Subdermal Plexus Density as It Relates to Obesity and Wound Complications in Patients Undergoing Reduction Mammaplasty
© 2023 HMP Global. All Rights Reserved.
Any views and opinions expressed are those of the author(s) and/or participants and do not necessarily reflect the views, policy, or position of ePlasty or HMP Global, their employees, and affiliates.
Abstract
Background. Reduction mammaplasty is one of the most common reconstructive procedures performed in plastic surgery. Multiple comorbidities play a role in postoperative wound healing complications; however, there are insufficient data on the subdermal plexus (SDP) as it relates to these comorbidities. The purpose of this study is to evaluate the relationship between body mass index (BMI) and SDP of the superficial breast tissues and examine the association between SDP and postoperative complications.
Methods. After Institutional Review Board approval, screening, and informed consent, patients undergoing reduction mammaplasty were selected. Tissue to be discarded was sent to pathology for analysis of immunohistochemistry directed against endothelial cells to determine the density of the SDP. Patients with BMI <35 and ≥35 kg/m2 were compared. Statistical analysis, including 2-tailed t test and Pearson correlation, was conducted.
Results. A significant difference in SDP density (standard deviation) was identified between patients with a BMI ≥35 versus <35 kg/m2 (2.65 capillaries/mm2 ± 1.8 vs 1.56 capillaries/mm2 ± 1.2; P = .033). Patients with no historical use of tobacco versus those who used tobacco showed a significantly increased SDP (2.11 capillaries/mm2 ± 1.6 vs 1.20 capillaries/mm2 ± 0.5; P = .009). A significant relationship between postoperative infection (1.00 capillaries/mm2 ± 1.1; P = .041) and hematoma/seroma (0.788 capillaries/mm2 ± 0.1; P = .003) was identified. No significant relationship was found between SDP and delayed wound healing, nipple-areolar complex complications, fat/flap necrosis, or symptomatic scar occurrence.
Conclusions. There is a statistically significant increase in SDP seen with increasing BMI, which does not explain the higher rate of wound healing complications after reduction mammaplasty typically seen in the higher BMI patient population. The association between BMI and complications after reduction mammaplasty remains unclear.
Introduction
Reduction mammaplasty is a safe and effective treatment for symptomatic macromastia and is one of the most commonly performed reconstructive surgeries.1 As with any surgical intervention, a serious consideration must be undertaken to weigh the risks and benefits. Complications after reduction mammaplasty include delayed wound healing, wound infection, wound dehiscence, nipple and/or areolar loss, hematoma, fat necrosis, and symptomatic scarring. Numerous studies have shown conflicting reports on which factors influence a patient’s risk of postoperative complications. These include body mass index (BMI), smoking history, insulin resistance, steroid use, prolonged operative time, and the weight of resected tissue.2-8 The current evidence-based guidelines published by the American Society of Plastic Surgeons reflect the organization’s conclusion that there is insufficient evidence to support a correlation of postoperative complications and BMI.5-6 However, in a 2017 survey looking at National Surgical Quality Improvement Program data, a statistically significant association between wound complications and patients with BMI >25 kg/m2 was identified.7 Another 2017 meta-analysis found the risk of skin and fat necrosis is higher in obese versus nonobese patients, and this risk increases concurrently with the severity of obesity.8 Additionally, other studies have shown an increase in breast reduction surgical site morbidity with increasing BMI.9
While the implications of obesity and breast reduction surgery remain unclear, wound complications after reduction mammaplasty tend to occur more frequently in the overweight population.7-9 In contrast to this, other studies have found wound complications have a stronger relationship to an increased weight of resection rather than patient obesity.4,10 Although a majority of these complications are self-limited, there are concerns about the impact of these complications, including a significant increase in the length of treatment, patient well-being, and antibiotic use, as well as reoperation and readmission.
Reduction mammaplasty is most commonly performed using the Wise pattern skin resection technique with either an inferior pedicle or superomedial pedicle to preserve the neurovascular supply. Due to the flexibility and adaptability of the inferior pedicle to a large spectrum of breast sizes, the use of an inferior pedicle remains the most commonly employed breast reduction technique currently in the US.9,11 A challenge presented by the Wise pattern inferior pedicle breast reduction is its reliance on the skin as a brassiere to support the weight of the breast. The use of a superomedial pedicle allows for less reliance on the skin for support and theoretically offloads tension from healing incisions while still maintaining a vascularized pedicle.12 After a Wise pattern skin resection, the remaining scar is often described as an “inverted T,” which is not based on an axial vessel. With this skin acting as a random pattern flap, it relies on the subdermal plexus (SDP) for blood supply.
Currently no studies have focused on the SDP and its impact on postoperative complications. Furthermore, while comorbidities and their association with postoperative complications have been studied,2-4,7-9 there have been no studies documenting these same comorbidities and their relationships with the density of the SDP.
The purpose of this study is to determine if there is an association between BMI and SDP density and to assess whether or not the difference in density is related to postoperative complications. The density of the SDP will be determined by histological examination of tissues destined for resection, with the assumption that the plexus in the tissue taken adjacent to the area of the remaining tissue that will be healing and forming a new scar will have been continuous and representative of the SDP that will be feeding the healing tissue.
Methods
Design
This study is designed as a prospective cohort who underwent reduction mammoplasty between 2014 and 2020. After approval by the Institutional Review Board, patient enrollment began and informed consent for the study was obtained from selected patients preoperatively. All patients underwent reduction mammaplasty at a single publicly funded tertiary care center by 7 American Board of Plastic Surgery board-certified plastic surgeons.
Periincisional samples were collected intraoperatively from tissues that were destined to be removed and discarded. All surgeries were performed using Wise pattern skin resection technique and either an inferior or superomedial pedicle. From each breast, the superior portion of the medial and lateral tissue resections, as well as the tissue removed for nipple relocation, was sent to pathology. Specimens taken for study were approximately 3 cm × 1 cm × 1 cm and located in the middle of the discarded tissue. They were placed in specimen collection jars filled with formalin, marked “right medial,” “right lateral,” “left medial,” and “left lateral.” All 4 tissue samples taken intraoperatively were processed per standard institutional surgical pathology laboratory protocols, including tissue fixation in formalin and embedding in paraffin wax, and then cut and mounted onto glass slides. Slides were stained with the standard hematoxylin and eosin for microscopic assessment to ensure the presence of epidermal, dermal, and subdermal tissues within the tissue section.
If the tissue was satisfactory, an additional glass slide was prepared and subjected to CD-34 immunohistochemical staining to highlight vascular endothelial cells. Each section was evaluated using a 10× high-powered field (hpf). The SDP density was evaluated at the dermal-epidermal junction and is presented as the number of vascular structures that show positivity for the CD-34 stain seen in one 10× hpf. Each tissue sample that was satisfactory and stained with CD-34 was assessed at 10× over 10 fields across the tissue sample to provide 20 samples per patient that were used to calculate an average density that was considered a representative average density for that particular patient.
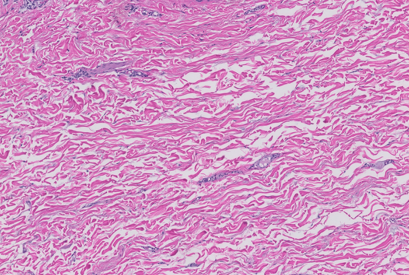
There was no modification in operative technique to the patients included in this study compared with the excluded patients undergoing breast reduction mammaplasty at this institution. Postoperative course was dictated by the normal routine for any postoperative patient having undergone reduction mammaplasty. There were no changes in the clinical decision-making algorithm. All patient information was de-identified, encrypted, and stored in a secure, password-protected database using REDCap software (Vanderbilt University). Figures 1 and 2 demonstrate pathologic slides showing high- and low-density SDPs, respectively.
Inclusion Criteria
All patients undergoing bilateral breast reduction for symptomatic macromastia were screened for study eligibility. All inclusion criteria were clinically determined during preoperative consultation. Both clinical and socioeconomic factors played a role in the decision-making. Of note, patients had different payer sources, with each source having different requirements for surgical qualifications.13,14 Policies delineated by the Division of Medicaid for the state of Mississippi are cited for reference. In the Medicaid Administrative Code15 part 203, chapter 4.18, under the heading Reduction mammaplasty, coverage criteria includes medical documentation of medical necessity for this procedure and that this procedure must be reconstructive in nature, performed as a last means of attempting to alleviate a patient’s symptomatology and dysfunction due to excessive breast size. Pain and restriction of normal activity must be documented, and it must be medically necessary to remove at least 500 g of tissue from each breast. The suprasternal notch to nipple measurement must be 28 cm or greater. In addition, the patient must have a documented history of intertrigo under or between the breasts. They must also have a psychological assessment and documentation of strap marks or shoulder grooving as documented in frontal and lateral photos. If the decision was made to go forth with an operation after satisfying the aforementioned criteria, they were included in this study.

Exclusion Criteria
Patients excluded from this study were those who were clinically deemed as inappropriate surgical candidates. At this institution, patients with known derangements in wound healing, history of breast cancer, who have BMI >45 kg/m2, are currently losing weight, or have a history of tobacco use within the past 6 weeks are not considered to be surgical candidates.
Postoperative Observations
Postoperative follow-up as per physician routine consisted of outpatient follow-up at approximately 1 week and 1 month. Complications and escalation in grading of complications are found in Table 1.

Statistical Analysis
Demographics, operative details, and postoperative variables were categorized from patient electronic medical records. Patients were followed in the authors’ outpatient plastic surgery clinics at 1 week and 1 month for postoperative complication assessment. The SDP density and resection weight were compared in relation to comorbidities (ie, BMI, tobacco use, alcohol use, diabetes) and postoperative complications (ie, delayed wound healing, nipple/areolar complex [NAC] complication). A 2-tailed t test was used to examine the statistical significance of the observed findings. The threshold for statistical significance for all analyses was set at P < .05. Data were analyzed using SPSS v28 (IBM Corp).
Results
Demographics
Between 2014 and 2020, 45 patients who underwent reduction mammaplasty met inclusion criteria. Patient baseline characteristics are shown in Table 2. The total mastectomy specimen densities were compared in relation to demographic and clinical comorbidities. Patients with BMI ≥35 kg/m2 had a statistically significant increased average total breast density (standard deviation [SD]) when compared with patients who had a BMI <35 kg/m2 (2.65 capillaries/mm2 ± 1.8 vs 1.56 capillaries/mm2 ± 1.2; P = .033; Figure 3). Patients with no admitted tobacco/nicotine use had a statistically significantly increased total average breast density than those who had historically or currently used tobacco/nicotine (2.11 capillaries/mm2 ± 1.6 vs 1.20 capillaries/mm2 ± 0.5; P = .009; Figure 4). There were no significant differences in the average total breast density correlating to historical or current alcohol use (1.99 capillaries/mm2 ± 1.6 vs 1.96 capillaries/mm2 ± 1.5; P = .967) or diabetes status (3.78 capillaries/mm2 ± 2.6 vs 1.84 capillaries/mm2 ± 1.4; P = .339); however, there was a very small number of patients with diabetes (n = 3) in this study.
The linear regression between BMI and total resection weight (Figure 5A), between BMI and total average breast density (Figure 5B), and between total resection weight and average breast density (Figure 5C) had Pearson correlation coefficients of 0.682, 0.406, and 0.236, respectively, and coefficients of determination of 0.465, 0.165, and 0.056, respectively.
Postoperative Complications
Only 43 of the 45 participating patients were included for the postoperative complications analysis because 2 patients were lost to follow-up. Patients with postoperative complications were compared with patients who did not experience complications. For patients with multiple complications (n = 13; 30%), each complication was counted individually for this analysis. Three patients (7%) had delayed wound healing and infection, 2 (5%) had fat/flap necrosis and infection, and 2 (5%) had fat/flap necrosis and symptomatic scar. One patient (2%) had a symptomatic scar, delayed wound healing, and infection; 1 (2%) had an NAC complication, fat/flap necrosis, and delayed wound healing; and 1 (2%) had an NAC complication and an infection. One patient (2%) had fat/flap necrosis, symptomatic scar, and delayed wound healing; 1 (2%) had fat/flap necrosis, hematoma/seroma, and infection; and 1 (2%) had fat necrosis and delayed wound healing. Seventeen patients (40%) reported only 1 complication, and 13 patients (30%) had no postoperative complications. All but 3 patients (7%) reported total relief of symptoms following treatment. Figure 6 and Figure 7 demonstrate statistically significant relationships between total average SDP density and postoperative infection and hematoma/seroma, respectively.

Discussion
Patients undergo reduction mammaplasty for macromastia to relieve symptoms of neck, back, and shoulder pain; shortness of breath during exercise; or psychological implications associated with aesthetic factors. Stratifying patient risk is essential for surgical candidacy and management. There are no reliable predictors of postoperative complications following reduction mammaplasty, deeming this an important research topic. Multiple studies of potential risk factors associated with postoperative complications have demonstrated conflicting results, likely due to small sample sizes.16,17 However, increased BMI is most consistently reported as a critical risk factor for postoperative complications.18,19 The objective of this study was to determine if there is an association between BMI and the SDP density and to assess if variations in density are related to other postoperative complications.
The authors hypothesized that patients with BMI ≥35 kg/m2 would have less dense SDPs, contributing to the increased postoperative complications seen in this population. However, the study data revealed the opposite: the subset of patients with higher BMIs had more dense SDPs. This study demonstrates a statistically significant relationship between SDP density in patients with BMI ≥35 kg/m2 versus that seen in patients with BMI <35 kg/m2. While the etiology of this difference is not clear, a possible explanation for increased vascular density can be attributed to an increase in fibrofatty tissue in the breast that induces ischemia in the skin over time. With this explanation, it can be postulated that patients with a BMI ≥35 kg/m2 take a comparatively larger hit to the vascular supply of breast reduction skin flaps than do patients with a BMI <35 kg/m2. However, this analysis suggests that increased wound healing complications seen and reported in patients with higher BMIs are not related to the SDP density but rather to something else.
Based upon the linear regression analysis (Figure 2), there is a positive correlation between BMI and SDP density: however, there is a low coefficient of determination, meaning this correlation is likely explained by 1 or more alternative variables that were not identified by the current dataset. Furthermore, this study demonstrates a positive linear relationship between BMI and total resection weight, but again with a lower coefficient of determination. Women with higher BMIs are not necessarily receiving breast reductions with greater resections. Further studies are needed to examine the implications that total resection weight may have on postoperative complications.
This study demonstrates that the relationship between postoperative complications and SDP density is dependent on the type of complication, since statistically significant relationships were identified only between BMI and the occurrence of infection and hematoma/seroma. This analysis is limited, however, due to the small sample size (n = 45) available and the poorly defined association between SDP density and postoperative complications in reduction mammaplasty. However, the occurrences of hematoma/seroma and infection found in patients with significantly decreased SDP densities makes a compelling finding to report.
The infections experienced by patients in this study were all self-limiting cellulitides and required only antibiotics and closer monitoring; however, these infections did add postoperative morbidity. The decreased vascular supply in this subset of patients experiencing infection can explain the occurrence of the complication. All patients’ SDP densities were equally distributed with regard to their preoperative morbidities except for BMI and history of tobacco use. Further studies are necessary to shed more light on the subject because of the implications in operative eligibility, postoperative complications, and insurance coverage.20 Because of conflicting evidence and lack of definitive guidelines, many surgeons still have a threshold value for BMI above which patients would not be considered as operative candidates, leading to the possibility of ineligibility for surgical intervention in patients who may not have significant postoperative risk.
Limitations
Limitations of this study include a small sample size and patient demographics of only one geographical region, as this study was performed at a single, publicly funded institution. Because of this, there is a lack of generalizability to the broad population. Additionally, since SDP capillary density per mm2 counts were performed by a single pathologist and not a programmable device, there is potential for human error with respect to pathologic results.
Conclusions
While plastic surgeons do not know the characteristics of a prospective patient’s SDP preoperatively, these data introduce new factors to be considered when determining preoperative risk and likelihood of postoperative complications. This study suggests that BMI alone may not play as significant a role in development of postoperative complications as previously believed and reported in the literature. With this understanding, BMI alone should not be used as definitive criteria for ineligibility for reduction mammaplasty in patients with symptomatic macromastia; instead, it should be factored in conjunction with other clinical characteristics and comorbidities during preoperative surgical evaluation.
Additionally, further studies are needed to assess the SDP density as it relates to dermal thickness and quality, as that was not analyzed for the purpose of this publication. Further research is also needed to determine whether this increased SDP density is analogous to increased perfusion. More research is needed to determine why wound healing complications are more commonly seen in the overweight population. Since there are currently no studies that have focused on the SDP as it relates to obesity and wound healing, a deeper understanding of the relationship between patient characteristics and postoperative complications can assist practitioners, policy makers, insurers, and especially patients in making more informed decisions about this and other procedures.
Acknowledgments
Affiliations: 1Division of Plastic and Reconstructive Surgery, University of Mississippi Medical Center, Jackson, Mississippi; 2School of Medicine, University of Mississippi Medical Center, Jackson, Mississippi; 3Pathology Consultants of Greenville, Greenville, South Carolina; 4Mississippi Premier Plastic Surgery, Jackson, Mississippi
Correspondence: Kathryn Brown, MD; kwbrown@umc.edu
Ethics: IRB Protocol-University of Mississippi Medical Center FWA00003630 2013-0177.
Funding: The authors received no financial support for this work.
Disclosures: The authors disclose no relevant financial or nonfinancial interests.
References
1. American Society of Plastic Surgeons 2018 national plastic surgery statistics. Accessed March 21, 2023. https://www.plasticsurgery.org/documents/News/Statistics/2018/plastic-surgery-statistics-report-2018.pdf
2. DeFazio MV, Fan KL, Avashia YJ, et al. Inferior pedicle breast reduction: a retrospective review of technical modifications influencing patient safety, operative efficiency, and postoperative outcomes. Am J Surg. 2012;204(5):e7-e14. doi:10.1016/j.amjsurg.2012.07.015
3. Cunningham BL, Gear AJL, Kerrigan CL, Collins ED. Analysis of breast reduction complications derived from the BRAVO study. Plast Reconstr Surg. 2005;115(6):1597-1604. doi:10.1097/01.PRS.0000160695.33457.DB
4. Zubowski R, Zins JE, Foray-Kaplon A, et al. Relationship of obesity and specimen weight to complications in reduction mammaplasty. Plast Reconstr Surg. 2000;106(5):998-1003. doi:10.1097/00006534-200010000-00006
5. Kalliainen LK, ASPS Health Policy Committee. ASPS clinical practice guideline summary on reduction mammaplasty. Plast Reconstr Surg. 2012;130(4):785-789. doi:10.1097/PRS.0b013e318262f0c0
6. American Society of Plastic Surgeons ASPS recommended insurance coverage criteria for third-party payers: reduction mammaplasty. Accessed March 21, 2023. https://www.plasticsurgery.org/Documents/Health-Policy/Reimbursement/insurance-2017-reduction-mammaplasty.pdf
7. Simpson AM, Donato DP, Kwok AC, Agarwal JP. Predictors of complications following breast reduction surgery: A National Surgical Quality Improvement Program study of 16,812 cases. J Plast Reconstr Aesth Surg. 2019;72(1):43-51. doi:10.1016/j.bjps.2018.09.002
8. Myung Y, Heo CY. Relationship between obesity and surgical complications after reduction mammaplasty: a systematic literature review and meta-analysis. Aesth Surg Jour. 2017;37(3):308-315. doi:10.1093/asj/sjw189
9. Baltodano PA, Reinhardt ME, Ata A, Simjee UF, Roth MZ, Patel AM. The Baltodano breast reduction score: a nationwide, multi-institutional, validated approach to reducing surgical-site morbidity. Plast Reconstr Surg. 2017;140(2)258e-264e. doi:10.1097/PRS.0000000000003506
10. Kinell I, Beausang-Linder M, Ohlsen L. The effect on the preoperative symptoms and the late results of Skoog’s reduction mammoplasty: a follow-up study on 149 patients. Scand J Plast Reconstr Surg Hand Surg. 1990:24:61. doi:10.3109/02844319009004522
11. Hidalgo DA. Improving safety and aesthetic results in inverted T scar breast reduction. Plast Reconstr Surg. 1999;103:874-886. doi:10.1097/00006534-199903000-00015
12. Davison SP, Mesbahi AN, Ducic I, Sarcia M, Dayan J, Spear S. The versatility of the superomedial pedicle and various skin reduction patterns. Plast Reconstr Surg. 2007;120:1466-1476. doi:10.1097/01.prs.0000282033.58509.76
13. Rawes CM, Ngaage LM, Cantab MB, et al. Navigating the insurance landscape for coverage of reduction mammaplasty. Plast Reconstr Surg. 2020;146(5):539-547. doi:10.1097/PRS.0000000000007241
14. Frey JD, Koltz PF, Bell DE, Langstein HN. The complex insurance reimbursement landscape in reduction mammaplasty. Ann Plast Surg. 2014;72(1):23-29. doi:10.1097/01.SAP.0000435778.81934.cd
15. Mississippi Division of Medicaid. Reduction mammaplasty. In: Administrative Code 2014 Title 23 Part 203;4.18. Accessed March 21, 2023. https://www.medicaid.ms.gov/wp-content/uploads/2014/01/Admin-Code-Part-203.pdf
16. Gamboa-Bobadilla GM, Killingsworth C. Large-volume reduction mammaplasty: the effect of the body mass index on postoperative complications. Ann Plast Surg. 2007;58:246-249. doi:10.1097/01.sap.0000248108.52837.6c
17. Setala L, Papp A, Joukainen S, et al. Obesity and complications in breast reduction surgery: are restrictions justified? J Plast Reconstr Aesthetic Surg. 2009;62:195-199. doi:10.1016/j.bjps.2007.10.043
18. Kendall R, Craig ES, Gomez V, Phillips LG. Breast reduction: safe in the morbidly obese? Plast Reconstr Surg. 2008;122:370-378. doi:10.1097/PRS.0b013e31817d60f4
19. Zhang MX, Chen CY, Fang QQ, et al. Risk factors for complications after reduction mammoplasty: a meta-analysis. PLoS One. 2016;11(12):e0167746. doi:10.1371/journal.pone.0167746
20. Morris MP, Butler PD. Insurance coverage of reduction mammaplasty: a need for new criteria. Plas Reconstr Surg. 2021 Sep 1;148(3):520e-521e. doi:10.1097/PRS.0000000000008272
References
1. American Society of Plastic Surgeons 2018 national plastic surgery statistics. Accessed March 21, 2023. https://www.plasticsurgery.org/documents/News/Statistics/2018/plastic-surgery-statistics-report-2018.pdf
2. DeFazio MV, Fan KL, Avashia YJ, et al. Inferior pedicle breast reduction: a retrospective review of technical modifications influencing patient safety, operative efficiency, and postoperative outcomes. Am J Surg. 2012;204(5):e7-e14. doi:10.1016/j.amjsurg.2012.07.015
3. Cunningham BL, Gear AJL, Kerrigan CL, Collins ED. Analysis of breast reduction complications derived from the BRAVO study. Plast Reconstr Surg. 2005;115(6):1597-1604. doi:10.1097/01.PRS.0000160695.33457.DB
4. Zubowski R, Zins JE, Foray-Kaplon A, et al. Relationship of obesity and specimen weight to complications in reduction mammaplasty. Plast Reconstr Surg. 2000;106(5):998-1003. doi:10.1097/00006534-200010000-00006
5. Kalliainen LK, ASPS Health Policy Committee. ASPS clinical practice guideline summary on reduction mammaplasty. Plast Reconstr Surg. 2012;130(4):785-789. doi:10.1097/PRS.0b013e318262f0c0
6. American Society of Plastic Surgeons ASPS recommended insurance coverage criteria for third-party payers: reduction mammaplasty. Accessed March 21, 2023. https://www.plasticsurgery.org/Documents/Health-Policy/Reimbursement/insurance-2017-reduction-mammaplasty.pdf
7. Simpson AM, Donato DP, Kwok AC, Agarwal JP. Predictors of complications following breast reduction surgery: A National Surgical Quality Improvement Program study of 16,812 cases. J Plast Reconstr Aesth Surg. 2019;72(1):43-51. doi:10.1016/j.bjps.2018.09.002
8. Myung Y, Heo CY. Relationship between obesity and surgical complications after reduction mammaplasty: a systematic literature review and meta-analysis. Aesth Surg Jour. 2017;37(3):308-315. doi:10.1093/asj/sjw189
9. Baltodano PA, Reinhardt ME, Ata A, Simjee UF, Roth MZ, Patel AM. The Baltodano breast reduction score: a nationwide, multi-institutional, validated approach to reducing surgical-site morbidity. Plast Reconstr Surg. 2017;140(2)258e-264e. doi:10.1097/PRS.0000000000003506
10. Kinell I, Beausang-Linder M, Ohlsen L. The effect on the preoperative symptoms and the late results of Skoog’s reduction mammoplasty: a follow-up study on 149 patients. Scand J Plast Reconstr Surg Hand Surg. 1990:24:61. doi:10.3109/02844319009004522
11. Hidalgo DA. Improving safety and aesthetic results in inverted T scar breast reduction. Plast Reconstr Surg. 1999;103:874-886. doi:10.1097/00006534-199903000-00015
12. Davison SP, Mesbahi AN, Ducic I, Sarcia M, Dayan J, Spear S. The versatility of the superomedial pedicle and various skin reduction patterns. Plast Reconstr Surg. 2007;120:1466-1476. doi:10.1097/01.prs.0000282033.58509.76
13. Rawes CM, Ngaage LM, Cantab MB, et al. Navigating the insurance landscape for coverage of reduction mammaplasty. Plast Reconstr Surg. 2020;146(5):539-547. doi:10.1097/PRS.0000000000007241
14. Frey JD, Koltz PF, Bell DE, Langstein HN. The complex insurance reimbursement landscape in reduction mammaplasty. Ann Plast Surg. 2014;72(1):23-29. doi:10.1097/01.SAP.0000435778.81934.cd
15. Mississippi Division of Medicaid. Reduction mammaplasty. In: Administrative Code 2014 Title 23 Part 203;4.18. Accessed March 21, 2023. https://www.medicaid.ms.gov/wp-content/uploads/2014/01/Admin-Code-Part-203.pdf
16. Gamboa-Bobadilla GM, Killingsworth C. Large-volume reduction mammaplasty: the effect of the body mass index on postoperative complications. Ann Plast Surg. 2007;58:246-249. doi:10.1097/01.sap.0000248108.52837.6c
17. Setala L, Papp A, Joukainen S, et al. Obesity and complications in breast reduction surgery: are restrictions justified? J Plast Reconstr Aesthetic Surg. 2009;62:195-199. doi:10.1016/j.bjps.2007.10.043
18. Kendall R, Craig ES, Gomez V, Phillips LG. Breast reduction: safe in the morbidly obese? Plast Reconstr Surg. 2008;122:370-378. doi:10.1097/PRS.0b013e31817d60f4
19. Zhang MX, Chen CY, Fang QQ, et al. Risk factors for complications after reduction mammoplasty: a meta-analysis. PLoS One. 2016;11(12):e0167746. doi:10.1371/journal.pone.0167746
20. Morris MP, Butler PD. Insurance coverage of reduction mammaplasty: a need for new criteria. Plas Reconstr Surg. 2021 Sep 1;148(3):520e-521e. doi:10.1097/PRS.0000000000008272


