination revealed a 14 x 11-cm well-defined subcutaneous, soft in consistency, mobile mass on the lower third of the lateral neck on the left side and of the supraclavicular area without a slight superficial venous ectasia or ulceration. The neck and chest computed tomography (CT) scan demonstrated a large well-defined homogenous fat density mass measuring 18 x 10 cm occupying the left lower part of the neck and supraclavicular fossa (Figure 1a). There were no signs of cervical or chest wall invasion. Giant lipoma was diagnosed based on the radiological findings; no biopsy was undertaken because of the possible complete resection of the mass.
Under general anesthesia, the neck and anterior chest were exposed and accessed via a transverse skin incision (Figure 1b). Intraoperatively, the mass was well-encapsulated with minimal adhesions without any regional involvement or evident infiltration. Hemostasis was achieved with electrocautery and ligature of several veins, and a radical resection was performed.
Histopathology of the surgical specimen confirmed the diagnosis of lipoma (well-encapsulated adipose tissue with fat necrosis areas, fibrosis, and calcification). The postoperative period was uneventful, and 42 months after surgery there was no evidence of recurrence.
Case 2
A 66-year-old female patient, completely asymptomatic, presented with a swelling measuring 4 cm (palpable part) in dimension arising from the supraclavicular region and the base of the right side of the neck. On palpation, the mass was smooth, painless, soft in consistency, non-tender, and mobile (Figure 2a). A CT scan of the neck revealed a hypodense mass occupying the lower third of the neck and supraclavicular fossa on the right side with fat density, measuring 15 x 10 cm (a goiter was associated; Figure 2b and 2c). Complete surgical resection of the mass was accomplished through an elective incision in the right supraclavicular fossa (Figure 2d). The postoperative period was uneventful with an acceptable cosmetic result. Pathological studies confirmed the diagnosis of lipoma.
Case 3
A 26-year-old male patient was referred to our department for left shoulder and neck pain that had been evolving for 5 years with a slight paresis of the deltoid muscle. Palpation of the left supraclavicular fossa found a soft, mobile, non-delimited mass. Magnetic resonance imaging (MRI) showed a large lipomatous tumor on the left side measuring 11 x 9 x 4 cm (Figure 3a and 3b). Complete tumor resection via supraclavicular incision with careful dissection in contact with the brachial plexus was performed (Figure 3c). Pathological examination confirms the diagnosis of lipoma. The postoperative period was uneventful, and the 3-month postoperative follow-up revealed no neurological deficit and disappearance of the symptoms.
Q1. What are the clinical presentation and potential etiologies of giant lipomas?
Lipomas account for (5%) of soft tissue tumors. They can form in any part of the body but frequently develop on the extremities and trunk. A lipoma is considered to be giant when it is greater than 10 cm in size (in any ax) or weighs over 1000 g.1,2 Lipomas of the head and neck are more predominant in men, though solitary lipomas for other locations are more frequent in women.3
Lipomas can be multiple, recurrent, or larger if associated with Madelung disease, Dercum disease, familial lipomatosis, or adiposis dolorosa. Cushing disease and even some antiretroviral (HIV)-related fat alteration can allow huge fatty collections in the neck.4,5
Lipomas are divided conventionally into 3 types: superficial lipomas, deep lipomas, and periosteal lipomas. The clinical symptoms of lipomas depend on the size and location of the lesion and sometimes on the rapid growth of the lesion. Lipomas are usually asymptomatic but can sometimes reach gigantic sizes and cause symptoms related to the compression of the neighboring structures,3,6,7 such as respiratory symptoms due to tracheal compression and larynx or, rarely, the possible compression of subclavian vessels or brachial plexus.8 In some cases, it is the cosmetic problems that push the patients to consult a doctor, particularly in giant lipomas.
Some clinical features are suggestive of liposarcomas, such as rapid development, non-mobility under the skin (for superficial lipomas), and the generally painful character.7
Q2. What is the appropriate imaging procedure for a neck lipoma?
Imaging in lipomatous tumors is of great help; it may confirm the preoperative diagnosis and also provides a view of the characteristics of a malignancy (liposarcoma) to assist with planning the appropriate surgical act. Ultrasonography can be useful, but its results are operator dependent.
CT and MRI are more accurate in diagnosing lipomas by specifying the location, size, exact ratios, and compressive or infiltrative features of the tumor. 6
In CT lipomas present as a homogeneous low-density mass with a CT value of -60 to -120 HU without contrast enhancement.4 The lipoma capsule is usually barely visible,9,10 and multiple thin septa that appear slightly enhanced are often noted.
The typical appearance of lipoma in MRI is an encapsulated, homogenous, fatty mass, hyperintense both on T1 and T2 weighted imaging, with a signal similar to that of subcutaneous fat.2,6
MRI is highly sensitive in the diagnosis of well-differentiated liposarcomas and highly specific for simple lipomas; it can also differentiate a lipoma from liposarcoma by examining the signal intensity of the fat. Indications of liposarcoma on MRI include thickened or nodular septa (typically thicker than 2 mm), its association with non-adipose masses, and prominent foci with high T2 signal and prominent areas of enhancement.2,3,10
Fine needle aspiration cytology is rarely used because its sensibility is less than 50% in lipomatous tumors.10
Q3. What are the differential diagnoses of a giant lipoma?
The main diagnostic difficulty is to differentiate between a giant lipoma and a well-differentiated liposarcoma during the preoperative period, especially becausea size greater than 10 cm, a deep location, and rapid growth are in favor of malignancy. But if a liposarcoma is suspected on the MRI (nodular appearance, lower fat content, calcifications, or thickened septae), histopathologic verification by preoperative incisional biopsy is recommended over fine needle aspiration cytology.6 In the authors’ practice a preoperative biopsy generally is not performed if the MRI is not predictive of malignancy, even when it is more than 10 cm in size.
A liposarcoma surgical approach should be considered preoperatively and requires complete removal with more extensive margins of surrounding tissue.7,11
Q4. What are the surgical approaches for a giant neck lipoma?
The treatment of choice in managing lipomas is complete surgical excision with preservation of the adjacent neck and chest (mediastinal) structures. Identifying the often-thin capsule offers a good plane of correct dissection, which allows for rather simple removal and prevents possible surgical complications such as injury of subclavian vessels, brachial plexus, or its branches.3-7
Other techniques have been proposed for the treatment of lipoma: liposuction-assisted removal,12 steroid injection,10 squeeze delivery,13and the "pot-lid" technique,14 which is a small cosmetic incision for smaller cervicofacial lipomas and has the advantages of a smaller incision and shorter operative time.
The majority of authors in the literature believe that these techniques are inappropriate for giant lipoma due to the lesion’s extension and their contact with the major nerves and vessels in the neck.2,3,7,8
Some complications can occur after giant cervicothoracic lipoma surgery, such as vascular injury (subclavian vessels), nerve injury (plexus brachial, vagus nerve dysfunction), hematoma, wound infection, fat embolus, and unsightly keloid scars.6
Acknowledgments
1Department of Thoracic Surgery, Mohammed V Military Teaching Hospital, Rabat Morocco; 2Faculté de Médecine et de Pharmacie, Université Mohammed V, Rabat, Morocco
Correspondence: El Hassane Kabiri, MD, PhD1; hassankabiri @yahoo.com
Funding: The authors received no financial support for this work.
Disclosures: The authors disclose no relevant financial or nonfinancial interests
References
1. Sanchez MR, Golomb FM, Moy JA, Potozkin JR. Giant lipoma: case report and review of the literature. J Am Acad Dermatol. 1993;28(2 Pt 1):266-268. doi:10.1016/s0190-9622(08)81151-6
2. Eryılmaz MA, Yücel A, Yücel H, Arıcıgil M. Cervico-thoracic giant lipoma in a child. Turk Arch Otorhinolaryngol. 2016;54(2):82-85. doi:10.5152/tao.2016.1620
3. Bayram A, Kaya A, AkayE,Ünsal N, Mutlu C. Giant cervical lipoma: Case series and literature review. Praxis of ORL. 2018;6:59-65. doi:10.5606/kbbu.2018.70894
4. Li LZ, Kan CFK, Webb-Detiege TA. Differential diagnosis of a case of Dercum's disease with possible familial involvement and review of literature. Yale J Biol Med. 2021;94(4):603-608. Published 2021 Dec 29.
5. Li R, Wang C, Bu Q, et al. Madelung's disease: Analysis of clinical characteristics, fatty mass distribution, comorbidities and treatment of 54 patients in China. Diabet Metab Synd Ob. 2022;15:2365-2375. Published 2022 Aug 6. doi:10.2147/DMSO.S363836
6. Sharma B, Khanna S, Bharati M, Gupta A. Anteriorneck lipomawithanteriormediastinalextention – a rare case report. Kathmandu Univ Med J. 2014;11(1):88-90. doi:10.3126/kumj.v11i1.11048
7. Cukic O. Giant lipoma of the anterior neck causing dyspnea. J Craniofac Surg. 2020;31(6):e553-e555. doi:10.1097/SCS.0000000000006479
8. Gembruch O, Ahmadipour Y, Chihi M, et al. Lipomas as an extremely rare cause for brachial plexus compression: A case series and systematic review. J Brachial Plex Peripher Nerve Inj. 2021;16(1):e10-e16. Published 2021 Apr 13. doi:10.1055/s-0041-1726087
9. Leuzzi G, Cesario A, Parisi AM, Granone P. Chest wall giant lipoma with a thirty-year history. Interact Cardiovasc Thorac Surg. 2012;15(2):323-324. doi:10.1093/icvts/ivs159
10. Zubair M, Malik AA, Ali D, Farooq Q, Khokhar MI, Afzal MF. Giant lipoma of submandibular region; an unusual presentation. J Pak Med Assoc. 2021;71(1(A)):153-155. doi:10.47391/JPMA.643
11. Gaskin CM, Helms CA. Lipomas, lipoma variants, and well-differentiated liposarcomas (atypical lipomas): Results of MRI evaluations of 126 consecutive fatty masses. AJR Am J Roentgenol. 2004;182:733-739. doi:10.2214/ajr.182.3.1820733
12. Wilhelmi BJ, Blackwell SJ, Mancoll JS, Phillips LG. Another indication for liposuction: small facial lipomas. Plast Reconstr Surg. 1999;103(7):1864-1867. doi:10.1097/00006534-199906000-00008
13. Kenawi MM. 'Squeeze delivery' excision of subcutaneous lipoma related to anatomic site. Br J Surg. 1995;82(12):1649-1650. doi:10.1002/bjs.1800821221
14. Gupta S, Pandhi R, Kumar B. "Pot-lid" technique for aesthetic removal of small lipoma on the face. Int J Dermatol.2001;40:420-424.doi:10.1046/j.1365-4362.2001.01225.x


