Skip to main content

January

Featured Article

Case Q&A
01/30/2023
Bradon J. Wilhelmi, MD, FACS; Milind D. Kachare, MD; Alyssa M. Simpson, MD; Brooke E. Barrow, MD, MEng; Samuel L. Corey, MD; Natalie J. West, EdS
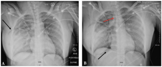
A 31-year-old woman who recently had a breast augmentation presented after sustaining a gunshot wound to the right chest.
A 31-year-old woman who recently had a breast augmentation presented after sustaining a gunshot wound to the right chest.
A 31-year-old woman who recently...
01/30/2023
ePlasty
Case Report
01/20/2023
Lihan Zhang, MRCS; Corey D. Chan, MBBS; Ranjeet J. Pandit; Christopher John Lewis, FRCS(Plast)
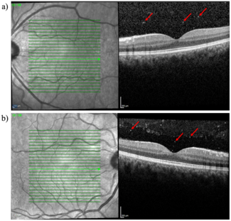
This report presents a unique case of bilateral endogenous bacterial endophthalmitis in a young, previously healthy patient secondary to an infected burn wound over 5% total body surface area.
This report presents a unique case of bilateral endogenous bacterial endophthalmitis in a young, previously healthy patient secondary to an infected burn wound over 5% total body surface area.
This report presents a unique...
01/20/2023
ePlasty
Case Q&A
01/19/2023
Tadaaki Morotomi, MD, PhD; Hitoshi Nishiwaki, MD, PhD; Tomomi Iuchi, MD, PhD; Yasuhiro Sanada, MD, PhD; Hitomi Nakao, MD, PhD; Mitsugu Fujita, MD, PhD; Koji Niwa, MD, PhD
Cranialization of the frontal sinus with an anterior pericranial flap was performed in addition to tumorectomy to reconstruct the anterior cranial base on a 20-year-old female who presented with exophthalmos of the left eye.
Cranialization of the frontal sinus with an anterior pericranial flap was performed in addition to tumorectomy to reconstruct the anterior cranial base on a 20-year-old female who presented with exophthalmos of the left eye.
Cranialization of the frontal...
01/19/2023
ePlasty
Case Report
01/18/2023
Cassie A. Hartline, MD; Michael M. Talanker, BS; Daniel J. Freet, MD; Kasra N. Fallah, MD, BSA
A woman in her early thirties was hit directly in her chin by a large artillery shell firework. This caused complete soft tissue loss of the lower lip and chin beyond the oral commissures, complicated further by a comminuted mandible...
A woman in her early thirties was hit directly in her chin by a large artillery shell firework. This caused complete soft tissue loss of the lower lip and chin beyond the oral commissures, complicated further by a comminuted mandible...
A woman in her early thirties...
01/18/2023
ePlasty
Review
01/16/2023
S. Alex Rottgers, MD; Jordan N. Halsey, MD; Joshua M. Wright, MBBS
Dorsal augmentation is one of the more complication-prone procedures in rhinoplasty, demanding ample skill and experience to produce an aesthetic and functional result.
Dorsal augmentation is one of the more complication-prone procedures in rhinoplasty, demanding ample skill and experience to produce an aesthetic and functional result.
Dorsal augmentation is one of...
01/16/2023
ePlasty
Case Report
01/16/2023
Cassie A. Hartline, MD; Kasra N. Fallah, MD, BSA; Michael M. Talanker, BS; Daniel J. Freet, MD
This article presents 2 male patients who sustained upper extremity injuries after contact with a high-voltage line.
This article presents 2 male patients who sustained upper extremity injuries after contact with a high-voltage line.
This article presents 2 male...
01/16/2023
ePlasty
Case Q&A
01/09/2023
Edwin Morrison, MBBS; Jocelyn Lu, MD; Francis Graziano, MD; Eldon Mah, MBBS; Farooq Shahzad, MBBS, MS, FACS, FAAP
A 33-year-old man was referred to the plastic surgery service for management of a complex lower back wound.
A 33-year-old man was referred to the plastic surgery service for management of a complex lower back wound.
A 33-year-old man was referred...
01/09/2023
ePlasty
Case Report
01/09/2023
Lihan Zhang, MRCS; Maxford Coutinho, FRCS
A 74-year-old woman presented to the plastic surgery hand trauma clinic with painful, pulsatile swelling in her left index finger following a sharp incision injury to the digit.
A 74-year-old woman presented to the plastic surgery hand trauma clinic with painful, pulsatile swelling in her left index finger following a sharp incision injury to the digit.
A 74-year-old woman presented to...
01/09/2023
ePlasty
Case Q&A
01/09/2023
Zachary A. Koenig, MD; Lundrim Marku, BS, MSc; Sebastian M. Brooke, MD
A 5-month-old male infant is brought to the cleft clinic for evaluation of a unilateral complete left cleft lip, palate, and bilateral lower lip pits.
A 5-month-old male infant is brought to the cleft clinic for evaluation of a unilateral complete left cleft lip, palate, and bilateral lower lip pits.
A 5-month-old male infant is...
01/09/2023
ePlasty
Case Report
01/09/2023
Eric Clayman, MS; Zackery Beauchamp, BS ; Jared Troy, MD
This article presents 2 patients with orthopedic hardware infection. In both patients, hypochlorous acid was used intraoperatively during debridement to soak the hardware for 5 minutes.
This article presents 2 patients with orthopedic hardware infection. In both patients, hypochlorous acid was used intraoperatively during debridement to soak the hardware for 5 minutes.
This article presents 2 patients...
01/09/2023
ePlasty