Mixed Neuroendocrine-Squamous Cell Carcinoma of the Hand With Metastatic Dissemination: A Case Report
Authors: Jubril Adepoju, BS; John A. Toms III, MS; Elizabeth S. O’Neill, MD, MPH; Mark Grevious, MD, MBA; Jafar Hasan, MD, MBA; Christina Tragos, MD; Matthew Doscher, MD, FACS
© 2024 HMP Global. All Rights Reserved.
Any views and opinions expressed are those of the author(s) and/or participants and do not necessarily reflect the views, policy, or position of ePlasty or HMP Global, their employees, and affiliates.
Abstract
Cutaneous manifestations of mixed neuroendocrine non-neuroendocrine neoplasms remain a diagnostic rarity. Predominantly identified within internal glandular organs, the digestive tract, and in the hepatobiliary system, this case report illustrates a unique occurrence of a mixed squamous cell and neuroendocrine tumor in the index finger of a justice-affected patient. We discuss the complexities of diagnosis and complications as well as emphasize the importance for hand surgeons to recognize presentations like this and the need for vigilant follow-up and improved care coordination.
Introduction
Mixed neuroendocrine non-neuroendocrine neoplasms (MiNENs) represent a rare and complex group of tumors characterized by the coexistence of both neuroendocrine and non-neuroendocrine components within a neoplasm. Predominantly arising in glandular organs like the gastrointestinal and hepatobiliary systems, MiNENs are seldom reported in nonglandular sites such as the hand, posing significant diagnostic and management challenges.1-3 MiNENs of the hand, therefore, call for detailed case reports to enhance understanding, add to the literature, and guide clinical decision-making.
The classification and diagnostic criteria for MiNENs have evolved significantly, reflecting ongoing efforts to better define these tumors and improve outcomes. According to the World Health Organization and recent literature, diagnosing MiNENs requires the identification of both tumor components, each comprising at least 30% of the lesion, visible on hematoxylin and eosin stains.4,5 Despite these advancements, MiNENs continue to be rare, especially in atypical locations like the hand, which can lead to complications in diagnosis and management.
This case report describes a primary high-grade mixed squamous cell and neuroendocrine carcinoma of the hand, highlighting the interdisciplinary approach required for effective management. We aim to expand the existing knowledge regarding primary hand MiNENs, emphasizing the necessity of a nuanced approach in the diagnosis and treatment of these tumors.
This case underscores the importance of integrating advanced diagnostic modalities and histopathological expertise. By providing a comprehensive overview of this rare presentation, we aim to provide a better understanding of MiNENs in nonglandular sites and encourage a more systematic approach for similar cases.
Case Report
Patient Presentation
The patient is a 52-year-old right-hand dominant male on house arrest with a 40 pack-year smoking history and no significant past medical or surgical history with acute-on-chronic pain in the distal left index finger. Prior to his entry into the justice system, his previous occupation was unknown.
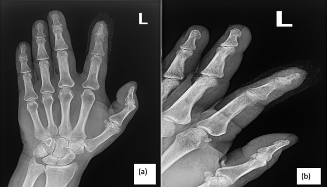
The patient described a crush injury to the same digit 2 years prior to presentation due to a cinder block falling onto his finger. He had since been experiencing persistent pain, which intensified over time. Radiographic images taken at a health facility affiliated with the Department of Corrections from a few months prior to presentation confirmed the presence of osteomyelitis compromising the middle and distal phalanges as well as the distal interphalangeal joint of the left index finger (Figure 1). However, no interventions were pursued at the time due to complications related to the patient being subject to permanent house arrest with inconsistent transportation to and from appointments, as well as the restraints imposed by the COVID-19 pandemic.
On physical examination, the patient experienced marked tenderness to palpation of the left middle and distal phalanges with overt purulence and necrotic tissue obscuring the distal skin (Figure 2). Neurovascular examination revealed the patient's sensation in the affected finger was grossly intact. The patient had minimal function of the distal interphalangeal joint in the affected finger. The epitrochlear and axillary lymph node basins were not specifically examined at the time of the initial examination due to the presentation being concerning primarily for osteomyelitis. However, the patient did not subjectively complain of lymphadenopathy. Considering the chronicity of the wound; high potential for continued and future complications; and current presentation, radiographic findings, and physical examination, partial amputation was recommended.

Figure 1. Radiographic images obtained prior to surgery demonstrating lucency and cortical erosion of the distal phalanx and distal portion of the middle phalanx of the left index finger consistent with osteomyelitis. (A) posteroanterior view, (B) lateral view.

Figure 2. Purulent and necrotic wound of distal phalanx of the left index finger.
Operative Details
In the operating room, the patient received preoperative antibiotics and was monitored under conscious sedation, supplemented by a digital block for localized pain management at the surgical site. The surgical team then conducted a complete amputation of the affected digit at the level of the distal interphalangeal joint, removing compromised tissue and bone, followed by thorough wound irrigation and digital nerve neurectomies to prevent neuroma formation.
Postoperative Course
The pathology report resulted in the anticipated presence of osteomyelitis throughout the specimens, as well as moderately differentiated squamous cell carcinoma of both the middle and distal phalanges and poorly differentiated neuroendocrine carcinoma of the distal phalanx (Figure 3), suggesting a high-grade primary MiNEN. No lymphovascular invasion was identified. The tumors involved both the bone and the soft tissues.
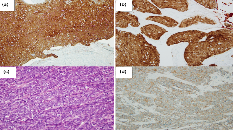
On immunohistochemistry, the squamous cell carcinoma demonstrated positive staining for p40, squamous cocktail, and P16 (Figure 4).6 Conversely, the neuroendocrine carcinoma exhibited positive staining for CK Oscar, wide spectrum keratin (focal), CK20 (focal), synaptophysin, NSE, and p16, while being negative for CK AE1/AE3, CK7, chromogranin, S-100, CD45, TTF-1, CDX2, and PAX-8.6 These immunohistochemical findings confirmed the diagnosis of a high-grade MiNEN.

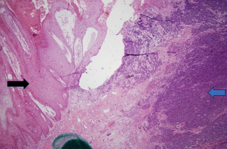
Figure 3. Hematoxylin and eosin stain demonstrating squamous cell carcinoma (black arrow) and neuroendocrine carcinoma (blue arrow).

Figure 4. Immunohistochemical stains: (A) squamous cocktail, positive in squamous cell carcinoma, (B) P16, positive in squamous cell carcinoma, (C) Hematoxylin and eosin stain of neuroendocrine tumor, (D) Synaptophysin positive in neuroendocrine tumor.
After receiving and discussing the pathology report, the surgical team promptly planned a detailed oncologic workup, including immediate referral to surgical oncology, who would guide appropriateness of presentation to a tumor board. However, the patient was lost to follow-up due to transportation issues given his justice-affected status and logistical challenges related to his house arrest, all within the context of the COVID-19 pandemic. The team was unable to contact the patient or listed contacts after many attempts, which were all documented in the medical record.
The patient returned to our health care system 5 months later and presented to otolaryngology clinic with complaints of 12 months of hearing loss in his right ear and discovery of a growth in the left axilla. Surgical oncology was consulted, and the patient underwent a left axillary node dissection and left index finger completion amputation. An initial diagnosis of Merkel cell carcinoma was suspected. Four of the 36 axillary lymph nodes contained metastatic poorly differentiated neuroendocrine carcinoma. This carcinoma pathologically resembled the initial index finger specimen’s neuroendocrine component, with positive staining for p16, synaptophysin, cytokeratin Oscar (dot-like pattern), and AE 1/3. There was no p40 staining, and the Ki-67 labeling index exceeded 90%. Fluorodeoxyglucose positron emission tomography (PET) scan revealed avid uptake in bilateral cervical lymph nodes.
The patient also underwent a completion ray amputation of the affected digit and the specimen was negative for residual poorly differentiated neuroendocrine carcinoma or squamous cell carcinoma. Based on surgical pathological findings and patient history, the final diagnosis for the axillary mass was determined to be a metastatic malignant neuroendocrine tumor to the lymph node. The patient was started on pembrolizumab, which caused him to develop bilateral panuveitis. The medication was discontinued and the panuveitis resolved. Subsequent PET scan showed appropriate response to pembrolizumab. He is currently being monitored by ophthalmology, medical oncology, and radiation oncology.
Discussion
We present a case of primary MiNEN carcinoma of the hand that resulted in systemic metastasis in a justice-affected patient. This case highlights the rarity and complexity of diagnosing and managing cutaneous MiNENs.
Several attempts have been made to comprehend the molecular nature of these neoplasms. From a histopathological viewpoint, the nonreactivity of the neuroendocrine component to TTF1/ CDX2/PAX8, often associated with tumors originating from the lungs or gastrointestinal system, directed the diagnosis towards a primary high-grade MiNEN.6,7 The patient’s significant 40 pack-year cigarette smoking history, cited in the literature as a significant risk factor for MiNENs, provides a potential etiological clue.8
Interestingly, as reflected in this case, when MiNENs undergo metastasis, the neuroendocrine component is predominantly responsible, as shown in recent studies.9 A robust, multidisciplinary follow-up approach may have reduced the risk of or at least detected early metastatic progression in this patient.
Limitations
While we present the finger lesion as the primary site of malignancy based on the available pathological and clinical evidence, we acknowledge the limitations in definitively ruling out other primary sites due to incomplete systemic imaging at the time of initial presentation. The patient's complex social and legal circumstances, including his status of house arrest and inability to be contacted by phone, significantly hindered our ability to perform timely and comprehensive diagnostic procedures. This case underscores the importance of considering systemic imaging in similar cases and highlights the difficulties in managing complex oncologic care requiring a multidisciplinary approach in patients with restricted access to health care services.
Conclusions
MiNENs, particularly cutaneous manifestations, present diagnostic and therapeutic challenges. Early diagnosis, which may be accomplished by hand surgeons, understanding the patient’s unique social circumstances, and orchestrating a timely, multidisciplinary management approach are paramount. This case highlights the necessity of a thorough clinical and histopathological assessment in identifying such rare tumors. It is critical for hand surgeons to recognize rare presentations as in this case, given that it initially appeared to be a chronic osteomyelitic lesion that was ultimately a malignancy with high potential for metastasis.
Acknowledgments
Affiliations: 1Division of Plastic and Reconstructive Surgery, Department of Surgery, Rush University Medical Center, Chicago, Illinois;2Division of Plastic and Reconstructive Surgery, Department of Surgery, Cook County Health and Hospitals System, Chicago, Illinois
Correspondence: Matthew Doscher, MD; matthew.doscher@cookcountyhhs.org
Disclosures: The authors disclose no relevant financial or nonfinancial interests.
References
- La Rosa S, Sessa F, Uccella S. Mixed neuroendocrine-nonneuroendocrine neoplasms (MiNENs): Unifying the concept of a heterogeneous group of neoplasms. Endocr Pathol. 2016;27(4):284-311. doi:10.1007/s12022-016-9432-9
- Frizziero M, Chakrabarty B, Nagy B, et al. Mixed neuroendocrine non-neuroendocrine neoplasms: A systematic review of a controversial and underestimated diagnosis. J Clin Med. 2020;9(1):273. doi:10.3390/jcm9010273
- Travis WD, Brambilla E, Nicholson AG, et al. The 2015 World Health Organization classification of lung tumors: impact of genetic, clinical and radiologic advances since the 2004 classification. J Thorac Oncol. 2015;10(9):1243-1260. doi:10.1097/JTO.0000000000000630
- Rindi G, Arnold R, Bosman FT, et al. Nomenclature and classification of neuroendocrine neoplasms of the digestive system. In: Bosman FT, Carneiro F, Hruban RH, Theise ND, eds. WHO Classification of Tumours of the Digestive System. 4th ed. Lyon: IARC Press; 2010:13-14.
- Jacob A, Raj R, Allison DB, et al. An update on the management of mixed neuroendocrine-non-neuroendocrine neoplasms (MiNEN). Curr Treat Options Oncol. 2022;23:721-735. doi:10.1007/s11864-022-00968-y
- Chan ES, Alexander J, Swanson PE, Jain D, Yeh MM. PDX-1, CDX-2, TTF-1, and CK7: A reliable immunohistochemical panel for pancreatic neuroendocrine neoplasms. Am J Surg Pathol. 2012;36(5):737-743. doi:10.1097/PAS.0b013e31824aba59
- Girardi DM, Silva ACB, Rêgo JFM, Coudry RA, Riechelmann RP. Unraveling molecular pathways of poorly differentiated neuroendocrine carcinomas of the gastroenteropancreatic system: a systematic review. Cancer Treat Rev. 2017;56:28-35. doi:10.1016/j.ctrv.2017.04.002
- Leoncini E, Carioli G, La Vecchia C, Boccia S, Rindi G. Risk factors for neuroendocrine neoplasms: A systematic review and meta-analysis. Ann Oncol. 2016;27(1):68-81. doi:10.1093/annonc/mdv505
- Zhang P, Li Z, Li J, et al. Clinicopathological features and lymph node and distant metastasis patterns in patients with gastroenteropancreatic mixed neuroendocrine-non-neuroendocrine neoplasm. Cancer Med. 2021;10(14):4855-4863. doi:10.1002/cam4.4031


