Intraosseous Hemangioma of the Zygomatic Bone with Multidisciplinary Approach to Surgical Resection and Orbital Reconstruction
© 2024 HMP Global. All Rights Reserved.
Any views and opinions expressed are those of the author(s) and/or participants and do not necessarily reflect the views, policy, or position of ePlasty or HMP Global, their employees, and affiliates.
Abstract
Background. Intraosseous hemangiomas are rare benign tumors comprising fewer than 1% of all osseous tumors; even more uncommon are intraosseous hemangiomas of the zygomatic bone. This case reports a multidisciplinary approach for excision and reconstruction of an intraosseous hemangioma of the zygomatic bone in a 54-year-old female.
Methods. Multidisciplinary approach with both otolaryngology head and neck surgery and oculofacial plastics and reconstructive surgery included right lateral canthotomy and right transconjunctival orbitotomy with en-bloc excision of the zygomatic arch, followed by reconstruction of the orbital rim, orbital floor, and eyelid with Medpor implant.
Results. Final surgical pathology was consistent with intraosseous hemangioma of the zygomatic bone. At 4-month follow-up, the patient was healing well with good midface projection and without any visual deficits.
Conclusions. A multidisciplinary coordinated case allowed us to meet the standard of maintaining cosmesis and function while undergoing resection of a rare tumor involving a key facial structure—the zygoma. Involvement of oculofacial plastics and reconstructive surgery service allowed for advanced eyelid reconstruction techniques to limit any functional impairment to our patient with deliberate choice of implant material for well-adhered, durable, and aesthetically optimal reconstruction of the right malar eminence, lateral orbital rim, and orbital floor defect. The postoperative result through the multidisciplinary approach was a near symmetrical facial reconstruction without any associated eyelid or globe abnormalities.
Introduction
Hemangiomas are benign anomalous proliferations of endothelial-lined vascular channels. They can cause destruction of local tissue from mass effect, along with extensive psychosocial repercussions from abnormal cosmesis. Malignant transformation of hemangiomas is rare and has been exclusively reported after radiation therapy.1 Intraosseous hemangiomas are rare tumors comprising fewer than 1% of all osseous tumors.2 Even more uncommon are intraosseous hemangiomas of the zygomatic bone, one of the key facial bones for defining facial structure and physical appearance. The first case report of an intraosseous hemangioma of the zygomatic bone was published in 1950, with the most recent systematic review in 2020 reporting a total of just 73 cases.3-4
Here we present a case of a patient with a progressively growing, pulsatile, bony mass along the junction of the right lateral orbit and anterior zygomatic arch. A multidisciplinary team was needed for diagnosis, surgical plan, excision of the tumor, and optimal facial reconstruction. We expand on the benefits of a combined team's tumor removal and facial reconstruction to allow the most functional and aesthetic outcome. Informed consent was obtained from the patient presented in this case study.
Case Presentation
A 54-year-old otherwise healthy Caucasian female was referred to the otolaryngology head and neck surgery (OTOHNS) service due to a slowly progressive bony lesion of the right lateral malar crescent with poor cosmesis and noticeable asymmetry. Two years prior, the patient initially noted tenderness at the right malar eminence that became intermittently pulsatile. On physical examination, the patient had a slight protuberance at a 45-degree angle from the right malar eminence and inferolateral orbital rim junction. On palpation, there was a 2-cm firm, immobile mass. Given orbital involvement, referral to the University Oculofacial Plastics and Reconstructive Surgery service was made. Evaluation by the oculofacial plastics and reconstructive surgery (OPRS) service was congruent with the previous examination. Visual acuity was documented as 20/20 in both eyes, with an unremarkable ophthalmological examination.
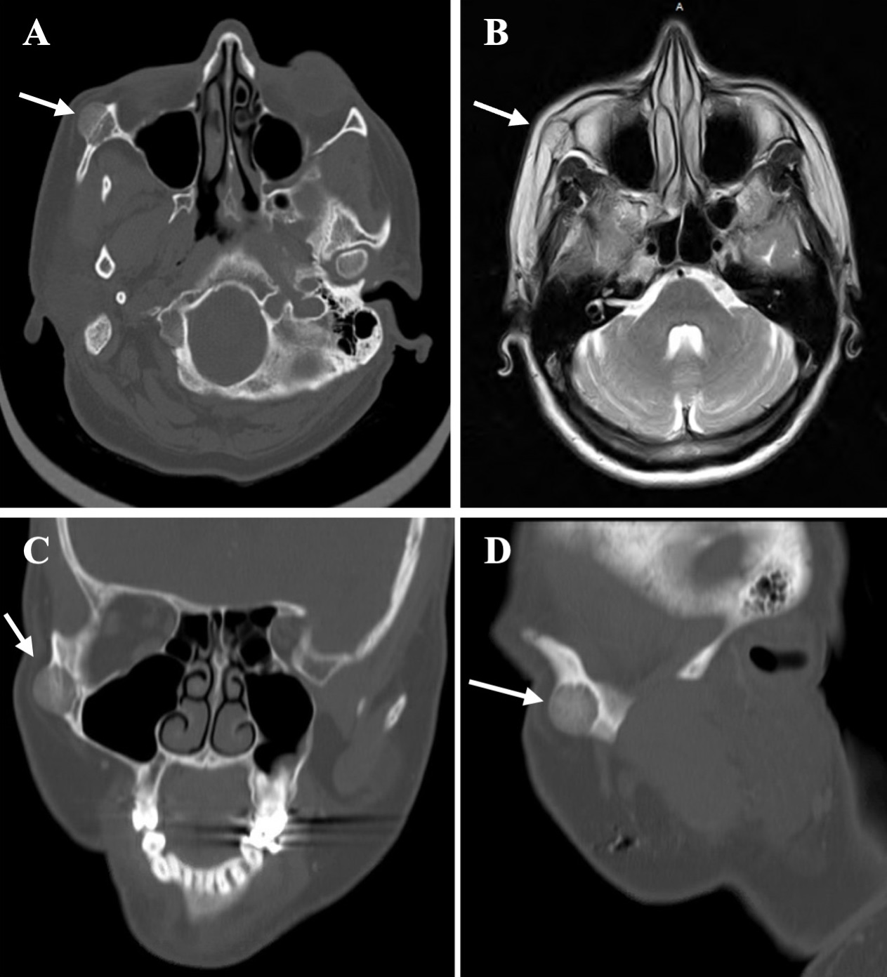
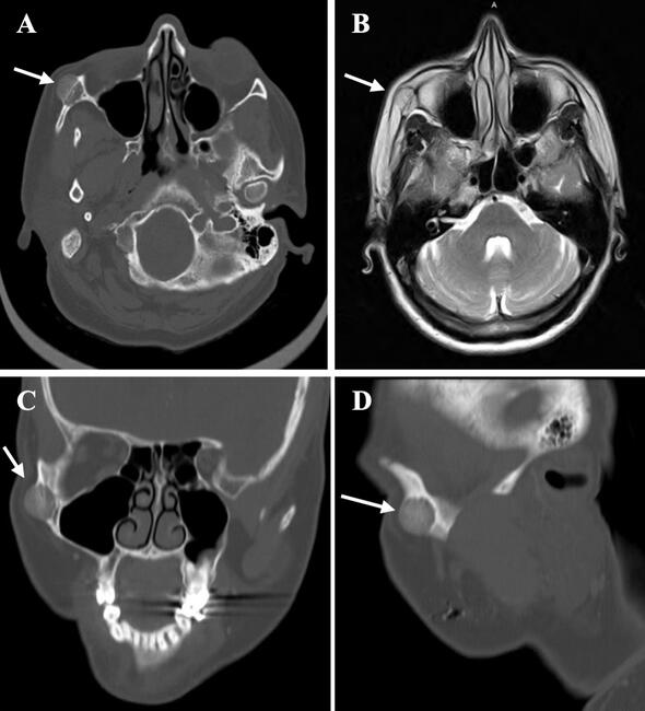
Magnetic resonance imaging with contrast of the face and orbit revealed a 1.5 × 1.3 × 1.6-cm T1 hypointense and T2 hyperintense enhancing mass, suggestive of a hyper-vascular lesion at the lateral right orbital rim – anterior zygomatic arch junction (Figure 1). Subsequently, an osseous skeletal survey was completed to rule out plasmacytoma.

Figure 1. Imaging showing mass along the junction of the lateral right orbit and anterior zygomatic arch and magnetic resonance imaging showing an incidental pituitary macroadenoma: (A) Axial caudal computed tomography scan with mass. (B) Axial T2-weighted magnetic resonance image with hyperintense mass. (C) Coronal and (D) sagittal computed tomography scan with mass.
The case was presented at the University Skull Base and Tumor Board Conference with recommendations made for an interventional radiology-guided core needle biopsy prior to surgical excision. This biopsy revealed an intraosseous hemangioma without malignant characteristics. Surgical planning with the OPRS service included right lateral canthotomy and right transconjunctival orbitotomy with en-bloc excision of the zygomatic arch, followed by reconstruction of the orbital rim, orbital floor, and eyelid.
Surgical Course
Surgery was initiated by the OPRS team by creating a cervicofacial flap through an incision from the lateral canthus that extended infero-laterally. A lateral canthotomy with inferior cantholysis increased mobilization of the lower eyelid in a swinging eyelid fashion to allow access for a transconjunctival incision at the base of the fornix. A retro-septal dissection was performed to reach the inferior orbital rim and extend inferiorly to the pre-periosteal plane towards the midface. Once adequate exposure was obtained, the case was turned over to the OTOHNS team.
A sagittal saw was used to make circumferential cuts in the bone around the mass, leaving a thin cuff of normal bone to allow for complete excision and prevent excessive bleeding. Care was taken to avoid damage to the orbit and deeper structures. An osteotome was used to make the final cuts to complete excision of the mass. The en-bloc excision of the mass included the inferolateral orbital rim, inferolateral orbital floor, and zygomatic arch, leaving a 2-cm defect.
The OPRS team then used a midface titanium plating system to first reconstruct the orbital rim, the orbital floor, and then the zygomatic defect. A Medpor implant was then trimmed to fit the orbital floor defect. Care was taken to ensure the nonsecured orbital implant was positioned correctly and remained immobile when conducting forced ductions. The lateral soft tissue of the cheek was engaged to the lateral periosteum to support the lower eyelid-cheek junction. The lateral canthus was repaired by reapproximating the lower eyelid to the upper eyelid with a deep mattress suture just inside the lateral orbit rim (at the level of Whitnall tubercle). Overlying periosteum and conjunctiva were closed, the lateral canthal tendon was engaged and secured to the lateral periosteum, followed by closure of the cervicofacial flap with a combination of superficial and deep buried contour sutures (Figure 2).

Figure 2. Intraoperative view of patient. (A) Adequate exposure of the intraosseous hemangioma of the zygoma through lateral canthotomy followed by retro-septal dissection. (B) Custom Medpor implant in place. (C) Final closure and repair.
The patient had an uneventful postoperative course and was discharged home the same day. Final surgical pathology was consistent with intraosseous hemangioma of the zygomatic bone.
At the first postoperative visit at 2 weeks with OPRS, the patient had stable vision, mild hypoesthesia at the right inferior orbital rim with excellent lid-to-globe apposition, and nearly symmetric eyelid position (Figure 3). At the 3-week follow-up with the OTOHNS service, the patient was healing well with good midface projection and without any visual deficits. At her 4-month follow-up visit with OPRS, the patient's vision remained stable, and she exhibited proper wound healing with continued excellent apposition (Figure 3).

Figure 3. Two weeks postoperatively (upper left and right) versus 4 months postoperatively (bottom left and right) with oculofacial plastics and reconstructive surgery service. The left pictures display side profile and the right pictures display front profile for comparison between both eyelids and cheek (white arrow).
Discussion
When accessing the orbit and zygomatic process, expectations are high for a minimally invasive approach with excellent functional and cosmetic outcomes. Several meta-analyses indicate that the laterally extended transconjunctival orbitotomy is the best surgical approach with the lowest eyelid malposition risk in comparison with subciliary, subtarsal, and infraorbital cutaneous incisions.5-9 While this approach allows a balance between functional access and aesthetic results, its benefit relies on careful reconstruction of the conjunctiva and lateral canthus. In our patient, the goal was to ensure complete ocular mobility with stable implant fixation, preserve visual function, and create a facial profile similar to the patient's baseline. To achieve this, the OPRS team was involved to utilize their orbital experience to enhance reconstruction along with OTOHNS team's experience in tumor resection with a minimal zygomatic defect.
A transconjunctival approach with a lateral cantholysis was selected to allow adequate exposure to the right malar eminence and inferolateral orbital rim junction. A transconjunctival orbitotomy is a hidden incision in the inferior fornix, and a lateral canthotomy with inferior cantholysis follows the resting skin tension lines, both of which utilize the orbit's natural form to create minimalistic surgical access. While the initial incisions are important, the final steps of the reconstruction are critical to the final outcome. Deliberate closure of the periosteum and the overlying conjunctiva over the orbital implant is a crucial step to limiting scarring that can later induce a shallow inferior fornix and a cicatricial ectropion with resultant ocular pain, persistent epiphora, discomfort, and decreased vision. Additionally, it is necessary to re-engage the inferior crus of the lateral canthal tendon to the inner aspect of the periosteum of the lateral orbital wall to anatomically reposition the lateral canthus 2 mm above the medial canthus. This allows stable functioning of tear drainage, ensures normal lid to globe apposition, and appears cosmetically symmetric.
In addition to the surgical approach, it is necessary to consider the most appropriate implant material ranging from autogenous, allogenic, alloplastic, or resorbable material. As the zygoma creates one of the most defining facial features, it was necessary to select an implant that is malleable to the angular contours of the right malar eminence and inferolateral orbital rim junction. Furthermore, the zygomatico-maxillary structure serves as 1 of the 4 vertical buttresses of the face and requires a durable, weight-bearing material. Autogenous grafts are the gold standard choice for orbital fracture repair. It provides strength, minimal to no immune reaction, and excellent vascularization potential. However, the rigidity of the material causes difficulty in reshaping the graft to a more angled defect such as ours.10-11 Allogenic material, a biocompatible and readily available prefabricated graft, has a very high resorption rate with an increased risk of transmission of infectious agents from human donors.11-12 Resorbable material offers some benefit of alloplastic material but does not offer the rigidity required for a vertical buttress position.11
In our patient, the choice was made to use a titanium midface plating system with Medpor implant. Titanium is a sturdy, yet malleable, metallic alloplastic material that allows improved accuracy of reconstruction.11 The utilization of a Medpor implant with this titanium set incorporated a biocompatible material that is effective in securing the implant with extensive vascular ingrowth and collagen deposition through the pores (size range: 160-368 µm) to reduce the risk of future extrusion or displacement.10-11 The combination of Medpor implants with titanium improves the visibility of the reconstruction in the instance radiographic imaging is required.11
Transconjunctival incision and subsequent reconstruction require adept surgical skills for appropriate eyelid reconstruction, calling for multidisciplinary involvement of OPRS alongside OTOHNS services. The meticulous excision and reconstruction created a symmetrical facial profile with no residual symptoms.
Conclusions
Intraosseous hemangiomas of the zygomatic bone are extremely rare tumors involving a key bone for facial structure. A multidisciplinary approach between OTOHNS and OPRS affords the opportunity for complete removal of the mass while maintaining baseline facial appearance without functional impairment to the patient by advanced eyelid reconstruction techniques.
Acknowledgments
Authors: Alisa L. Phillips, MD, MS1; Meredith A. Allen, MD2; Fabliha A. Mukit, MD3; Tyler M. Bone, MD2; Cynthia M. Noguera MD3; Brian T. Fowler, MD3; John P. Gleysteen, MD2
Affiliations: 1 University of Tennessee Health Science Center College of Medicine, Memphis, Tennessee; 2 Department of Otolaryngology, University of Tennessee Health Science Center College of Medicine, Memphis, Tennessee; 3 Department of Oculofacial Plastics and Reconstructive Surgery, University of Tennessee Health Science Center College of Medicine, Hamilton Eye Institute, Memphis, Tennessee
Correspondence: Alisa L. Phillips, MS; aphill88@uthsc.edu
Ethics: Informed consent was obtained from the patient presented in this case study.
Disclosures: The authors declare no financial disclosures or conflicts of interest related to the research described in this manuscript.
References
1. Moore SL, Chun JK, Mitre SA, Som PM. Intraosseous hemangioma of the zygoma: CT and MR findings. Am J Neuroradiol. 2001 Aug;22(7):1383-1385.
2. Warman S, Myssiorek D. Imaging case study of the month: haemangioma of the zygomatic bone. Ann Otol Rhinol Laryngol. 1989;98:655-658.
3. Schofield AL. Primary hemangioma of the malar bone. Br J Plast Surg. 1950;3:136-140.
4. Temerek AT, Ali S, Shehab MF. Computer guided resection and reconstruction of intra-osseous zygomatic hemangioma: Case report and systematic review of literature. Int J Surg Case Rep. 2020;66:240-256. doi:10.1016/j.ijscr.2019.12.015
5. Powers DB, Fisher E, Erdmann D. Zygomatic intraosseous hemangioma: case report and literature review. Craniomaxillofac Trauma Reconstr. 2017 Mar;10(1):1-10. doi:10.1055/s-0036-1592087
6. Subramanian B, Krishnamurthy S, Suresh Kumar P, Saravanan B, Padhmanabhan M. Comparison of various approaches for exposure of infraorbital rim fractures of zygoma. J Maxillofac Oral Surg. 2009 Jun;8(2):99-102. doi:10.1007/s12663-009-0026-7
7. Kim DW, Choi SR, Park SH, Koo SH. Versatile use of extended transconjunctival approach for orbital reconstruction. Ann Plast Surg. 2009 Apr;62(4):374-380. doi:10.1097/SAP.0b013e3181855d27. PMID: 19325340
8. Rodrigues P, Sanchez-Aniceto G, Hammer B, Bartlett S. Nicolas Homsi. Transconjunctival approach with lateral skin extension. Published 2014. Accessed April 11, 2023. https://surgeryreference.aofoundation.org/cmf/trauma/midface/approach/transconjunctival-approach-with-lateral-skin-extension
9. Ridgway EB, Chen C, Colakoglu S, Gautam S, Lee BT. The incidence of lower eyelid malposition after facial fracture repair: a retrospective study and meta-analysis comparing subtarsal, subciliary, and transconjunctival incisions. Plast Reconstr Surg. 2009 Nov;124(5):1578-1586. doi:10.1097/PRS.0b013e3181babb3d
10. Khorasani M, Janbaz P, Rayati F. Maxillofacial reconstruction with Medpor porous polyethylene implant: a case series study. J Korean Assoc Oral Maxillofac Surg. 2018 Jun;44(3):128-135. doi:10.5125/jkaoms.2018.44.3.128
11. Mok D, Lessard L, Cordoba C, Harris PG, Nikolis A. A review of materials currently used in orbital floor reconstruction. Can J Plast Surg. 2004 Fall;12(3):134-140. doi:10.1177/229255030401200302
12. Chowdhury K, Krause GF. Selection of materials for orbital floor reconstruction. Arch Otolaryngol Head Neck Surg. 1998;124:1398-1401.


