New Documentation System for Ulnar Longitudinal Deficiency
© 2023 HMP Global. All Rights Reserved.
Any views and opinions expressed are those of the author(s) and/or participants and do not necessarily reflect the views, policy, or position of ePlasty or HMP Global, their employees, and affiliates.
Abstract
Background. This study examines the value of a new alphanumerical documentation system to classify the whole spectrum of deformities in ulnar longitudinal deficiency (ULD).
Methods. The patients with ULD, whom were referred during a 35-year period, were identified from the hospital database. A total of 7 patients with photographs and/or conventional radiographs that could be adequately reproduced were enrolled in the study.
Results. Six patients could be classified with the previously proposed classifications and the new documentation system. Three of them were diagnosed with ulnar-deficient hands. One had aplasia of the fifth finger ray (phalanges and metacarpal), a second aplasia of the fourth and fifth finger rays with narrowing of the first web, and a third aplasia of the fifth metacarpal. Furthermore, a fourth patient was diagnosed with hypoplasia of the ulna and congenital wrist amputation; a fifth with hypoplasia of the ulna, dislocation of the radial head, and a bowed radius; and a sixth with partial aplasia involving the middle and distal diaphysis of the ulna. Finally, one patient with an absent ulnar styloid process and oligodactyly with thumb could be classified only with the new system.
Conclusions. The proposed new alphanumerical documentation system incorporates all the most widely accepted previous classification schemes, facilitates the morphological and radiographic description of the whole spectrum of the deformities detected in patients with ULD for better communication between scientists, and secures the unrestricted inclusion of new variants in the future.
Introduction
The whole spectrum of the deformities detected in patients with ulnar longitudinal deficiency (ULD) is expressed with a combination of the degree of ulna visible on the radiographs and on the shoulder, humerus, elbow, wrist, and hand anomalies. Classification systems have variably focused on these and on some combination of the existing schemes.1-5
The aim of this report is to present a new alphanumerical documentation system for ULD that is based on the main types of the most widely accepted classification schemes and to assess its value to classify the entire spectrum of potential deformities.
Methods and Materials
The available clinical notes, photographs, and plain radiographs since 1987 of the patients who were referred to our clinic on the diagnosis of ULD were reviewed retrospectively. Seven patients, 6 males and 1 female, with photographs and/or conventional radiographs that could be adequately reproduced, were enrolled in the study. Patients with only clinical notes available were excluded. Six patients were referred for evaluation of the deformity and 1 after a wrist injury. There were 5 children with a mean age of 10.4 years (range, 6-13 years) and 2 adults. The right side was involved in 5 patients and the left in 2. The contralateral upper limb was normal in all patients. Musculoskeletal abnormalities of the hand, wrist, forearm, elbow, humerus, and shoulder were all checked. Anomalies of other systems, syndromes, neurofibromatosis, and additional musculoskeletal abnormalities, such as proximal femoral focal deficiency, fibular deficiency, phocomelia, and congenital scoliosis, were not detected in any of the patients. None of the patients had a family history of any congenital anomalies. Computed tomography, magnetic resonance imaging, and scanning with 3D reconstruction of the hand were not performed. None of these patients received surgical treatment. Six patients could be classified with the previously proposed classifications, but the patient with aplasia of the styloid process of the ulna and oligodactyly with thumb could not be classified.

A new alphanumerical documentation system, which was based on the main types of the most widely accepted classification schemes of ULD but widened to include the unclassified patient of this report, is proposed (Table 1). Type 1 deformity is the ulnar-deficient hand without forearm or elbow involvement. The radius-ulna relationship should be normal. Ulnar hand deficiencies may appear without or with additional radial, central, or mixed congenital hand anomalies. Type 2 deformity is ulnar hypoplasia with an intact proximal epiphysis. The distal ulnar epiphysis may be either normal or absent, partially or totally. Type 3 deformity is the partial absence of the ulna. Type 4 deformity is total aplasia of the ulna. Types 2, 3, and 4 may also appear with one or more of 5 subtypes. Subtype A has ulnar, radial, central, or mixed hand anomalies. Subtype B has congenital wrist amputation. Subtype C has elbow and/or radius anomalies. Subtype D has shoulder and/or humerus anomalies. Finally, subtype E has additional musculoskeletal anomalies and medical conditions.

Results
The data and the classification of our patients according to the new documentation system are briefly presented in Table 2. Clinical data and radiographs from cases 1 and 2 were previously described in a 2003 publication.6
Case 1
The first patient was a 12-year-old boy with type 1 deficiency (ulnar-deficient hand without radial or central hand anomalies). Radiographs of the affected right hand showed complete longitudinal absence of the small finger ray (phalanges and metacarpal), lunate-triquetral coalition, hypoplasia of the hamate, and incomplete duplication of the distal phalanx of the ring finger (Figure 1).
Case 2
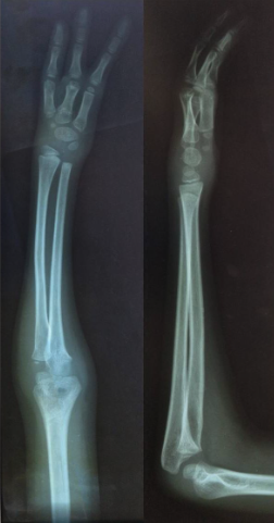
The second patient was a 9-year-old boy with a type 1 deficiency (ulnar-deficient hand with radial hand anomalies). Clinically, the affected left hand had 3 fingers (oligodactyly with thumb). There was hypoplasia of the thenar and aplasia of the hypothenar muscles. Despite the cosmetic problems, the patient had a functional hand and a stable wrist. Radiographs showed a complete longitudinal absence of the small and ring finger rays, pseudoepiphysis of the second metacarpal, capitate-hamate coalition, delayed skeletal age of the wrist and forearm bones, and narrowing of the first web (Figure 2). The distal ulnar epiphysis is cartilaginous. The deficiency could potentially be type 2A in the case of negative ulnar variance.
Case 3
The third patient was a 12-year-old boy with type 1 deficiency (ulnar-deficient hand without radial or central hand anomalies). Clinically, there was an abduction deformity and camptodactyly of the small finger of the affected right hand. A wide web space between the ring and little fingers extending to the proximal interphalangeal joint level was evident. There was hypoplasia of the right small and ring finger rays. Radiographs showed a distal radial metaphyseal fracture, isolated complete longitudinal absence of the fifth metacarpal, hypertrophy of the fourth metacarpal, and lunate-triquetral coalition; the little finger shared the distal joint surface of the fourth metacarpal with the ring finger (Figure 3).
Case 4
The fourth patient was a 23-year-old man with type 2A deficiency (absence of the ulnar styloid in an otherwise normal ulna and ulnar deficient hand with central hand anomalies). Clinically, the affected left hand had 3 fingers (oligodactyly with thumb). Despite the cosmetic problems, the patient had a functional extremity and a stable wrist. There was camptodactyly of the ulnar finger. The thenar muscles were well formed, while the muscle bulk of the right hypothenar eminence was not evident. Radiographs showed aplasia of the ulnar styloid process and a hypertrophied central metacarpal. The latter indicated that the central finger ray was present as symmetrical polysyndactyly rather than as a fusion of the middle and index finger rays and indicated the diagnosis of a central ray aplasia. The carpal bones were fewer either due to congenital absence or carpal coalition. Considering the abnormalities of the carpal bones, the missing ulnar digit was presumed to be the fifth finger. The diameter of the ulna was normal, both the radius and ulna were straight, and there was no abnormal deviation of the wrist and hand (Figure 4).
Case 5
The fifth patient was a 6-year-old boy with type 2B deficiency (ulnar hypoplasia with present proximal and distal epiphysis and wrist amputation) of the affected right arm. The right elbow was functional. Radiographs indicated a hypoplastic ulna with negative ulnar variance and congenital wrist amputation (Figure 5).
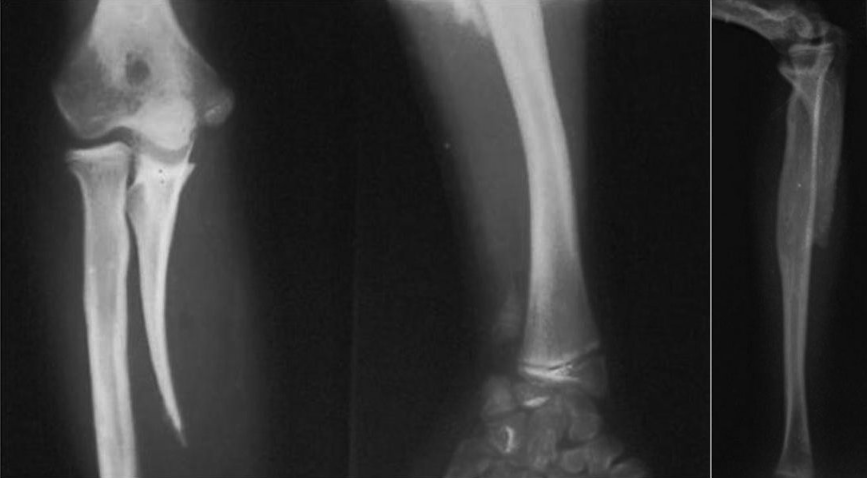
Case 6
The sixth patient was a 28-year-old man with type 2C deficiency (ulnar hypoplasia with present proximal and distal epiphysis, a dislocated radial head, and bowed radius). Radiographs of the affected right arm showed bowing of the radius, dislocation of the radiohumeral joint, subluxation of the wrist with ulnar deviation, and reduced longitudinal growth of the radius. The findings indicated that the fibrocartilaginous ulnar anlage may have been the anatomic structure responsible for the deformities (Figure 6).
Case 7
The seventh patient was a 13-year-old girl with type 3 deficiency (partial aplasia of the central and distal diaphysis of the ulna) of the affected right arm. The patient had a functional extremity, a normal hand, and a stable wrist and elbow. Radiographs showed partial aplasia of the ulna involving the middle and distal diaphysis with a hypoplastic distal metaphysis and epiphysis. There was negative ulnar variance but no deficiencies of the wrist and hand. The proximal part of the ulna was not hypoplastic, and the radius was straight (Figure 7).
Discussion
The terms “radial ray” and “ulnar ray” have been used and applied for the morphological description of limb deficiency.7 The ulnar ray was confirmed to include the ulna, triquetrum, pisiform, hamate, a part of the capitate, the fourth and fifth metacarpals, and the 2 ulnar fingers.8 Congenital absence of digits confined to the long axis of the upper limb is called longitudinal deficiency. Ulnar longitudinal deficiency (ulnar clubhand, ulnar dysmelia) is the failure of axis formation and/or differentiation of the postaxial border of the upper extremity.9 It has been classified as hypoplasia, partial absence of the distal and/or middle third of the ulna, or total absence (hemimelia) of the ulna.10,11 Studies and classifications were initially based on the deformities of the forearm and elbow.12-16 Although congenital amputation at the wrist was also included,17 none of them considered hand abnormalities.
The high prevalence of hand deformities in ULD and the fact that most patients require surgical procedures for hand and thumb abnormalities has necessitated new classifications18-20 or modifications of previous ones (mainly Bayne’s system21-23) to describe hand abnormalities. Ulnar club hands usually involve missing digits on the ulnar side (90%), but most also have thumb/first web malformations (70%). Syndactyly is present in about one-third of the cases, while the triquetrum, pisiform, and hamate are absent, hypoplastic, or fused depending on the grade of ulna defect.24 Classification systems have further included functional parameters,25,26 shoulder or humerus anomalies,27-30 all potential deficiencies of the upper extremity,31 and medical or musculoskeletal abnormalities and syndromes.32,33 The Bayne’s classification parallels the radial longitudinal classification and makes it easy for most to remember.34 Although the Bayne’s classification and its modifications are valuable in facilitating communication, they do not guide treatment or provide prognostic information.35


Despite their cosmetic problems, patients with ULD usually have functional extremities. The limb function is usually severely complicated by ipsilateral digital deformities and radiohumeral synostosis.36-38 The most widely accepted classifications and the modifications of Bayne’s classification are presented in Tables 3 and 4. The deformities of the ulna detected in ULD should be strictly differentiated from the dysplastic ulnar bowing commonly observed in congenital transverse deficiencies through the forearm and wrist or from the congenital pseudarthrosis of the ulna with or without osteolysis.
The classification of the patients presented in this report according to the new documentation system is further discussed. Additionally, a few previous case reports are classified in the proposed documentation system, focusing on those presented in the literature as new, rare, or unusual variants.
The patients in cases 1 and 2 presented with a total absence of 1 and 2 ulnar finger rays, respectively. They were both defined as a type 1 lesion. However, the deficiency in case 2 could also be type 2A. The definitive diagnosis of a negative ulnar variance may be more secure when compared with the healthy side after skeletal maturity.
Children born with total or partial absence of 1 or more digits have been described by many confusing terms. Jones and Kaplan presented a simple documentation system describing their morphological and radiographic findings. The spectrum of transverse and ulnar deficiencies, including 1 to 4 absent ulnar rays, is much less frequent than radial and central ones.39 Therefore cases 1 and 2 could be classified by the Jones and Kaplan system.
Cases 2 and 4 could be defined oligodactyly with thumb, a condition indicating the presence of fewer than 5 finger rays of the hand but with a present thumb, and normal or near normal forearm bones on the affected side. Oligodactyly with thumb involving the ulnar-sided fingers has been regarded as a type of ULD but can also be combined with radial and/or central hand deficiency. Baek and Kim have classified oligodactyly with thumb as type 1 (oligodactyly with normal thumb) and oligodactyly with thumb hypoplasia as type 2. They have subdivided each type into subtype A, missing ulnar-sided fifth or both fourth and fifth rays; subtype B, missing central (second and/or third) rays; and subtype C, missing both ulnar-sided and central digits.40 Therefore, cases 2 and 4 could be classified by the Baek and Kim system.
Other authors reported a case with similar clinical and radiographic findings to case 2.41 According to the classification presented in this report, the patient has a type 1 deficiency.
The patient in case 3 presented with isolated longitudinal complete absence of the fifth metacarpal, defined as a type 1 lesion. Congenital isolated longitudinal complete absence of the fourth or fifth metacarpal bone, with intact ulna and fingers, is a very rare anomaly compared with other patterns of metacarpal abnormalities, while partial absence is most likely due to congenital synostosis of the fourth and fifth metacarpals.42-44 This congenital deformity has not been previously included in any of the suggested classification schemes of the ulnar-deficient hand.
The patient in case 4 presented with an absence of the ulnar styloid process and a total absence of 2 rays, defined as a type 2A deficiency. The distal ulnar growth plate contributes 80% of the ulnar growth. The distal ulnar secondary center of ossification has a significantly variable radiographic appearance. Ossification of the styloid process occurs by extension from the secondary ossification center of the distal epiphysis and not from an independent ossification center.45 Negative ulnar variance is a condition in which the ulna is relatively shorter than the radius at the wrist; in one report, it was evident in 21% of 203 normal wrists.46 Pediatric patients with symptomatic mild ULD are often mistaken for ulnar negative variance with radioulnar impingement.47 However, the absence of the ulnar styloid process is a scarce radiographic finding with only two previously reported cases.48,49
Hypoplasia of the ulna, in the previously described classifications, refers to an undersized ulna with intact proximal and distal epiphysis. However, hypoplasia was associated with either an intact or a totally absent distal ulnar epiphysis in only one classification.31 In case 4, there was minimal negative ulnar variance, which was inconsistent with a total absence of the distal ulnar epiphysis. Subsequently, the absent ulnar styloid process indicated the partial absence of the distal ulnar epiphysis. The deformity was considered to be an extremely rare occurrence of ulnar hypoplasia that has not been previously reported in humans. Ulnar dysmelia rarely occurs spontaneously in animals, and variable experimental appearances, using an antineoplastic drug, duplicated most of the variations seen in the human disease analog.50 A teratogenic drug-induced experimental study showed that most of the ulnar reductions were minor and involved the distal end of the bone. The shortened distal ulnar chondroepiphysis was either rounded or tapered and more slender than normal. The most frequently absent portion was the styloid process. These mild deformities conform to the type of hypoplastic ulna described in humans and comprise the bulk of evident ulnar deformities.51
The radiographic delineation of the missing rays in our case 4 was demanding. Considering the abnormalities of the metacarpals and carpal bones, the missing digits were presumed to be both central and ulnar-sided digits. There was hypertrophy of the central metacarpal, which has been observed in patients with a central digit deficit.40 The capitate was hypoplastic and articulated with the central metacarpal, while the missing carpal bone in the distal carpal row seemed to be a trapezoid. Thus, the missing central digit is presumed to be an index finger. The hamate was articulating with one metacarpal. The radial-sided articulation of the hamate with the ulnar metacarpal suggested that the ring finger ray and metacarpal were present, and the missing digit was the little finger. The lunate was presumed to be fused in a potential triquetrum-hamate coalition or missing.
The patient in case 5 presented with hypoplasia of the ulna and aplasia of all rays, defined as a type 2B deficiency. Transverse aplasia of all rays has been defined as category I (transverse or longitudinal failure of formation) according to the Swanson classification for congenital limb malformations.9 The aplastic hand has also been classified according to the levels of the congenital absent digits.39 The level of absent rays, in case 5, was defined to be from the radiocarpal joint to the carpometacarpal joints. Ulnar defect with congenital amputation at the wrist has been previously suggested only in the Swanson classification for ULD.17
The patient in case 6 presented with ulnar hypoplasia, dislocated radial head, and bowed radius, defined as a type 2C deficiency. The differential diagnosis between hypoplasia and the absence of the distal part of a shortened ulna in children may be clear on the radiographs due to the radiolucent growth plate. However, the differential diagnosis may be demanding in adults. In case 6, although the diameter of the ulnar shaft was normal, the morphology of the distal end of the ulna was consistent with an ulnar styloid process, indicating the potential diagnosis of hypoplasia. On the other hand, the significant ulnar deviation of the wrist was most likely due to the fibrocartilaginous anlage of the ulna; this anatomic structure is responsible for progressive bowing of the radius, dislocation or synostosis of the radiohumeral joint, subluxation of the wrist with ulnar deviation, and decreased longitudinal growth of the radius.51 In cases of ULD with a dislocated radial head and bowed radius, any progression of the radial bow, elbow instability, and loss of forearm length caused by the dislocation have not been observed.16,52,53
Other authors reported a patient with hypoplasia of the ulna but normal hand digits, thumb, first web space, wrist, and elbow.54 According to the classification presented in this report, the patient has a type 2 deficiency.
The patient in case 7 presented with isolated partial aplasia involving the central and distal part of the ulnar diaphysis, defined as a type 3 deficiency.
Other authors reported a patient with a defect of most of the ulna, in which only the distal metaphysis and epiphysis were present, associated with radial and central hand deficiencies and deformities of the radius and elbow.55 According to the classification presented in this report, the patient has a type 3AC deficiency.
Some other authors reported a patient with a defect of most of the ulna, in which only a rudimentary proximal segment was present, associated with radial and central hand deficiencies and deformities of the radius and elbow.56 According to the classification presented in this report, the patient has a type 3AC deficiency.
No patients with complete absence of the ulna were included in this study. However, other authors have reported 2 cases with associated hand and elbow deficiencies.57 According to the classification presented in this report, both patients have a type 4AC deficiency.
One might conclude that repeated modifications of the previous classification systems of ULD, including the addition of new types, may not improve the accuracy of delineation of new variants and may potentially lead to descriptive confusion between scientists. On the other hand, although some new variants may be exceedingly rare or have no reference to the mode of treatment or prognosis, they still need to be classified. It may be worth considering that the description of new variants as subtypes rather than new types may refine the accuracy of recent reports while the basic classification schemes are unaltered. In addition, it may be prudent to emphasize that any classification should secure the unrestricted inclusion of any new variant in the future.
This study describes a new alphanumerical documentation system for ULD, as simple and inclusive as possible. The new classification system does not discard prior systems but adds to them, allowing for plasticity and adaptation as new variants are described. It also provides a simple description of the morphological or radiographic appearance and the functional status of a patient with ULD. The number to (none, one, or more) letter combination further facilitates communication between physicians or surgeons to provide a simple picture of the whole spectrum of congenital anomalies detected in a child or adult.
Limitations
There are several limitations in this report to consider when evaluating its value. A candidate bias may occur because a single author performed the entire evaluation. A spectrum bias may also exist because of the limited number of included patients. A multicenter prospective study would be the next step to improve the completeness of documentation and increase the number of patients.
Conclusions
The proposed new alphanumerical documentation system incorporates all the most widely accepted previous classification schemes while facilitating the morphological, radiographic, and functional description of the whole spectrum of the deformities detected in patients with ULD. This refined system may also improve communication between scientists and secure the unrestricted inclusion of new variants in the future.
Acknowledgments
Affiliation: 1Second Department of Orthopaedic Surgery, Aristotle University of Thessaloniki, “G. Gennimatas” Hospital, Thessaloniki, Greece
Correspondence: N. K. Sferopoulos, MD, PhD; sferopoulos@yahoo.com
Funding: This study received no financial support.
Ethics: No approval is required in our institution. Permission to use data and images was obtained from the patients.
Disclosures: The author discloses no relevant conflict of interest or financial disclosures for this manuscript.
References
- Sykes PJ, Eadie PA. Longitudinal ulnar deficiency in the hand. In: Gupta A, Kay SPJ, Scheker LR, eds. The Growing Hand: Diagnosis and Management of the Upper Extremity in Children. Mosby; 2000:189-195.
- Kozin SH. Upper-extremity congenital anomalies. J Bone Joint Surg Am. 2003;85(8):1564-1576. doi:10.2106/00004623-200308000-00021
- Buck-Gramcko D. Congenital disorders: radial and ulnar club hand. In: Berger RA, Weiss APC, eds. Hand Surgery. Lippincott; 2004:1453-1464.
- Al-Qattan MM and Al-Thunyan A. Ulnar deficiencies. In: Abzug J, Kozin S, Zlotolow D, eds. The Pediatric Upper Extremity. Springer; 2015:265-275.
- Gottschalk HP and Bednar MS. Ulnar longitudinal deficiency. In: Laub DR Jr, ed. Congenital Anomalies of the Upper Extremity: Etiology and Management. Springer Nature; 2021:171-176.
- Sferopoulos NK, Tsitouridis I. Carpal coalition: a rare coincidence with hand deficiencies. Acta Orthop Belg. 2003;69(4):317-320.
- O’Rahilly R. Morphological patterns in limb deficiencies and duplications. Am J Anat. 1951;89(2):135-193. doi:10.1002/aja.1000890202
- Tada K, Egawa T, Ono K. The carpus in congenital anomalies of the hand. Acta Orthop Scand. 1977;48(6):592-599. doi:10.3109/17453677708994803
- Swanson AB. A classification for congenital limb malformations. J Hand Surg Am. 1976;1(1):8-22. doi:10.1016/s0363-5023(76)80021-4
- Straub LR. Congenital absence of the ulna. Am J Surg. 1965;109:300-305. doi:10.1016/s0002-9610(65)80078-2
- Ogden JA, Watson HK, Bohne W. Ulnar dysmelia. J Bone Joint Surg Am. 1976;58(4):467-475.
- Kümmel W. Die Missbildungen der Extremitaeten durch Defekt, Verwachsung und Ueberzahl. TG Fischer; 1895:1-83.
- Carroll RE, Bowers WH. Congenital deficiency of the ulna. J Hand Surg Am. 1977;2(3):169-174. doi:10.1016/s0363-5023(77)80066-x
- Riordan DC. The upper limb. In: Lovell WW, Winter RB, eds. Pediatric Orthopaedics. Lippincott; 1978:685-719.
- Bayne LG. Ulnar club hand (ulnar deficiencies). In: Green DP, ed. Operative Hand Surgery. Churchill Livingstone; 1982:245-257.
- Miller JK, Wenner SM, Kruger LM. Ulnar deficiency. J Hand Surg Am. 1986;11(6):822-829. doi:10.1016/s0363-5023(86)80230-1
- Swanson AB, Tada K, Yonenobu K. Ulnar ray deficiency: its various manifestations. J Hand Surg Am. 1984;9(5):658-664. doi:10.1016/s0363-5023(84)80007-6
- Manske PR. Longitudinal failure of upper-limb formation. Instr Course Lect. 1997;46:83-110.
- Ogino T, Takahara M, Kikuchi N, Itoh K, Watanabe T, Kato Y. Classification of congenital longitudinal deficiencies. Rivista di Chirurgia della Mano. 2006;43(2):84-85.
- Cole RJ, Manske PR. Classification of ulnar deficiency according to the thumb and first web. J Hand Surg Am. 1997;22(3):479-488. doi:10.1016/S0363-5023(97)80016-0
- Bayne LG. Ulnar club hand (ulnar deficiencies). In: Green DP, ed. Operative Hand Surgery. Churchill Livingstone; 1993:288-303.
- Havenhill TG, Manske PR, Patel A, Goldfarb CA. Type 0 ulnar longitudinal deficiency. J Hand Surg Am. 2005;30(6):1288-1293. doi:10.1016/j.jhsa.2005.07.006
- Ogino T. Clinical features and teratogenic mechanisms of congenital absence of digits. Dev Growth Differ. 2007;49(6):523-531. doi:10.1111/j.1440-169X.2007.00939.x
- James MA and Bednar MS. Malformations and deformities of the wrist and forearm. In: Wolfe SW, Hotchkiss RN, Pederson WC, Kozin SH, eds. Green’s Operative Hand Surgery. Elsevier; 2010:1405-1434.
- Rigault P, Touzet P, Padovani JP, Maroteaux P, Finidori G, Chaumien JP. Hypoplasia and aplasia of the ulna in children. Internal longitudinal ectromelia of the arm. Study of 38 cases in 31 children. Chirurgie. 1985;111(8):692-700.
- Elhassan BT, Biafora S, Light T. Clinical manifestations of type IV ulna longitudinal dysplasia. J Hand Surg Am. 2007;32(7):1024-1030. doi:10.1016/j.jhsa.2007.05.020
- Al-Qattan MM, Al-Sahabi A, Al-Arfaj N. Ulnar ray deficiency: a review of the classification systems, the clinical features in 72 cases, and related developmental biology. J Hand Surg Eur Vol. 2010;35(9):699-707. doi:10.1177/1753193409358240
- Tytherleigh-Strong G, Hooper G. The classification of phocomelia. J Hand Surg Br. 2003;28(3):215-217. doi:10.1016/s0266-7681(02)00392-3
- Goldfarb CA, Manske PR, Busa R, Mills J, Carter P, Ezaki M. Upper-extremity phocomelia reexamined: a longitudinal dysplasia. J Bone Joint Surg Am. 2005;87(12):2639-2648. doi:10.2106/JBJS.D.02011
- Manske PR, Goldfarb CA. Congenital failure of formation of the upper limb. Hand Clin. 2009;25(2):157-170. doi:10.1016/j.hcl.2008.10.005
- Loréa P, Pajardi G, Medina J, Szabo Z, Foucher G. The ulnar longitudinal deficiency: proposition of a descriptive classification. Chir Main. 2004;23(6):294-297. doi:10.1016/j.main.2004.10.001
- Walker JL, Hosseinzadeh P, Lea J, White H, Bell S, Riley SA. Severity of ulnar deficiency and its relationship with lower extremity deficiencies. J Pediatr Orthop B. 2019;28(1):62-66. doi:10.1097/BPB.0000000000000547
- Dwivedi N, Goldfarb CA, Bauer A, Bohn D, Samora JB, Wall LB; CoULD Study Group. An analysis of associated conditions and the relationship between the severity of hand manifestations with that of the forearm in ulnar longitudinal deficiency. J Hand Surg Am. 2022:S0363-5023(22)00309-4. doi:10.1016/j.jhsa.2022.05.021
- Waters PM, Bae DS. Pediatric Hand and Upper Limb Surgery: A Practical Guide. Lippincott; 2001:132-137.
- Manske PR, Oberg KC. Classification and developmental biology of congenital anomalies of the hand and upper extremity. J Bone Joint Surg Am. 2009;91 Suppl 4:3-18. doi:10.2106/JBJS.I.00008
- Blair WF, Shurr DG, Buckwalter JA. Functional status in ulnar deficiency. J Pediatr Orthop. 1983;3(1):37-40. doi:10.1097/01241398-198302000-00007
- Lovett RJ. The treatment of longitudinal ulnar deficiency. Prosthet Orthot Int. 1991;15(2):104-105. doi:10.3109/03093649109164643
- Schmidt CC, Neufeld SK. Ulnar ray deficiency. Hand Clin. 1998;14(1):65-76.
- Jones NF, Kaplan J. A new documentation system for congenital absent digits. Hand (N Y). 2012;7(4):391-399. doi:10.1007/s11552-012-9450-0
- Baek GH, Kim J. Oligodactyly with thumb. J Hand Surg Asian Pac Vol. 2016;21(3):283-291. doi:10.1142/S2424835516400087
- Lee GH, Gu JH. A child with type I ulnar ray deficiency. Arch Plast Surg. 2018;45(2):191-193. doi:10.5999/aps.2017.00234
- Buckwalter JA, Flatt AE, Shurr DG, Dryer RF, Blair WF. The absent fifth metacarpal. J Hand Surg Am. 1981;6(4):364-367. doi:10.1016/s0363-5023(81)80044-5
- Miura T. Congenital absence of the fourth metacarpal bone (congenital dysplasia of the ring finger). J Hand Surg Am. 1988;13(1):93-96. doi:10.1016/0363-5023(88)90208-0
- Peker F, Açikel C, Ulkür E. Congenital isolated absence of fifth metacarpal bone. Plast Reconstr Surg. 2002;109(5):1752-1754. doi:10.1097/00006534-200204150-00058
- Peterson HA. Distal ulna. In: Peterson HA, ed. Epiphyseal Growth Plate Fractures. Springer; 2007. doi:10.1007/978-3-540-33802-4_16
- Voorhees DR, Daffner RH, Nunley JA, Gilula LA. Carpal ligamentous disruptions and negative ulnar variance. Skeletal Radiol. 1985;13(4):257-262. doi:10.1007/BF00355345
- Farr S, Schachinger F. Treatment of mild ulnar longitudinal deficiency with a Z-shaped ulna lengthening osteotomy: a report of 2 cases. JBJS Case Connect. 2020;10(3):e2000080. doi:10.2106/JBJS.CC.20.00080
- Palacios-Biox A, Urbina-Joiro H, Mutchinik O. Absence of ulnar styloid apophysis. A case report. J Rheumatol. 1995;22(12):2377.
- Foscarini N. On aseptic necrosis of the ulnar styloid apophysis. Minerva Radiol Fisioter Radiobiol. 1964;55:492-496.
- Ogino T, Kato H. Clinical and experimental studies on ulnar ray deficiency. Handchir Mikrochir Plast Chir. 1988;20(6):330-337.
- Ogden JA, Vickers TH, Tauber JE, Light TR. A model for ulnar dysmelia. Yale J Biol Med. 1978;51(2):193-206.
- Broudy AS, Smith RJ. Deformities of the hand and wrist with ulnar deficiency. J Hand Surg Am. 1979;4(4):304-315. doi:10.1016/s0363-5023(79)80066-0
- Marcus NA, Omer GE Jr. Carpal deviation in congenital ulnar deficiency. J Bone Joint Surg Am. 1984;66(7):1003-1007.
- Jerome TJ, Prabu R, Terrence TK. A new variant of type I congenital ulna deficiency with the normal thumb, webspace, hand, and elbow. Cureus. 2020;12(12):e12261. doi:10.7759/cureus.12261
- Malik S, Afzal M. Ulnar aplasia, dysplastic radius and preaxial oligodactyly: rare longitudinal limb defect in a sporadic male child. J Res Med Sci. 2013;18(9):818-821.
- Özdemir M, Kavak RP, Kaplanoğlu H. An unusual association of ulnar hemimelia with mesoaxial synostotic syndactyly. BJR Case Rep. 2020;6(1):20190073. doi:10.1259/bjrcr.20190073
- Abdulkadir AY, Adigun IA. Ulnar hemimelia with oligodactyly: report of two cases. Radiol Case Rep. 2016;4(1):240. doi:10.2484/rcr.v4i1.240


