Medical Tourism in Plastic Surgery: A Case Series of Complications
Abstract
Background. Medical tourism in plastic surgery has grown exponentially over the last decade. The rise in the number of cases is multifactorial but is mostly driven by reduced cost. While this may seem attractive to patients, it is not without risk. Even under the best circumstances, complications can arise, and patients may be put at increased risk of atypical infections due to different sterilization standards. Lack of customary follow-up and accessibility can lead to delays in diagnosing infections and cause patients to seek care locally. We present our experience in managing atypical infections resulting from cosmetic surgery tourism in a tertiary care system.
Methods. We report a case series of 3 patients who underwent cosmetic procedures abroad who presented to our institutions with postoperative complications and infections.
Results. Our cohort consist of 3 female patients ranging from 26 to 48 years of age who had cosmetic surgery abroad. All 3 presented with nontuberculous mycobacteria (NTM) infections.
Conclusions. Cosmetic surgery tourism is luring patients with advertised all-inclusive surgery and vacation packages at reduced cost. This attracts vulnerable patients and puts them at risk of devastating long-term physical and financial sequalae. NTM infections should be considered early in this population, especially when they are not responding to other therapies. More widespread information about the consequences of traveling for medical procedures is needed to help inform and empower patients to make educated decisions when choosing where to seek care.
Introduction
Medical tourism, the practice of patients traveling to other countries to seek medical care, has been exponentially growing in the past decade and is a multibillion-dollar industry.1 It has been reported in many surgical fields, including cardiac surgery, neurosurgery, orthopedic surgery, dental procedures, fertility treatment, and organ transplantation; however, plastic/cosmetic surgery procedures are the most sought after.2 The most common procedures performed are liposuction, facelift, eyelid surgery, rhinoplasty, and abdominoplasty.3
It is important to understand why patients would seek medical care outside their country. Many reasons have been reported, including cost, culture, or a barrier to getting the procedure, such as unavailability or denial.4 All these factors, along with marketing and social media, have contributed to the increase in medical tourism.
A major issue often overlooked by patients and minimized by providers abroad is the management of potential complications. Even under the best circumstances, complications may arise after these procedures. In addition to routine causes of complications, additional risk factors are associated with medical tourism, such as language barriers, lack of postoperative care, and travel-related complications.3 Some of these can be handled remotely, but more serious complications like atypical infections and complicated wound healing can often result in patients presenting to local providers for care. The most common complications reported in the United States following cosmetic medical tourism are infections followed by wound dehiscence, granulomatous complaints, seromas, and thromboembolic events.5 Recent studies have reported higher complication rates in procedures that were performed abroad; however, it is difficult to definitively make this assertion without knowing how many procedures are being performed.4
What is certain is that the complication profile presenting to providers from medical tourism can be different from what is locally observed, and it is incumbent on us to share our individual experiences to better care for this population. Therefore, we report the cases of 3 patients who underwent cosmetic procedures abroad. All 3 patients developed nontuberculous mycobacteria (NTM) infections, and 2 patients had a prolonged recurrent course of infection.
Case Descriptions
Case 1
A 41-year-old woman with no significant medical history presented to a US hospital with progressively worsening back and flank pain 3 months after undergoing mastopexy and liposuction of the abdomen, flanks, and thighs in Colombia. She was transferred to our institution where she was found to have localized areas of pain, erythema, swelling, and hyperpigmentation in the areas of her prior liposuction (Figure 1). A treatment course of ciprofloxacin and doxycycline did not resolve her symptoms. Subsequently, computed tomography (CT) of the chest and abdomen showed skin thickening of both breasts, trace fluid in the subglandular space, and subcutaneous collections along the flanks bilaterally. She underwent irrigation and debridement (I&D) of her breasts and bilateral flank wounds. Wound cultures grew Mycobacterium abscessus, and she was discharged on imipenem, azithromycin, and tigecycline; this regimen was changed to omadacycline, clofazimine, and amikacin based on susceptibility studies showing resistance to all other antibiotics. Over the next year, she remained under the care of an infectious disease specialist and continued antibiotic therapy due to multiple recurrent, painful abscesses involving not only the liposuction treatment areas but also new locations, such as the anterior abdomen (Figure 2A). Figures 2 and 3 show common locations of where these abscesses recurred, requiring serial I&D in clinic. Due to the patient developing tinnitus from amikacin and nausea from tigecycline (despite taking ondansetron) and continued recurrence of localized infections, her infectious disease specialist recommended direct excision of all the involved tissue. Secondary versus delayed primary closure was employed due to the extremely limited antibiotic choices. The patient is currently awaiting this phase of her treatment.
Case 2
A 26-year-old woman with no significant medical history underwent a gluteal fat transfer (known colloquially as a Brazilian butt lift) and breast augmentation in the Dominican Republic. Approximately 5 days postoperatively, she began to feel ill but was unable to reach her surgeon. She returned to the United States with worsening symptoms. On initial presentation to the hospital, she was diagnosed with a hematoma and cellulitis. She reported to the outside hospital 5 times, including 2 admissions for intravenous antibiotics. All cultures performed in the outside hospital showed no growth.
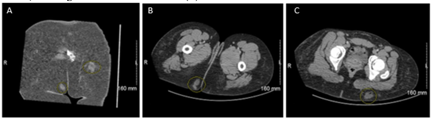
On presentation to our institution 3 months after her initial surgery, the patient had complaints of immense pain and tenderness of the left buttock with firm underlying induration without any open wounds. She was started on vancomycin and metronidazole (Figure 4). Ultrasound of the breast and buttocks did not show fluid collection. Chest X-ray and computed tomography (CT) of the chest, abdomen, and pelvis did not reveal any acute disease. NTM infections were of concern given her recent overseas surgery. After 4 days of broad-spectrum antibiotics, the underlying induration coalesced into a drainable fluid collection. Aspiration of this revealed purulent fluid that grew Mycobacterium fortuitum. Moxifloxacin and imipenem were begun, and she ultimately required formal I&D that revealed significant underlying fat necrosis (Figure 5). The wound was treated with negative pressure wound therapy with multiple subsequent I&Ds. Three months later, she returned to the emergency department with left buttock pain, and a CT scan showed new fluid collections (Figure 6). Doxycycline and trimethoprim-sulfamethoxazole (TMP-SMX) were started based on Mycobacterium fortuitum susceptibility studies. She underwent 2 additional I&D procedures of the bilateral buttocks until the wounds were closed a week later. She was ultimately discharged on doxycycline and TMP-SMX and has not had any further recurrence (Figure 7).
Case 3
A 48-year-old woman with hypertension who underwent bilateral breast augmentation in the United States 5 years ago presented to our emergency department after undergoing a downsizing revision of her breasts with bilateral submuscular implant exchange in Colombia. During the same trip and under the same anesthetic event, she also had an abdominoplasty with liposuction and bilateral short scar brachioplasties. Upon returning to the United States, she started noticing swelling of her right breast 10 days after her surgery and subsequently developed drainage from a right breast wound along the scar in her inframammary fold. A month later, she started to notice dark tissue forming at the site of the drainage. She spoke to her doctor in Colombia who instructed her to place surgical tape over the dark spot to help close the wound; however, the wound continued to enlarge, and she presented to us for evaluation (Figure 8).
Cefepime and vancomycin were started, and she was taken to surgery the following day for I&D of the right breast and bilateral breast implant removal with primary closure. Wound cultures were taken intraoperatively (Figure 9). On postoperative day 1 she was stable, and she did not show any signs of systemic infection. She was discharged on amoxicillin-clavulanate. Cultures from the wound grew Mycobacterium abscessus. She subsequently followed up with an infectious disease specialist, to whom she reported no signs or symptoms of infection. Her specialist did not place her on further antibiotics. During her follow-up with us, she expressed interest in replacing her implants. However, we elected to wait 1 year before replacing her implants to ensure that the mycobacterium infection had resolved. A year later, we were able to replace her implants; she was given only cefazolin intraoperatively, and she recovered appropriately without any complications or postoperative antibiotics (Figure 10).
Discussion
The practice of medical tourism, described as traveling to a foreign country for medical care, has become increasingly common over the last decade, particularly in individuals seeking cosmetic surgical treatment.6 Cost is a major consideration for patients when making these decisions, as abdominoplasties can cost $7000 to $15,000 in the United States versus $4100 to $6200 (in US dollars) in the Dominican Republic.7 However, patients often fail to consider the potential for unforeseen additional costs and risks due to a lack of follow-up care, inadequate malpractice protection, and potential surgical complications, such as wound dehiscence and postoperative infections.8
Cosmetic tourism patients presenting to our institution have been diagnosed with a wide range of bacterial and fungal infections. Of these, NTM is particularly important due to its drug-resistant nature and need for long-term antibiotic therapy. These infections are important to consider early in this vulnerable population, especially when there is not significant improvement on standard therapy, because they are known to produce skin and soft tissue disease. 9, 10 Treatment should be based on in vitro susceptibilities, which can reduce the probability of prolonged infection. And as our findings illustrate, surgical debridement is often necessary to adequately treat these patients.
Medical tourism companies market “sun and surgery” packages and arrange care at international hospitals in the Dominican Republic, Costa Rica, India, Mexico, Singapore, Thailand, and other destination nations.11 While these packages may seem enticing to patients because they simplify some of the logistical tasks of traveling like booking hotels, flights, and ground travel, they create a false sense of security. This may also lead to patients looking for the best travel package deals rather than doing their research for a surgeon they trust to be skillful and safe. This oversight can lead to poor outcomes. Traveling can also give patients the perception that they are on vacation, which may contribute to risky behavior following these procedures, such as drinking alcohol, going in the sun, or submerging into water. Traveling adds additional complications related to perioperative traveling, including the increased risk of thromboembolism from flying.12

While guidelines have been set to aid plastic surgeons in reducing postsurgical risks, such as initiating prophylactic antibiotics and long-term postoperative monitoring of high-risk patients (ie, those with a body mass index >30 kg/m2 or who smoke cigarettes), physicians performing procedures on traveling patients are limited in their ability to follow up effectively as these patients tend to spend little time in the country after surgery.13 Considering that most patients who travel out of the country for these procedures are looking to save money, they may look to cut costs even more by having multiple procedures performed at once to make the most of their trip. This trend was seen in our patients, as all 3 patients underwent simultaneous procedures (Table). Long operation times as a result of multiple procedures performed under the same anesthetic event have also been reported to increase the risk of postoperative complications, with operations lasting over 6 hours being particularly risky.13 While many accredited facilities in the United States may refuse to perform such a large number of surgeries on the same patient in a short time span, other countries may not follow the same protocol.11
In the United States, insurance does not cover care for complications that arise after an elective procedure, such as cosmetic surgery, regardless of whether the procedure occurred in or outside the United States. Therefore, patients trying to save on procedural costs may delay seeking care for any complications that may present. In addition, patients can feel abandoned when experiencing postoperative complications, as some surgeons suggest for patients to seek follow-up care in their home country if complications were to occur and provide little to no postoperative care instructions.12 This leads to additional risks and costs to the patient, the physician, and the institution they return to for emergency care. Fully informed consent is unlikely when patients do not meet their surgeon before paying and traveling for surgery, and there is no safety net for complications that arise after the patient returns to the United States.8
While much of medical tourism is described as patients traveling abroad for care, this phenomenon is not limited to foreign travel. The most popular domestic travel for cosmetic surgery in the United States is to Miami in search of cheaper surgeries, and patients have been left with poor outcomes.14 More widespread information about the consequences to traveling for medical procedures is needed to help inform and empower patients to make educated decisions when choosing where to seek care. In addition to the existing patient information available online, more efforts could be made by the US Department of Health or American Medical Association to increase public awareness of the depth of this issue through posters and strong messages in public areas. It is important for physicians to continue to publish their experiences with patients who have experienced complications from cosmetic tourism.
Medical tourism is an ever-growing industry, and plastic surgeons (especially those working in tertiary health care centers) will inevitably encounter patients who have complications from such procedures. Treatment must be multidisciplinary, and our infectious disease colleagues must be involved in the care plan. Our experience also illustrates that operative debridement is often necessary to treat infections in these patients. NTM infections should remain on the differential even if initial cultures show no growth. We encourage other physicians to continue to educate patients and publish their case reports as the literature lacks data on the treatment of this population.
Acknowledgments
Affiliations: 1University of South Florida Health Morsani College of Medicine, Tampa, Florida; 2Florida State University College of Medicine, Tallahassee, Florida; 3Department of Plastic Surgery, University of South Florida, Tampa, Florida
Correspondence: Bilal Koussayer, BS; bkoussayer@usf.edu
Ethics: Informed consent was obtained from all individual participants included in the study.
Disclosures: The authors disclose no financial or other conflicts of interest.
References
1. Ross KM, Moscoso AV, Bayer LR, Rosselli-Risal L, Orgill DP. Plastic surgery complications from medical tourism treated in a U.S. academic medical center. Plast Reconstr Surg. 2018;141(4):517e-523e. doi:10.1097/PRS.0000000000004214
2. Gheorghe C-M, Purcărea VL, Gheorghe I-R. Medical tourism in ophthalmology - review. Rom J Ophthalmol. 2022;66(2):108-111. doi:10.22336/rjo.2022.22
3. Pereira RT, Malone CM, Flaherty GT. Aesthetic journeys: a review of cosmetic surgery tourism. J Travel Med. 2018;25(1):tay051. doi:10.1093/jtm/tay042
4. McCrossan S, Martin S, Hill C. Medical tourism in aesthetic breast surgery: a systematic review. Aesthetic Plast Surg. 2021;45(4):1895-1909. doi:10.1007/s00266-021-02251-1
5. McAuliffe PB, Muss TEL, Desai AA, Talwar AA, Broach RB, Fischer JP. Complications of aesthetic surgical tourism treated in the USA: a systematic review. Aesthetic Plast Surg. 2023 Feb;47(1):455-464. doi:10.1007/s00266-022-03041-z
6. Nassab R, Hamnett N, Nelson K, et al. Cosmetic tourism: public opinion and analysis of information and content available on the Internet. Aesthetic Surg J. 2010;30(3):465-469. doi:10.1177/1090820X10374104
7. Furuya EY, Paez A, Srinivasan A, et al. Outbreak of Mycobacterium abscessus wound infections among “lipotourists” from the United States who underwent abdominoplasty in the Dominican Republic. Clin Infect Dis. 2008;46(8):1181-1188. doi:10.1086/529191
8. Venditto C, Gallagher M, Hettinger P, et al. Complications of cosmetic surgery tourism: case series and cost analysis. Aesthetic Surg J. 2021;41(5):627-634. doi:10.1093/asj/sjaa092
9. De Groote MA, Huitt G. Infections due to rapidly growing mycobacteria. Clin Infect Dis. 2006;42(12):1756-1763. doi:10.1086/504381
10. Gonzalez-Santiago TM, Drage LA. Nontuberculous mycobacteria: skin and soft tissue infections. Dermatol Clin. 2015;33(3):563-577. doi:https://doi.org/10.1016/j.det.2015.03.017
11. Turner L. “Medical tourism” and the global marketplace in health services: U.S. patients, international hospitals, and the search for affordable health care. Int J Heal Serv. 2010;40(3):443-467. doi:10.2190/HS.40.3.d
12. Thacoor A, van den Bosch P, Akhavani MA. Surgical management of cosmetic surgery tourism-related complications: current trends and cost analysis study of the financial impact on the UK National Health Service (NHS). Aesthetic Surg J. 2019;39(7):786-791. doi:10.1093/asj/sjy338
13. Harrison B, Khansa I, Janis JE. Evidence-based strategies to reduce postoperative complications in plastic surgery. Plast Reconstr Surg. 2016;137(1):351-360. doi:10.1097/PRS.0000000000001882
14. Zapata-Sirvent RL, Duggan RP, Hamati J, Padilla PL, Lopez A, Phillips LG. Cosmetic surgery tourism: a single academic center’s experience during the COVID-19 pandemic. Plast Reconstr Surg – Glob Open. 2022;10(4S). doi:10.1097/01.GOX.0000828236.68643.78


