Cutaneous Squamous Cell Carcinoma of the Scalp: The Role of Surgery, Nonsurgical Intervention, and Immunotherapy
© 2024 HMP Global. All Rights Reserved.
Any views and opinions expressed are those of the author(s) and/or participants and do not necessarily reflect the views, policy, or position of ePlasty or HMP Global, their employees, and affiliates.
Questions
1. What are the layers of the scalp and their respective blood supplies?
2. What factors are considered when evaluating the surgical treatment options for cutaneous squamous cell carcinoma?
3. What are the reconstructive options for full-thickness defects of the scalp?
4. What are some options for the nonsurgical treatment of cutaneous squamous cell carcinoma?
Case Description
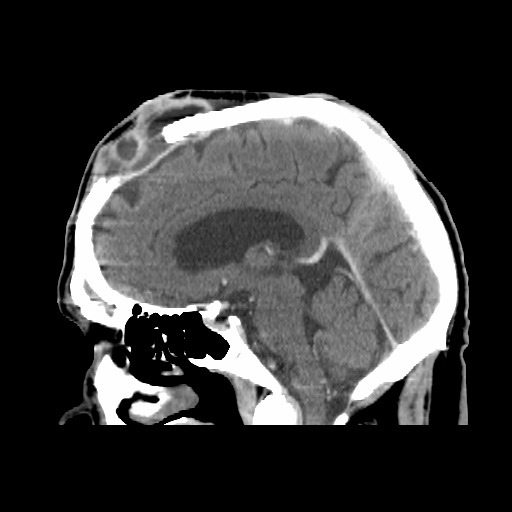
We present an 84-year-old male with advanced squamous cell carcinoma (SCC) of the scalp who had a delayed presentation for treatment (Figure 1). Prior to surgery, the patient received neoadjuvant immunotherapy with a PD-1 inhibitor. The patient’s initial operation included a 12 × 12-cm tumor excision, tangential craniectomy over the superior sagittal sinus and scalp flap based on the left temporal vessels with Integra Bilayer Wound Matrix reconstruction (Integra Life Sciences) of the scalp donor site defect (Figure 2). At the 4-month postoperative follow-up, there were concerns for recurrence of the disease. Computerized tomography scan identified a homogenous collection under the flap and moth-eaten appearance of the underlying cranium (Figure 3). The patient was taken to the operating room and found to have tumor invasion of the scalp flap, underlying bone, and dura as confirmed by frozen pathological specimen. He underwent an additional 8 × 8-cm tumor excision, partial craniectomy, and dural debridement by our neurosurgical colleagues to diminish the tumor burden (Figure 4). Wound closure was achieved by scalp flap readvancement. Negative margins were unattainable, and the patient received adjuvant immunotherapy.

Figure 1. Initial presentation to the plastic surgery service.

Figure 2. Postoperative day 9 following initial tumor excision and reconstruction with scalp flap and Integra Wound Matrix.

Figure 3. Sagittal CT image depicting tumor recurrence.

Figure 4. Intraoperative debridement of recurrent tumor.
Q1: What are the layers of the scalp and their respective blood supplies?
The scalp is divided into 5 layers: skin, dense connective tissue, musculoaponeurotic layer, loose areolar connective tissue, and pericranium/periosteum. The skin makes up the most exterior layer, playing a protective and aesthetic role. Deep to the skin is subcutaneous fat and dense connective tissue, which contains hair follicles and sweat glands, as well as the nerves, lymphatics, and blood vessels that supply the various layers of the scalp. The galea aponeurotica is a fibromuscular layer that plays a role in stretch resistance, working to prevent injury to the scalp. The loose areolar connective tissue beneath provides maneuverability. Finally, the pericranium/periosteum is the deepest layer of the scalp, anchoring the scalp to the skull bone beneath and housing important cranial vasculature.1
Within the layer of dense connective tissue lies the arterial supply from the external carotid artery (ECA), which gives off the occipital, posterior auricular, and superficial temporal arteries. The internal carotid artery (ICA) gives off the supraorbital and supratrochlear arteries. The ECA and ICA, along with posterior intercostal arteries and distal branches of the subclavian, provide the blood supply to the scalp. The superficial temporal artery from the ECA supplies the anterior temporal region, as well as the parietal region of the scalp. The parietal area is supplied by the posterior auricular branch, while the superficial fascia of the posterior scalp superior to the nuchal line is supplied by the occipital branch of the ECA. The frontal scalp receives its blood supply from the ICA through the supraorbital and supratrochlear branches. The extensive paths of the vasculature are extremely important to understand when operating on the scalp.1,2
Q2. What factors are considered when evaluating the surgical treatment options for cutaneous squamous cell carcinoma?
The first-line treatment of invasive SCC is surgical excision. Based on whether the tumor is classified as high risk or low risk, the approach can vary. This classification is based on tumor location and size, depth, border definition, and speed of growth; whether the tumor is primary or recurrent; patient’s immunosuppression status; history of prior radiation therapy; neurological symptoms; and perineural, lymphatic, or vascular involvement.3
For low-risk tumors that are under 2 mm in diameter and have not invaded the subcutaneous fat or perineurium, local excision with 5-mm clinical margins is considered a Grade B recommendation, with follow-up and additional re-excisions if necessary.4 The cure rate for surgical excision in the treatment of primary low-risk SCC is 95% to 97%.4 For patients in whom surgical procedures are not an option, and where the SCC is located in a non-hair-bearing area and has clear borders, curettage and electrodessication can be used, though this method is not preferred.4
Tumors are considered high risk if they are located on the head, neck, feet, hands, pretibial, or anogenital region; are greater than 2 to 4 cm in size on the trunk or extremities; are recurrent; are histopathologically acantholytic, adenosquamous, or metaplastic subtypes with perineural invasion; or have lymphatic or vascular involvement.5 For high-risk and large tumors of the scalp, it is a Grade B recommendation that wide local excision is performed with at least 6-mm to 1-cm margins.4
Q3. What are the reconstructive options for full-thickness defects of the scalp?
Grafting is one method that can be used to repair scalp defects. Grafts require a well-vascularized wound bed for incorporation. In full-thickness wounds with exposed bone, tangential craniectomy can be performed to reveal pinpoint bleeding to sustain graft take. Recent advancements in wound matrixes have also led to the ability to temporize full-thickness defects prior to definitive reconstruction with skin grafting.
Local flap closures, which use adjacent tissue to close defects, are effective in achieving durable and aesthetic wound coverage. The goal with flap reconstruction is to distribute the skin tension across several planes and incision lines, which reduces the risk of wound dehiscence. However, flap design and elevation can be challenging due to the relative inelasticity of the scalp tissue compared with skin of other parts of the body.6
Another option is free flap reconstruction, which is similar to a graft in that it uses tissue from a donor site. However, the major difference is that free flaps are harvested with an arterial and venous pedicle and are anastomosed to recipient vessels in the head and neck.7 Free flaps are indicated in large, full-thickness scalp defects where there is insufficient local tissue for reconstruction.
Finally, if there are questionable margins, the use of a split-thickness skin graft or dermal matrixes after surgical excision of cancer might be a promising option, as this technique allows for monitoring of recurrence that would be otherwise difficult underneath a full-thickness flap.8 This technique offers the ability to detect tumor recurrence sooner, leading to earlier intervention.
Q4. What are some options for the nonsurgical treatment of squamous cell carcinoma?
For superficial SCC or SCC in situ, nonsurgical treatment options include topical 5-fluorouracil (5-FU), topical imiquimod, electrodissection, curettage, photodynamic therapy, ablative lasers, or cryotherapy.9,10 According to a meta-analysis published in 2022, the most effective nonsurgical treatment modalities for SCC in situ are electrodissection and curettage or cryotherapy and curettage, demonstrating lower rates of recurrence when compared with topical agents, photodynamic therapy, ablative lasers, curettage alone, or cryotherapy alone.10
For advanced cutaneous SCC, systemic therapy can often be indicated. Patients with distant metastases are often candidates for systemic chemotherapy postoperatively with drugs such as platin derivates, 5-FU, bleomycin, methotrexate, adriamycin, taxanes, gemcitabine, or ifosfomide.11
Within the last few years, the use of adjuvant immunotherapy has been increasing for cutaneous SCC, and it is showing promising results. With higher response rates than any other treatment for metastatic cutaneous SCC (mcSCC), PD-1 inhibitors are now considered first-line therapy with a Grade A recommendation for patients with mcSCC or locally advanced cutaneous SCC (lacSCC).4 In September 2018, the FDA approved cemiplimab for patients with mcSCC or lacSCC at a dose of 350 mg intravenously every 3 weeks.12 Epidermal growth factor receptor (EGFR) inhibitors, such as cetuximab, are another immunotherapy drug recommended by the American Academy of Dermatology and are shown to help prevent disease progression in patients with lymphovascular, perineural, parotid, periorbital, cartilaginous, or bony invasion; in-transit metastasis; or regional or distant metastases.13-15 Cetuximab may be used as second-line immunotherapy after cemiplimab if combined with radiation therapy or chemotherapy, as it has a synergistic effect.4 Further research on the benefits of immunotherapy for cutaneous SCC is warranted, but the current therapeutic options appear to have a large impact on the care of these patients.
Acknowledgments
Authors: Madison Tyle, BS1; Bilal Koussayer, BS1; Nikhita Nookala, BS1; Nicole K. Le, MD, MPH1,2; Kristen Whalen, MD1,2; Kristina T. Gemayel, DO1,2; Michael Harrington, MD, MPH1,2
Affiliations: 1University of South Florida Health Morsani College of Medicine, Tampa, Florida; 2Department of Plastic Surgery, University of South Florida, Tampa, Florida
Correspondence: Madison Tyle, BS, mrtyle@usf.edu
Disclosures: No funds were received in support of this work. No benefits in any form have been or will be received from any commercial party related directly or indirectly to the subject of this manuscript.
References
1. Tajran J, Gosman AA. Anatomy, Head and Neck, Scalp. In StatPearls. StatPearls Publishing; 2023. https://pubmed.ncbi.nlm.nih.gov/31855392/
2. Ellis HM, V. The surgical anatomy of the scalp. Surgery (Oxford). 2014:e1-e5.
3. Kim JYS, Kozlow JH, Mittal B, Moyer J, Olenecki T, Rodgers P. Guidelines of care for the management of cutaneous squamous cell carcinoma. J Am Acad Dermatol. Mar 2018;78(3):560-578.
4. Stratigos AJ, Garbe C, Dessinioti C, et al. European interdisciplinary guideline on invasive squamous cell carcinoma of the skin: Part 2. Treatment. Eur J Cancer. Mar 2020;128:83-102.
5. National Comprehensive Cancer Network (NCCN) Guidelines. Accessed July 5, 2022, https://www.nccn.org/professionals/physician_gls/pdf/squamous.pdf
6. Prohaska J, Sequeira Campos M, Cook C. Rotation Flaps. In StatPearls. StatPearls Publishing; 2023. https://pubmed.ncbi.nlm.nih.gov/29493993/
7. Saber AY, Hohman MH, Dreyer MA. Basic Flap Design. In StatPearls. StatPearls Publishing; 2023. https://pubmed.ncbi.nlm.nih.gov/33085399/
8. Corradino B, Di Lorenzo S, Leto Barone AA, Maresi E, Moschella F. Reconstruction of full thickness scalp defects after tumour excision in elderly patients: our experience with Integra dermal regeneration template. J Plast Reconstr Aesthet Surg. Mar 2010;63(3):e245-7.
9. Dreyfuss I, Kamath P, Frech F, Hernandez L, Nouri K. Squamous cell carcinoma: 2021 updated review of treatment. Dermatol Ther. Apr 2022;35(4):e15308.
10. Stewart JR, Lang ME, Brewer JD. Efficacy of nonexcisional treatment modalities for superficially invasive and in situ squamous cell carcinoma: A systematic review and meta-analysis. J Am Acad Dermatol. Jul 2022;87(1):131-137.
11. Stratigos A, Garbe C, Lebbe C, et al. Diagnosis and treatment of invasive squamous cell carcinoma of the skin: European consensus-based interdisciplinary guideline. Eur J Cancer. Sep 2015;51(14):1989-2007.
12. Lebas E, Marchal N, Rorive A, Nikkels AF. Cemiplimab for locally advanced cutaneous squamous cell carcinoma: safety, efficacy, and position in therapy panel. Expert Rev Anticancer Ther. Apr 2021;21(4):355-363.
13. Waldman A, Schmults C. Cutaneous squamous cell carcinoma. Hematol Oncol Clin North Am. Feb 2019;33(1):1-12.
14. de Jong E, Lammerts M, Genders RE, Bouwes Bavinck JN. Update of advanced cutaneous squamous cell carcinoma. J Eur Acad Dermatol Venereol. Jan 2022;36 Suppl 1(Suppl 1):6-10.
15. Que SKT, Zwald FO, Schmults CD. Cutaneous squamous cell carcinoma: Management of advanced and high-stage tumors. J Am Acad Dermatol. Feb 2018;78(2):249-261.


