Rare Presentation of Apocrine Hidrocystoma Along the Nasolacrimal Duct
© 2023 HMP Global. All Rights Reserved.
Any views and opinions expressed are those of the author(s) and/or participants and do not necessarily reflect the views, policy, or position of Wounds or HMP Global, their employees, and affiliates.
Abstract
Hidrocystomas are rare benign cystic tumors of the sweat glands, with no cases of hidrocystoma of nasolacrimal duct previously reported. We present a case of a 28-year-old female with no prior significant medical history presenting with an enlarging mass medial to her right lower eyelid for 2 years. Computed tomography scan showed nodular soft tissue in the middle part of the right nasolacrimal duct. Following complete excision of the cyst, histopathology reported an apocrine hidrocystoma, which is very rare.
Introduction
Hidrocystomas are rare benign cystic tumors of the sweat glands, ranging in diameter from 1 to 3 mm for eccrine tumors1 and 3 to 15 mm for apocrine lesions. They are located in the head and neck region and more commonly in the periorbital area near the medial canthus.2 Rare sites like breast, Cowper’s glands, aural canal, and oral mucosa3 have also been reported. While eccrine hidrocystomas can occur as single or multiple lesions, apocrine hidrocystomas are usually solitary.4 The definitive diagnosis of the lesion is made by excision and biopsy. The unusual location of such lesions poses a clinical challenge as their appearance resembles any other commonly occurring lesions. We present here a similar lesion in the nasolacrimal duct, which was confirmed with histopathological examination. The rarities of the occurrence and knowledge about clinical and pathological differentials in such locations are highlighted in the present report. The authors declare that the present report adhered to the ethical principles outlined in the Declaration of Helsinki as amended in the year 2013.
Case Presentation
A 28-year-old woman presented with a painless swelling in right periorbital region, just below the medial canthal area (Figure 1A). The swelling was present since childhood and used to become more prominent during flu attacks. It was not associated with pain, but there was occasional watering from the same side. On examination, the swelling was located inferior to the right medial canthus and measuring about 0.5 cm × 0.5 cm. The mass was nontender, compressile, semimobile, nontranslucent, and nonpulsatile with smooth overlying skin. The borders were regular but not well-defined, implying a deep-seated mass.
Examination of the eye was essentially normal, and best corrected visual acuity was 6/6 in both eyes. Lacrimal syringing revealed patent lacrimal pathway on both sides. Nasal examination ruled out any local pathology. Noncontrast computed tomography orbit axial scan showed nodular soft tissue in the middle part of the right nasolacrimal duct (Figure 2). An excision biopsy was planned. A cystic mass measuring 0.5 × 0.5 × 0.3 cm (Figure 3) was excised in toto; the lesion appeared to be separate from the nasolacrimal duct, and probing confirmed the same.
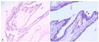
On gross examination, the excised specimen consisted of a greyish brown tissue measuring approximately 0.5 × 0.5 × 0.3 cm3 with a soft consistency (Figure 3). Microscopically, the lesion consisted of a cyst wall lined by a double-layered epithelium and surrounded by fibrous tissue. The outer layer was lined by flat to cuboidal cells and by an inner layer of columnar cells with eosinophilic cytoplasm and many cells with vacuolated cytoplasm. Stratification was seen at a few places, and the findings were suggestive of benign nasolacrimal duct cyst consistent with apocrine hidrocystoma (Figure 4).
On follow-up examination 4 months later, no recurrence was observed (Figure 1B).
Discussion
Apocrine glands are usually found in the head and neck, axilla, areola, and external genitalia. The modified glands include the glands of Moll in the eyelids and ear wax–producing ceruminous glands in the ear. Apocrine hidrocystomas are solitary smooth cysts arising from the glands of Moll along the eyelid margins.4 They are considered to be adenomas of secretory cells rather than retention cysts like eccrine hidrocystomas. Multiple lesions are less common, and they often extend deep beneath the surface, especially in the canthal regions.
The pathophysiology of adult-onset hidrocystoma is uncertain. It has been hypothesized that sequestration of epithelial cells at the embryonic stage could lead to a congenital cyst. Histologically,5 the cystic lesion is lined by a double layer of epithelial cells: an outer layer of flattened, vacuolated myoepithelial cells and an inner layer of tall, columnar cells with eosinophilic cytoplasm and basally located round or oval vesicular nuclei. Decapitation secretions are usually present.
The present case was atypical in its location where cystic swelling in the medial canthal area along the nasolacrimal duct points to many differentials, such as a lacrimal duct cyst, dermoid cyst, and dacryops. Apocrine cysts are uncommon and have not been reported commonly at such locations. The nasolacrimal duct syringing and probing confirmed patency of the nasolacrimal system, but features of watering might be related to compressive effects of mass on the nasolacrimal duct.
Histopathologically, a lacrimal gland cyst6 and apocrine hidrocystoma may show identical features. Other histopathological differentials would be eccrine hidrocystoma7 and apocrine changes in the lacrimal duct cyst. Imaging characteristics of such a deep-seated mass help in ruling out neoplastic lesions, although the tissue of origin can often be not delineated. The relation of the cyst with the nasolacrimal system during surgical excision will help in identifying the location of the tumor and establishing a definitive diagnosis. The location of the cyst in the vicinity of the nasolacrimal system and clinical features of watering from the same eye helped in confirming the nasolacrimal duct cyst. Excision is the definitive management of these cysts to prevent a recurrence.
Conclusions
Congenital benign apocrine hidrocystomas may present in medial canthal areas, mimicking lacrimal sac pathologies. Good clinical examination, surgical relation of the mass with surrounding tissue, and histopathological confirmation help to arrive at a correct diagnosis.
Acknowledgments
Affiliation: 1Department of Ophthalmology, All India Institute of Medical Sciences, Bhubaneswar, Odisha, India
Correspondence: Sandip Kumar Sahu, MS; drsandipsahu@yahoo.com
Ethics: Consent was obtained from the patient for publication of photos.
Conflicts of Interest: The authors disclose no financial or proprietary interest in the subject matter of this article.
References
1. Behshad S, Weil NC, Ho ST, Mayhall GK, Valenzuela AA. A cyst you can’t miss: a rare presentation of an orbital apocrine hidrocystoma. Orbit. 2015;34(4):229-231. doi:10.3109/01676830.2015.1014514
2. Valenzuela AA, Heathcote JG. Apocrine hidrocystoma of the orbit. Orbit. 2011;30(6):316-317. doi:10.3109/01676830.2011.621170
3. Poli PP, Creminelli L, Moramarco V, Del Gobbo A, Ferrante F, Maiorana C. Diagnostic workup and treatment of a rare apocrine hidrocystoma affecting the oral mucosa: a clinical and histological case report. Case Rep Dent. 2017;2017:1-5. doi:10.1155/2017/9382812
4. Jakobiec FA, Zakka FR. A reappraisal of eyelid eccrine and apocrine hidrocystomas: microanatomic and immunohistochemical studies of 40 lesions. Am J Ophthalmol. 2011;151(2):358-374.e2. doi:10.1016/j.ajo.2010.08.028
5. Smith JD. Apocrine hidrocystoma (cystadenoma). Arch Dermatol. 1974;109(5):700. doi:10.1001/archderm.1974.01630050046010
6. Sugiyama A, Sugiura M, Piris A, Tomita Y, Mihm MC. Apocrine cystadenoma and apocrine hidrocystoma: examination of 21 cases with emphasis on nomenclature according to proliferative features. J Cutan Pathol. 2007;34(12):912-917. doi:10.1111/j.1600-0560.2007.00757.x
7. Olmedo JM, Rapini RP. Apocrine hidrocystoma treatment and management. Medscape. Published January 26, 2017. Accessed July 22, 2022. https://emedicine.medscape.com/article/1056133-treatment


