Posterior Interosseous Nerve Palsy Caused by Lipoma
Case Summary
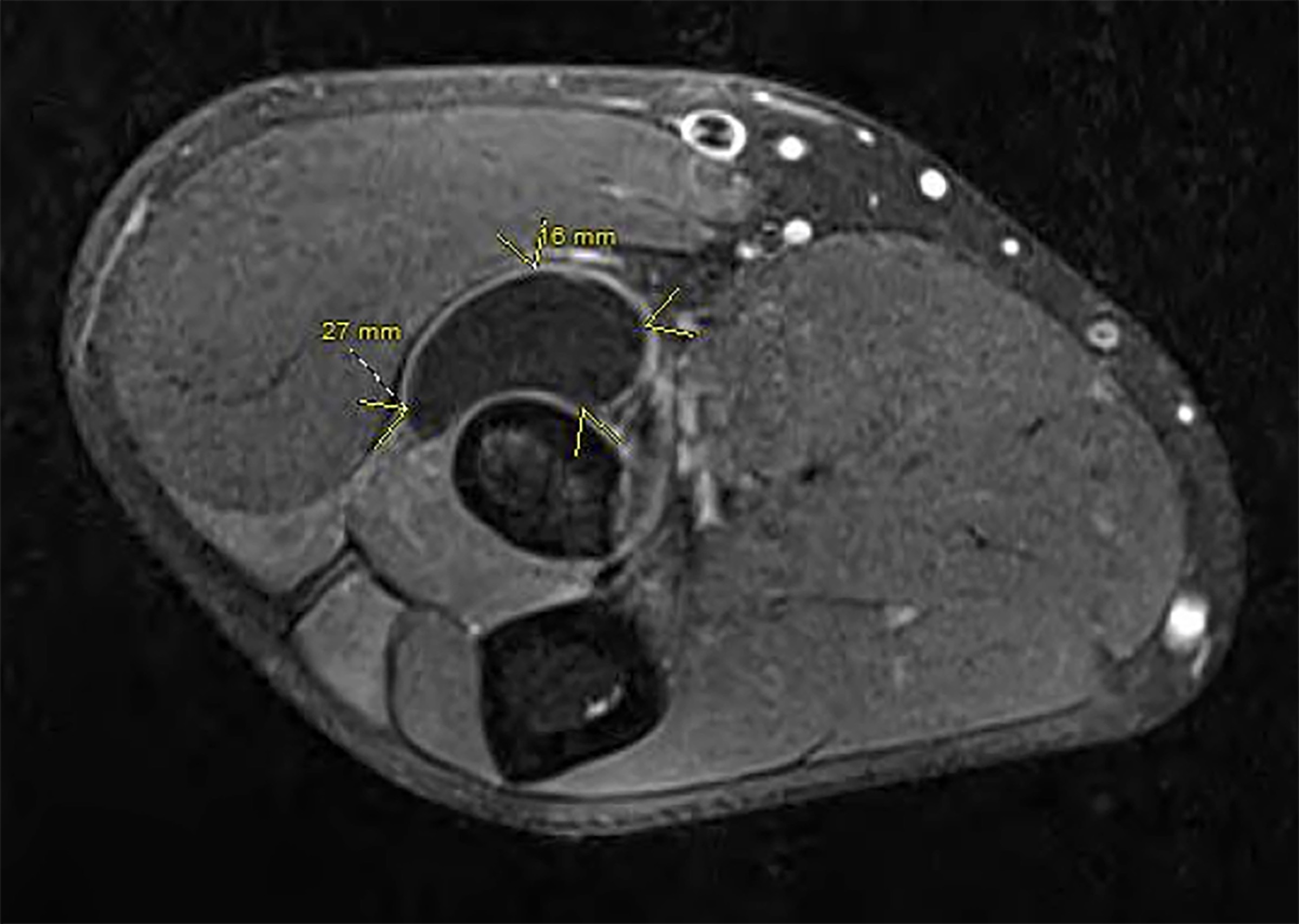
A 42-year-old, right-hand dominant male presented with several months of progressive right upper extremity motor weakness. The patient first noticed weakness and then the complete loss of extension of the long finger and ring finger, followed by the loss of extension of the small finger, and eventually weakness of the thumb and index finger extension (Figure 1). The patient’s wrist extension was intact, and there were no palpable masses or inciting traumatic events. Electromyography (EMG) and nerve conduction studies (NCS) were ordered and demonstrated posterior interosseous nerve (PIN) involvement. Magnetic resonance imaging (MRI) of the right forearm showed a well-circumscribed mass over the radial head. The patient was taken to the operating room for excision of the mass. Intraoperatively a 44 mm x 27 mm x 16 mm lipoma located deep against the PIN, causing obvious clinical PIN narrowing, was excised. All branches of the radial nerve were spared, and a complete decompression of the PIN was performed. The patient had progressive and continued recovery of finger extension postoperatively. (Figure 1)
Questions
1. What are the potential etiologies of radial and PIN paralysis?
2. What is the appropriate workup for radial nerve palsy?
3. What are differential diagnoses for forearm masses and how do they appear on MRI?
4. What are the surgical approaches for a radial nerve exploration and release?
Potential Etiologies
What are the potential etiologies of radial and PIN paralysis?
Appropriate management of a radial nerve palsy requires an appropriate evaluation of the cause, severity, duration, and level of involvement. Anatomically, radial nerve paralysis can occur anywhere along the nerve course, from the brachial plexus to its branching as the PIN and superficial sensory branch of the radial nerve (SSBRN) to the hand. Mackinnon conducted a comprehensive review of radial nerve paralysis and noted that, in general, radial nerve paralysis can result from orthopedic injuries (humeral shaft fractures, elbow trauma), tumors, inflammatory conditions, anatomic compression sites, and iatrogenic causes (tourniquets, retraction during surgery).1 In the absence of trauma or prior surgery in this patient case, the most likely etiology of the palsy was either anatomic compression points or tumor, despite no palpable mass on exam. Radial nerve palsy from tumor compression is rare, but has been reported in several studies.2 Notably, radial nerve palsy from a tumor does not always present in a clear or textbook fashion and can lead to a delay in diagnosis. In fact, this patient was first seen by neurosurgery due to concern for cervical spine compression prior to referral to hand surgery. Known anatomic compression points of the radial nerve include the leash of Henry (radial recurrent artery), arcade of Frohse (tendinous superficial head of the supinator muscle), the proximal margin of the extensor carpi radialis brevis (ECRB), and fibrous bands proximal to the radial tunnel.3
Appropriate Workup
What is the appropriate workup for radial nerve palsy?
The best tools to discern the etiology of radial nerve palsy are an astute history and physical exam, as the loss of motor function depends on the level of radial nerve involvement. In this case, the patient had intact elbow and wrist extension, indicating intact innervation to the triceps muscles and wrist extensors (ECRB, extensor carpi radialis longus ) which effectively ruled out a brachial plexus or proximal radial nerve injury. The patient’s progressive loss of finger extension and absence of distal sensory symptoms pointed to a progressive process distal to the origin of the PIN. At this point, adjunct studies such as MRI and radiographs are indicated to rule out underlying masses, fractures, dislocations, and foreign bodies. In this case, the MRI demonstrated a sizeable lipoma (Figure 2, Figure 3). Suspected radial nerve paralysis from a penetrating injury follows a slightly different algorithm than in penetrating trauma and should be explored urgently. In these cases, adjunct imaging such as MRI or arteriograms may be useful prior to exploration whereas electrodiagnostic studies prior to exploration are unnecessary.4 Early EMG and NCS are unable to differentiate between nerve injuries that will or will not heal spontaneously and should be reserved for persistent nerve paralysis beyond 6 to 8 weeks.1 By 12 weeks, the presence of motor unit potentials can differentiate injuries that will require surgery or heal spontaneously.
Differential Diagnoses
What are differential diagnoses for forearm masses and how do they appear on MRI?
The differential diagnosis for forearm masses is broad. Reported masses causing PIN compression include lipomas, liposarcomas, ganglion cysts, intraneural hemangiomas, and tumors of nerve origin.2,5 As previously mentioned, an MRI serves as a useful adjunct in determining the cause of nerve palsy and may assist with diagnosing masses when detected. Importantly, MRIs prior to surgery can help distinguish between benign and malignant masses, which may alter surgical planning, margins, and reconstruction. Although effective in diagnosing masses, an MRI is not definitive. A recent study on upper extremity lesions found an overall sensitivity of MRI of 75% compared to lesion pathology after excision, with improved radiologic diagnosis of ganglions and lipomas compared to malignant lesions.6 Pertinent to this case, lipomas characteristically demonstrate MRI signal characteristics identical to subcutaneous fat, which include hyperintense T1 and T2 signals with hypointense short-TI inversion recovery (STIR) signal (Figure 2, Figure 3).6 Heterogeneity within the lesion should raise the possibility of liposarcoma as a possible diagnosis. In contrast, ganglion cysts typically present with hypointense T1 signal and hyperintense T2 and STIR signals. An MRI with gadolinium contrast is useful for detecting and differentiating between possible vascular lesions.
Surgical Approaches
What are the surgical approaches for a radial nerve exploration and release?
Several approaches to the radial tunnel have been described including the posterior, transbrachioradialis, anterior, and anterolateral approaches.1,7,8 In a recent anatomic study, no approach was deemed superior.7 In this case, the radial nerve was identified proximally above the elbow in the brachioradialis-brachialis interval and traced distally, consistent with an anterior approach. With the brachioradialis muscle retracted laterally, the radial nerve, its branches, and the lipoma were easily identified, providing excellent exposure for excision of the lipoma and decompression of the PIN (Figure 4, Figure 5, Figure 6).
Summary
This case reviewed the presentation, work-up, and treatment of PIN palsy caused by a lipoma. As radial nerve paralysis is most commonly caused by orthopedic and iatrogenic trauma, the case highlights the importance of a thorough physical exam and suspicion of a deep causative mass in the case of an unclear clinical presentation of radial nerve palsy. Aided by the MRI diagnosis of lipoma, the symptomatic mass was excised, allowing for the patient’s swift and progressive recovery.
Acknowledgments
Authors: Matthew E Braza MDa, Matthew P Fahrenkopf, MDa,b, Steven C Naum, MDa,c
Affiliations: aSpectrum Health/Michigan State University College of Human Medicine Plastic Surgery Residency, Grand Rapids, Michigan; bHand Surgery Fellowship, Mayo Clinic, Rochester Minnesota; cOrthopaedic Associates of Michigan, Grand Rapids, Michigan
Correspondence: Steven C Naum, MD, 1111 Leffingwell Ave NE, Grand Rapids, MI 49525; steve.naum@oamichigan.com
Disclosures: The authors disclose no financial or other conflicts of interest.
References
1. Lowe JB 3rd, Sen SK, Mackinnon SE. Current approach to radial nerve paralysis. Plast Reconstr Surg. 2002;110(4):1099-1112. doi: 10.1097/01.PRS.0000020996.11823.3F
2. Martínez-Villén G, Badiola J, Alvarez-Alegret R, Mayayo E. Nerve compression syndromes of the hand and forearm associated with tumours of non-neural origin and tumour-like lesions. J Plast Reconstr Aesthetic Surg. 2014;67(6):828-836. doi: 10.1016/j.bjps.2014.02.003
3. Konjengbam M, Elangbam J. Radial Nerve in the Radial Tunnel: Anatomic Sites of Entrapment Neuropathy. Clin Anat. 2004;17(1):21-25. doi: 10.1002/ca.10194.
4. Rinker B, Effron CR, Beasley RW. Proximal Radial Compression Neuropathy. Ann Plast Surg. 2004;52(2):174-180; discussion 181-183. doi: 10.1097/01.SAP.0000099959.59748.85.
5. Lifchez SD, Dzwierzynski WW, Sanger JR. Compression neuropathy of the radial nerve due to ganglion cysts. Hand (NY). 2008;3(2):152-154. doi: 10.1007/s11552-007-9083-x.
6. McKeon K, Wright B, Lee D. Accuracy of MRI-based Diagnoses for Distal Upper Extremity Soft Tissue Masses. J Hand Microsurg. 2015;7(1):61-66. doi: 10.1007/s12593-015-0174-6
7. Urch EY, Model Z, Wolfe SW, Lee SK. Anatomical study of the surgical approaches to the radial tunnel. J Hand Surg Am. 2015;40(7):1416-1420. doi: 10.1016/j.jhsa.2015.03.009.
8. Mackinnon SE, Novak CB. Compression Neuropathies. In: Wolfe SW, Hotchkiss RN, Pederson WC, Kozin SH, Cohen MS, eds. Green’s Operative Hand Surgery. 7th ed. Elsevier; 2017:921-958.


