Rare Case of a Cutaneous Fingertip Schwannoma: A Case Report and Review of Literature
Abstract
Background. Soft tissue masses of the hand are common and mostly benign, including ganglion cysts, glomus tumors, lipomas, and giant cell tumors of the tendon sheath. Schwannomas are benign nerve sheath tumors but are rarely found on the distal parts of the digits. The authors present a case of a schwannoma located at the tip of the finger.
Methods. An otherwise healthy 26-year-old man presented because of a 10-year history of a slowly growing mass on the tip of his right little finger that significantly interfered with his right hand function. The patient underwent hand radiographs and surgical excision of the tumor.
Results. Pathologic evaluation determined that the mass was a schwannoma with positive immunohistochemistry for S-100 and SOX-10. The patient reported complete resolution of symptoms associated with the tumor and his satisfaction with the surgical outcome.
Conclusions. Imaging studies, such as radiographs, ultrasound, and magnetic resonance imaging, are critical in the diagnostic workup of soft tissue masses of the hand to better understand involvement of the tumor to musculature, vasculature, and other pertinent bony structures. Although quite common, schwannomas may be hard to differentiate from other soft tissue tumors, and a review of the literature demonstrates the importance of providers utilizing imaging and other diagnostics before proceeding to treatment.
Introduction
Tumors of the hand are commonly of benign occurrence and may arise from bone, skin, tendons, blood vessels, or nerves.1,2 It is estimated that 15% of all diagnosed soft tissue tumors are found on the hand, including ganglion cysts, glomus tumors, giant cell tumors of the tendon sheath, lipomas, and nerve sheath tumors.3-6 Due to the wide variety of cellular structures that are present in the hand, tumor origins are diverse and may be difficult to diagnose based on location and patient symptoms alone.7 Schwannomas are a class of benign, encapsulated nerve sheath tumors composed of Schwann cells, which are derived from neural crest cells.8 Schwannomas can originate from either central or peripheral nerves and have been classified by the World Health Organization as a grade 1 benign tumor as these tumors rarely undergo malignant transformation.9,10
Schwannomas are the most common nerve sheath tumors and typically affect individuals in their fifth to sixth decade of life, with the median age being 56 years.9 Schwannomas have an overall incidence of 5% in adults and 2% in children.11 Most patients are asymptomatic, but some may complain of sensory loss, dysesthesia, or weakness due to compression of neural structures, including the brachial plexus.12 Schwannomas may occur at multiple sites of the body, including the upper and lower extremities, head, mediastinum, and trunk.9 On the extremities, schwannomas are typically located on the flexor surfaces, with the upper extremity being twice more likely to be involved than the lower extremity.13
Schwannomas account for 0.8% to 2% of all hand tumors. Approximately 19% of them occur on the hand and the wrist, most often on the volar surface.14 The median and ulnar nerve have been reported in the literature to be the two most commonly affected nerves.15 Studies have reported that schwannomas tend to occur more often in mixed nerves rather than in pure motor or sensory nerves.16 In addition, studies have determined that the incidence of schwannoma tends to be higher in patients of Asian descent (1.37 cases per 100,000 patients/year) and lower in Hispanic and African American patients (0.69 cases per 100,000 patients/year and 0.36 cases per 100,000 patients/year, respectively).17,18
In addition to physical examination, the use of diagnostic studies such as radiographs, ultrasound, and magnetic resonance imaging (MRI) is indicated to clarify diagnosis, determine tumor relationship with the surrounding structures, and determine strategy of the treatment. If malignancy is suspected, biopsy is warranted. Given current trends in data, the incidence of schwannomas reportedly has been increasing, probably due to increased diagnostic imaging of asymptomatic masses.19,20
This report presents the authors’ experience with a case of a mass involving the fingertip and the diagnostic and therapeutic steps taken to optimize the patient’s care and outcome.
Methods
A previously healthy 26-year-old Hispanic man presented to the emergency department in May 2022 because of a skin mass located at the tip of his right fifth digit. The mass had not recently changed in size or shape, and he reported no pain upon palpation of the mass. The patient was counseled that emergent surgical removal of the mass was not indicated, and was told to follow up with plastic surgery.
Upon his visit in the senior author’s (RD) office, the patient revealed that the mass had been present for 10 years, was slowly growing, and had significantly increased in size during the last 5 years. On physical examination, a 2.5 × 2.5-cm flesh-colored, rubbery, soft tissue mass was noted over the ulnar aspect of the tip of the right little finger (Figure 1A and 1B). In addition, the mass was transilluminating. The patient reported no pain or skin changes. However, he stated that he wanted the mass removed because it limited functionality of his right hand.
Radiographs of the right hand demonstrated a soft tissue mass along the ulnar aspect of the right little finger distal phalanx and preservation of distal interphalangeal joint space without cortical destruction or internal calcific density (Figure 2). Due to the patient’s limited hand function and the potential of malignant degeneration of the mass, a surgical procedure was recommended to remove the mass. After the benefits and risks of surgery were explained, the patient wished to proceed with the procedure.
Results
The patient was taken to the operating room, placed in the supine position, administered general anesthesia, and prepped in the typical surgical fashion. A tourniquet was inflated to 250 mm Hg, and an elliptical incision was made over the mass. An ellipse of the skin was excised, and dissection was conducted utilizing tenotomy scissors. The mass was cleanly dissected and excised. The incision site was closed with 4-0 nylon. The tourniquet was then let down for a total tourniquet time of 31 minutes. The patient tolerated the procedure well with no intraoperative or postoperative complications. He was discharged home the same day.
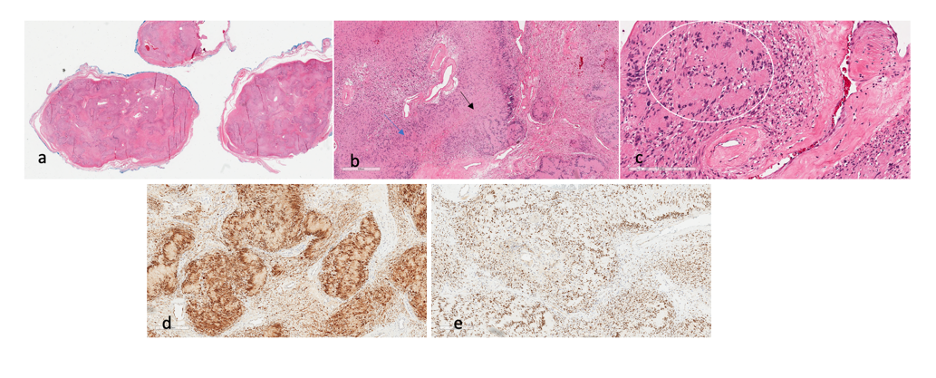
The removed mass was a white solid nodule that measured 2.3 × 1.7 × 1.2 cm and was sent to pathology for further analysis (Figure 3). Immunohistochemistry indicated that the mass was diffusely positive for S-100 and SOX-10, which supported the diagnosis of a schwannoma (Figure 4). Upon follow-up, the patient was found to have complete resolution of his symptoms, full range of motion in the digit, capillary refill of 2 seconds, and preserved sensation. He was pleased with his surgical outcome.
Discussion
Most schwannomas are asymptomatic and require minimal management beyond periodic follow-ups to characterize potential interval changes of the mass. For patients who require treatment for schwannomas, the tumor location, structural involvement, and patient symptoms need to be considered before a treatment plan is initiated. Up to 90% of schwannomas are solitary; therefore multiple tumors or recurrences in a patient should lead to further evaluation of genetic conditions, including neurofibromatosis, Carney complex, and schwannomatosis.9,21,22
Schwannomas can be diagnosed by imaging or through immunohistochemistry and pathologic evaluation. Plain radiography, in general, tends to be nonspecific while other imaging modalities, such as computed tomography (CT) and magnetic resonance imaging (MRI), have been found to be useful in diagnosing the condition. Studies have reported that plain radiographs may demonstrate calcifications in 10% of patients along with the characteristic split fat sign.23 Other studies have reported MRI to be one of the most useful imaging modalities for schwannomas with a diagnostic value upwards of 90%.24 Ultrasound has also been utilized to detect schwannomas and may be integral during surgery.25 In the current patient, plain radiographs were chosen as the first step in the diagnostic workup because of the lesion’s location at the very tip of the digit. Had radiographs demonstrated suspicion for bony involvement, CT or MRI would have been conducted before surgical removal.
Immunohistochemistry also plays an important role in the diagnosis and postoperative treatment for patients with schwannomas. Studies have found that most benign nerve sheath tumors, such as granular cell tumors, neurilemomas, and neurofibromas, are immunoreactive for S-100.26 However, it is important to consider that S-100 is characteristic of neural crest cell-derived tumors but can also be seen with other tumors. As a result, other markers should be utilized to confirm a diagnosis of schwannoma.26 Such markers include SOX-10, which has been demonstrated to show higher specificity than S-100 for tumors that are neural crest–derived.27,28 A study by Karmachandani et al found that SOX-10 was found to have a 99% specificity compared with that of S100, which had a specificity of 91% for tumors that were of neural-crest origin.27
There is sparse literature regarding when surgical or nonoperative procedures should be undertaken when dealing with schwannomas of the hand. Some studies have stated that operative management should be reserved for patients with large and symptomatic lesions.23 As in the case of the current patient, operative management was indicated due to his clinical symptoms and impaired functionality with activities of daily living. In addition, preoperative biopsy has been found to be contraindicated if there is a high clinical degree of suspicion in order to limit nerve bundle damage.24 Recurrence rates of schwannomas in the hand have been rarely reported and typically occur due to incomplete excision.29
To date, there are limited published case reports of schwannomas occurring at the distal aspect of the digits of the hand. There are several studies that have found schwannomas at the volar aspect of the palm and wrist, all of which were surgically excised with fascicle-sparing techniques when possible.30 A study by Jiang and Lu discussed their experience of a patient with multiple schwannomas in the hand including the palms and at the proximal interphalangeal joint and found that early surgical treatment improved patient outcomes.31 Kneitz et al mentioned that in their experience of schwannomas of the hand, ultrasound alone may not be sufficient to diagnose schwannomas due to their similarity with a ganglion cyst.32
Another study by Moran et al found a schwannoma at the terminal motor branch of the ulnar nerve, and as a result, reported the importance of considering schwannomas as a differential diagnosis in patients that present with a mass near the digital nerve along with pain and tenderness.32,33 In addition, schwannomas occur due to a loss of function of merlin, a cytoskeleton protein that functions at the cell membrane and nucleus, or genetic changes that involve the NF2 gene.34,35 However, some data have suggested that schwannomas of the hand may occur due to foreign bodies and potential microtrauma, which may stimulate increased growth of Schwann cells.36,37 Thus, schwannomas should be considered in patients with masses in the hand who may have suffered from repetitive activities that involve the hand.
Conclusions
The diagnosis and treatment of schwannomas is multifactorial and may be complicated. Imaging modalities, such as ultrasound, radiographs, and MRI, should be utilized to help characterize the tumor before surgical treatment is considered. In addition, patient symptoms, tumor locations, and extent of tumor invasion are critical considerations before definite surgical management is conducted. Lastly, immunohistochemistry using S-100 and SOX-10 should be performed to confirm a preoperative diagnosis of schwannoma.
Acknowledgments
Affiliations: 1Division of Plastic and Reconstructive Surgery, St Louis University School of Medicine; St Louis, MO; 2Oakland University, William Beaumont School of Medicine, Rochester, MI; 3Department of Surgery, Division of Plastic Surgery, Rutgers University/New Jersey Medical School, Newark, NJ; 4Department of Pathology, Rutgers University/New Jersey Medical School, Newark, NJ
Correspondence: Rohun Gupta, MD; rohunguptaMD@gmail.com
Ethics: Informed consent was given by all human subjects involved in the cases described in this manuscript. All authors have conformed to all appropriate institutional guidelines, including information about Institutional Review Board approval.
Disclosures: The authors disclose no relevant financial or nonfinancial interests.
References
1. Al-Maqdassy EG. Soft tissue tumors and tumor-like lesions of the fingers. MOJ Orthop Rheumatol. 2018;10(3):350-352. doi:10.15406/mojor.2018.10.00427
2. Nepal P, Songmen S, Alam SI, Gandhi D, Ghimire N, Ojili V. Common soft tissue tumors involving the hand with histopathological correlation. J Clin Imaging Sci. 2019;9:15. doi:10.25259/JCIS-6-2019
3. Sobanko JF, Dagum AB, Davis IC, Kriegel DA. Soft tissue tumors of the hand. 1. Benign. Dermatol Surg. 2007;33(6):651-667. doi:10.1111/j.1524-4725.2007.33140.x
4. Shapiro PS, Seitz WH. Non-neoplastic tumors of the hand and upper extremity. Hand Clin. 1995;11(2):133-160.
5. Teh J. Ultrasound of soft tissue masses of the hand. J Ultrason. 2012;12(51):381-401. doi:10.15557/JoU.2012.0028
6. Garcia J, Bianchi S. Diagnostic imaging of tumors of the hand and wrist. Eur Radiol. 2001;11:1470-1482. doi: 10.1007/s003300000751.
7. Schultz RJ, Kearns RJ. Tumors in the hand. J Hand Surg. 1983;8A:803-806. doi:10.1016/s0363-5023(83)80277-9
8. Joshi R. Learning from eponyms: Jose Verocay and Verocay bodies, Antoni A and B areas, Nils Antoni and Schwannomas. Indian Dermatol Online J. 2012;3(3):215-219. doi:10.4103/2229-5178.101826
9. Sheikh MM, De Jesus O. StatPearls [Internet]: Schwannoma. Last updated November 26, 2022. Accessed March 8, 2023. https://www.ncbi.nlm.nih.gov/books/NBK562312/
10. Hilton DA, Hanemann CO. Schwannomas and their pathogenesis. Brain Pathol. 2014;24(3):205-220. doi:10.1111/bpa.12125
11. Sando IC, Ono S, Chung KC. Schwannoma of the hand in an infant: case report. J Hand Surgery Am. 2012 Oct;37(10):2007-2011. https://doi.org/10.1016/j.jhsa.2012.07.011
12. El-Sherif Y, Sarva H, Valsamis H. Clinical reasoning: an unusual lung mass causing focal weakness. Neurology. 2012;78(2):e4-e7. doi:10.1212/WNL.0b013e31824258af
13. Ozdemir O, Kurt C, Coskunol E, Calli I, Ozsoy M. Schwannomas of the hand and wrist: long-term results and review of the literature. J Orthop Surg (Hong Kong). 2005;13(3):267-272. doi:10.1177/230949900501300309
14. Zardi EM, Vadalà G, Buzzulini F, et al. Imaging and surgical approach for a schwannoma of the hand. J Med Ultrason (2001). 2014;41(2):229-232. doi:10.1007/s10396-013-0495-7
15. Patel MR, Mody K, Moradia VJ. Multiple schwannomas of the ulnar nerve: a case report. J Hand Surg Am. 1996;21(5):875-876. doi:10.1016/S0363-5023(96)80207-3
16. Troy J, Barnes C, Gaviria A, Payne W. Schwannoma in digital nerve: a rare case report. Eplasty. 2015 Oct 24;15:ic56.
17. Fisher JL, Pettersson D, Palmisano S, et al. Loud noise exposure and acoustic neuroma. Am J Epidemiol. 2014;180(1):58-67. doi:10.1093/aje/kwu081
18. Koo M, Lai JT, Yang EY, Liu TC, Hwang JH. Incidence of vestibular schwannoma in Taiwan from 2001 to 2012: a population-based national health insurance study. Ann Otol Rhinol Laryngol. 2018;127(10):694-697. doi:10.1177/0003489418788385
19. Lin D, Hegarty JL, Fischbein NJ, Jackler RK. The prevalence of “incidental” acoustic neuroma. Arch Otolaryngol Head Neck Surg. 2005;131(3):241-244. doi:10.1001/archotol.131.3.241
20. Propp JM, McCarthy BJ, Davis FG, Preston-Martin S. Descriptive epidemiology of vestibular schwannomas. Neuro Oncol. 2006;8(1):1-11. doi:10.1215/S1522851704001097
21. Kamilaris CDC, Faucz FR, Voutetakis A, Stratakis CA. Carney complex. Exp Clin Endocrinol Diabetes. 2019;127(2-03):156-164. doi:10.1055/a-0753-4943
22. Korf BR. Neurofibromatosis. Handb Clin Neurol. 2013;111:333-340. doi:10.1016/B978-0-444-52891-9.00039-7
23. Nicolescu R, Agrawal NA, Pettit RW, Netscher DT. Recurrent schwannomatosis of the hand. Hand (N Y). 2020;15(5):732-738. doi:10.1177/1558944719895605
24. Pertea M, Filip A, Huzum B, et al. Schwannoma of the upper limb: retrospective study of a rare tumor with uncommon locations. Diagnostics (Basel). 2022;12(6):1319. doi:10.3390/diagnostics12061319
25. Wu S, Liu G, Tu R. Value of ultrasonography in neurilemmoma diagnosis: the role of round shape morphology. Med Ultrason. 2012;14(3):192-196.
26. Weiss SW, Langloss JM, Enzinger FM. Value of S-100 protein in the diagnosis of soft tissue tumors with particular reference to benign and malignant Schwann cell tumors. Lab Invest. 1983;49(3):299-308.
27. Karamchandani JR, Nielsen TO, van de Rijn M, West RB. Sox10 and S100 in the diagnosis of soft-tissue neoplasms. Appl Immunohistochem Mol Morphol. 2012;20(5):445-450. doi:10.1097/PAI.0b013e318244ff4b
28. Vrotsos E, Alexis J. Can SOX-10 or KBA.62 Replace S100 protein in immunohistochemical evaluation of sentinel lymph nodes for metastatic melanoma? Appl Immunohistochem Mol Morphol. 2016;24(1):26-29. doi:10.1097/PAI.0000000000000146
29. Rodriguez FJ, Folpe AL, Giannini C, Perry A. Pathology of peripheral nerve sheath tumors: diagnostic overview and update on selected diagnostic problems. Acta Neuropathol. 2012;123:295-319. doi: 10.1007/s00401-012-0954-z
30. Kütahya H, Güleç A, Güzel Y, Kacira B, Toker S. Schwannoma of the median nerve at the wrist and palmar regions of the hand: a rare case report. Case Rep Orthop. 2013;2013:950106. doi:10.1155/2013/950106
31. Jiang S, Shen H, Lu H. Multiple schwannomas of the digital nerves and common palmar digital nerves: an unusual case report of multiple schwannomas in one hand. Medicine (Baltimore). 2019 Mar;98(10):e14605. doi:10.1097/MD.0000000000014605
32. Lee SJ, Yoon ST. Ultrasonographic and clinical characteristics of schwannoma of the hand. Clin Orthop Surg. 2017;9(1):91-95. doi:10.4055/cios.2017.9.1.91
33. Moran J, Kahan JB, Schneble CA, Lindskog D, Donohue K. Surgical excision of a giant schwannoma of the hand: a case report. JBJS Case Connect. 2021 Sep 17;11(3). doi:10.2106/JBJS.CC.21.00318
34. Muranen T, Grönholm M, Renkema GH, Carpén O. Cell cycle-dependent nucleocytoplasmic shuttling of the neurofibromatosis 2 tumour suppressor merlin. Oncogene. 2005;24(7):1150-1158. doi:10.1038/sj.onc.1208283
35. Hilton DA, Hanemann CO. Schwannomas and their pathogenesis. Brain Pathol. 2014;24(3):205-220. doi:10.1111/bpa.12125
36. Talacchi A, Giorgiutti F, Andrioli M, Turazzi S, Bricolo A. Intracranial coexistence of neurinoma with epidermoid cyst or cholesterol granuloma. Report of 2 cases. J Neurosurg Sci. 1997;41(2):179-188.
37. Kneitz H, Weyandt G, Meissner C, Gebhart E, Bröcker EB. Dermal schwannoma (neurilemmoma): a peculiar foreign body reaction? Am J Dermatopathol. 2010;32(4):367-369. doi:10.1097/DAD.0b013e3181bb1972


