Intramedullary Free Gracilis for Dead-Space Obliteration and Stump Resurfacing in a Transfemoral Amputee With Recurrent Osteomyelitis
© 2023 HMP Global. All Rights Reserved.
Any views and opinions expressed are those of the author(s) and/or participants and do not necessarily reflect the views, policy, or position of ePlasty or HMP Global, their employees, and affiliates.
Abstract
Background. A 72-year-old man with a history of delayed presentation for severe right lower extremity burns underwent through-knee amputation complicated by periprosthetic distal femur osteomyelitis. Subsequent transfemoral amputation was complicated by Stage IVB Cierny-Mader osteomyelitis despite appropriate medical and surgical treatment.
Methods. Due to the presence of threatened proximal femur intramedullary nail from prior intertrochanteric femur fracture, inability to further shorten femur, and lack of local soft-tissue options, we performed soft tissue reconstruction with free gracilis flap. The free gracilis flap was pulled proximally through the femoral canal to obliterate intramedullary dead space and provide distal femoral stump coverage.
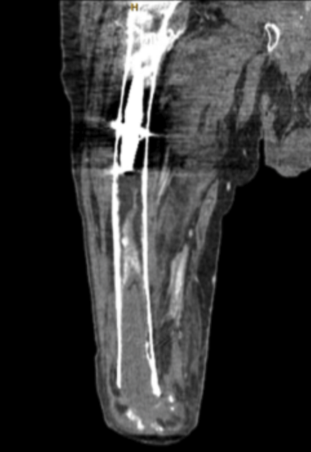
Results. The stump was fully healed upon 6-month follow-up with computerized tomography demonstrating continued presence of gracilis flap within the femoral canal and no evidence of osteomyelitis. At 1-year follow-up, the patient was ambulatory using a prosthetic without recurrence of osteomyelitis.
Conclusions. Previous descriptions of intramedullary free muscle flaps for the treatment of osteomyelitis are limited in number, with its function being limited to dead-space obliteration. This report presents intramedullary free gracilis flap to be a viable option in above-knee amputees for combined dead space obliteration and stump resurfacing in the context of recurrent osteomyelitis.
Introduction
An active 72-year-old male with a history of bilateral total knee arthroplasty presented to our institution with complex right lower extremity burn injury. One year prior, the patient had sustained severe circumferential burns to the right lower extremity, with treatment consisting only of silver sulfadiazine. Upon presentation to our institution the patient had 90-degree flexion contracture of right knee and grossly exposed bone of medial malleolus and anterior tibia with magnetic resonance imaging (MRI) suggestive of multifocal osteomyelitis. The patient opted for right through-knee amputation with preservation of femoral condylar hardware. Nine months later, the patient underwent above-knee amputation without definitive closure after presenting with erythema and draining abscess of through-knee amputation stump. Intraoperative cultures grew Morganella morganii, and the patient was started on a 6-week course of cefepime. The patient underwent 3 additional debridements with antibiotic bead placement by orthopedics and definitive closure with local tissue rearrangement by plastic surgery.
Four months later, the patient sustained an ipsilateral intertrochanteric fracture after a mechanical fall; this was treated with intramedullary nailing. Several weeks following hip surgery, the patient re-presented with complaints of pain and swelling of the distal above-knee amputation stump. MRI was suggestive of intraosseous abscess distally and marrow signal enhancement at the distal aspect of the intramedullary nail concerning for IVB Cierny-Mader osteomyelitis. The patient underwent debridement of the distal femur and exchange of intramedullary antibiotic beads. Intraoperative cultures grew Propionibacterium acnes. Plastics was reconsulted for soft tissue coverage.
Methods
This patient had recurrent IVB Cierny-Mader osteomyelitis that had failed standard of care treatment with surgical debridement, soft tissue coverage, intramedullary antibiotic bead placement, and appropriate systemic antibiotic therapy. The patient’s only significant comorbidities were his age, mild osteopenia, and history of right lower extremity burns with delayed presentation. As the patient was motivated to continue his active lifestyle with prosthesis, the presence of proximal femur intramedullary hardware was concerning because progression of infection to this hardware could result in loss of ambulation, girdlestone procedure, or hip disarticulation. Additionally, the patient’s femur had already been shortened by 10 cm from an intact length of 42 cm; further shortening of the femur for debridement and soft tissue coverage could result in uncertain prosthetic options. Local muscle flap and tissue rearrangements were challenging at this point due to the multiple surgeries and burn scars.
The patient underwent free gracilis muscle flap intramedullary canal dead space obliteration and stump coverage (Figure 1). The intramedullary canal had been thoroughly reamed in prior debridement and antibiotic bead placements. The ipsilateral gracilis muscle was small and atrophic from distal disinsertion at initial amputation. Thus, as the contralateral gracilis approximated the femoral defect, making it a suitable option for dead-space obliteration, it was harvested as a free muscle-only flap in the usual fashion. A cuff of the deep femoral artery and vein was taken to manage the size mismatch between the stump of the femoral artery and the donor vessel; this facilitated a functional end-to-end anastomosis. The deep femoral artery was not reconstructed following harvest and the donor was closed primarily over a drain. To preserve blood supply to the distal stump, an end-to-end patch hand-sewn anastomosis with stump superficial femoral artery and vein was performed. Two 3.5-mm drill holes were made by orthopedics in the proximolateral femur, and a prolene suture anchor was passed down the canal anterograde with a pediatric feeding tube. The suture and muscle flap lengths were noted prior to inserting the free gracilis in the medullary canal in order to approximate complete obliteration of femoral dead space. The suture was secured to the tendinous portion of the distal gracilis; the flap was then pulled retrograde into the femoral canal with minimal resistance and secured to the drill holes proximally without excessive tension (Figure 1). The ease of passage into the canal along with the avoidance of excess tension suggested minimal risk of flap vascular compromise from compression. The gracilis flap covered the distal aspect of the transfemoral amputation and obliterated the dead-space within the intramedullary canal (Figure 2). A wound vac was applied, as primary closure was not possible due to tissue edema. Anticipating future prosthesis at the stump and atrophy of the gracilis, this stump was allowed to close with continued vac therapy rather than skin grafting.
Results
The patient completed an additional course of long-term antibiotic therapy with cefepime. Six months after the procedure, the patient’s stump was fully healed with no symptoms of osteomyelitis. The donor site healed fully without complication. The patient was subsequently fitted for a prosthesis and resumed ambulation after a short course of rehabilitation. CT at this time demonstrated continued presence of the gracilis within the femoral canal and no evidence of osteomyelitis (Figure 2). One year postoperatively, the patient remains ambulatory without recurrence of osteomyelitis.
Discussion
An estimated 600,000 people in the United States live with major loss of a lower limb.1 Osteomyelitis following transfemoral amputation poses a costly and challenging interdisciplinary problem in this population.2 Standard treatment for osteomyelitis consists of surgical debridement, prolonged antibiotic therapy, removal of involved hardware if present, and soft tissue coverage.3,4 Free muscle or fasciocutaneous flaps have been used as adjuncts for soft tissue coverage and dead-space obliteration for decades.5 Several studies have compared the efficacy of muscle versus fasciocutaneous free flaps for the treatment of osteomyelitis. Muscle flaps were presumed to be superior given their high capillary density, attendant antibiotic-carrying capacity, and ability to obliterate dead-space.6-8 While it remains controversial, multiple studies have demonstrated fasciocutaneous flaps to be similarly effective as muscle flaps for the treatment of osteomyelitis.5,9-12 In this case, a gracilis free muscle flap was appropriate given the operative goal of obliterating significant dead-space with vascularized tissue of a long, tubular structure.
Antibiotic-impregnated beads are routinely used by orthopedic surgeons for dead-space obliteration and local delivery of antibiotics to infected diaphyseal bone. With bacteria present as a biofilm, treatments are often unsafe systemically, as the microbial matrix of biofilms typically requires 10 to 100 times the standard concentration of antibiotics for effective bactericidal effect.13,14 Polymethylmethacrylate beads mixed with gentamicin, vancomycin, or other antibiotics are typically fashioned on a nonabsorbable suture and placed into diaphyseal bone. These beads are typically replaced at the next debridement or removed at the time of definitive reconstruction.15
Further shortening of the femur in this patient would likely render ambulation with a prosthesis exceedingly difficult. A gait analysis study by Bell et al demonstrated that reduced residual femur length correlated with decreased ambulation velocity, increased trunk excursion, and increased pelvic motion.16 For these reasons, maintaining at least 57% of intact femur length is advised in the orthopedic literature.17
Use of free flaps for stump resurfacing has been described previously in the literature. While latissimus dorsi, anterolateral thigh, and gracilis flaps are most commonly cited for transtibial and transfemoral stump resurfacing, no single flap has been proven to be superior.18-21 Although multiple surgeries are often needed for stump resurfacing and salvage, continued ability to ambulate with a prosthesis can be achieved.18,22
Multiple prior cases of successful intramedullary free bone transfer are described for humoral, femoral, and tibial reconstruction with or without bone graft in adult and pediatric populations with oncologic defects.23-26 There are also interesting cases introducing pedicled muscle flaps via cortical window into femoral head or calcaneus to augment vascular supply for vascular necrosis or infection management.27,28
Many studies have examined saucerized bony defect dead-space obliteration with muscle flaps.5,9,15,29,30 In this literature review, just 1 study was found with a clear description of extensive advancement of free muscle flap into the medullary canal for the treatment of osteomyelitis.31 Lê Thua et al reported a series of 29 patients with chronic osteomyelitis treated with free muscle flaps. They describe how in 26 patients with femoral or tibial osteomyelitis, they created a cortical window, reamed the canal, and obtained cultures for targeted antibiotherapy. With negative culture results on repeat debridement, they filled the medullary dead-space with free gracilis, latissimus, or rectus muscle. In their follow-up period of at least 1 year, they reported only one osteomyelitis recurrence out of 29 patients. Intramedullary free muscle flap is a viable salvage procedure to achieve dead space obliteration, maintain residual limb length, and provide stump resurfacing in amputees with complex stump osteomyelitis.
Acknowledgments
Affiliations: 1Division of Plastic and Reconstructive Surgery, Department of Surgery, Loyola University Medical Center, Maywood, Illinois; 2University of Illinois College of Medicine, Chicago, Illinois; 3Department of Orthopedic Surgery, Loyola University Medical Center, Maywood, Illinois.
Correspondence: Darl K Vandevender, MD; dvandev@lumc.edu.
Disclosures: The authors disclose no relevant conflict of interest or financial disclosures for this manuscript.
References
1. Ziegler-Graham K, MacKenzie EJ, Ephraim PL, Travison TG, Brookmeyer R. Estimating the prevalence of limb loss in the United States: 2005 to 2050. Arch Phys Med Rehabil. 2008;89(3):422-429. doi:10.1016/j.apmr.2007.11.005
2. Harris AM, Althausen PL, Kellam J, Bosse MJ, Castillo R; Lower Extremity Assessment Project (LEAP) Study Group. Complications following limb-threatening lower extremity trauma. J Orthop Trauma. 2009;23(1):1-6. doi:10.1097/BOT.0b013e31818e43dd
3. Rao N, Ziran BH, Lipsky BA. Treating osteomyelitis: antibiotics and surgery: Plast Reconstr Surg. 2011;127:177S-187S. doi:10.1097/PRS.0b013e3182001f0f
4. Cierny G 3rd. Surgical treatment of osteomyelitis. Plast Reconstr Surg. 2011;127 Suppl 1:190S-204S. doi:10.1097/PRS.0b013e3182025070
5. Salgado CJ, Mardini S, Jamali AA, Ortiz J, Gonzales R, Chen HC. Muscle versus nonmuscle flaps in the reconstruction of chronic osteomyelitis defects. Plast Reconstr Surg. 2006;118(6):1401-1411. doi:10.1097/01.prs.0000239579.37760.92
6. Russell RC, Graham DR, Feller AM, Zook EG, Mathur A. Experimental evaluation of the antibiotic carrying capacity of a muscle flap into a fibrotic cavity. Plast Reconstr Surg. 1988;81(2):162-170. doi:10.1097/00006534-198802000-00003
7. Richards RR, Orsini EC, Mahoney JL, Verschuren R. The influence of muscle flap coverage on the repair of devascularized tibial cortex: an experimental investigation in the dog. Plast Reconstr Surg. 1987;79(6):946-958. doi:10.1097/00006534-198706000-00016
8. Gosain A, Chang N, Mathes S, Hunt TK, Vasconez L. A study of the relationship between blood flow and bacterial inoculation in musculocutaneous and fasciocutaneous flaps. Plast Reconstr Surg. 1990;86(6):1152-1163.
9. Hong JP, Shin HW, Kim JJ, Wei FC, Chung YK. The use of anterolateral thigh perforator flaps in chronic osteomyelitis of the lower extremity. Plast Reconstr Surg. 2005;115(1):142-147.
10. Zweifel-Schlatter M, Haug M, Schaefer DJ, Wolfinger E, Ochsner P, Pierer G. Free fasciocutaneous flaps in the treatment of chronic osteomyelitis of the tibia: a retrospective study. J Reconstr Microsurg. 2006;22(1):41-47. doi:10.1055/s-2006-931906
11. Yazar S, Lin CH, Lin YT, Ulusal AE, Wei FC. Outcome comparison between free muscle and free fasciocutaneous flaps for reconstruction of distal third and ankle traumatic open tibial fractures. Plast Reconstr Surg. 2006;117(7):2468-2477. doi:10.1097/01.prs.0000224304.56885.c2
12. Hong JPJ, Goh TLH, Choi DH, Kim JJ, Suh HS. The efficacy of perforator flaps in the treatment of chronic osteomyelitis. Plast Reconstr Surg. 2017;140(1):179-188. doi:10.1097/PRS.0000000000003460
13. Gogia JS, Meehan JP, Di Cesare PE, Jamali AA. Local antibiotic therapy in osteomyelitis. Semin Plast Surg. 2009;23(2):100-107. doi:10.1055/s-0029-1214162
14. Masters EA, Trombetta RP, de Mesy Bentley KL, et al. Evolving concepts in bone infection: redefining "biofilm", "acute vs. chronic osteomyelitis", "the immune proteome" and "local antibiotic therapy". Bone Res. 2019;7:20. Published 2019 Jul 15. doi:10.1038/s41413-019-0061-z
15. Lazzarini L, Mader JT, Calhoun JH. Osteomyelitis in long bones. J Bone Joint Surg Am. 2004;86(10):2305-2318. doi:10.2106/00004623-200410000-00028
16. Bell JC, Wolf EJ, Schnall BL, Tis JE, Tis LL, Potter BK. Transfemoral amputations: the effect of residual limb length and orientation on gait analysis outcome measures. J Bone Joint Surg Am. 2013;95(5):408-414. doi:10.2106/JBJS.K.01446
17. Baum BS, Schnall BL, Tis JE, Lipton JS. Correlation of residual limb length and gait parameters in amputees. Injury. 2008;39(7):728-733. doi:10.1016/j.injury.2007.11.021
18. Piper ML, Amara D, Zafar SN, Lee C, Sbitany H, Hansen SL. Free tissue transfer optimizes stump length and functionality following high-energy trauma. J Reconstr Microsurg Open. 2019;4(2):e96-e101. doi:10.1055/s-0039-3399573
19. Hallock GG. Preservation of lower extremity amputation length using muscle perforator free flaps. J Plast Reconstr Aesthet Surg. 2008;61(6):643-647. doi:10.1016/j.bjps.2007.12.007
20. Sadhotra LP, Singh M, Singh SK. Resurfacing of amputation stumps using free tissue transfer. Med J Armed Forces India. 2004;60(2):191-193. doi:10.1016/S0377-1237(04)80121-7
21. Yildirim S, Calikapan GT, Akoz T. Reliable option for reconstruction of amputation stumps: the free anterolateral thigh flap. Microsurgery. 2006;26(5):386-390. doi:10.1002/micr.20256
22. Tukiainen EJ, Saray A, Kuokkanen HO, Asko-Seljavaara SL. Salvage of major amputation stumps of the lower extremity with latissimus dorsi free flaps. Scand J Plast Reconstr Surg Hand Surg. 2002;36(2):85-90. doi:10.1080/028443102753575220
23. Beris AE, Lykissas MG, Korompilias AV, et al. Vascularized fibula transfer for lower limb reconstruction. Microsurgery. 2011;31(3):205-211. doi:10.1002/micr.20841
24. Chang DW, Weber KL. Use of a vascularized fibula bone flap and intercalary allograft for diaphyseal reconstruction after resection of primary extremity bone sarcomas. Plast Reconstr Surg. 2005;116(7):1918-1925. doi:10.1097/01.prs.0000189203.38204.d5
25. Innocenti M, Abed YY, Beltrami G, Delcroix L, Manfrini M, Capanna R. Biological reconstruction after resection of bone tumors of the proximal tibia using allograft shell and intramedullary free vascularized fibular graft: long-term results. Microsurgery. 2009;29(5):361-372. doi:10.1002/micr.20668
26. Li J, Wang Z, Pei GX, Guo Z. Biological reconstruction using massive bone allograft with intramedullary vascularized fibular flap after intercalary resection of humeral malignancy. J Surg Oncol. 2011;104(3):244-249. doi:10.1002/jso.21922
27. Vaishya R, Agarwal AK, Gupta N, Vijay V. Sartorius muscle pedicle iliac bone graft for the treatment of avascular necrosis of femur head. J Hip Preserv Surg. 2016;3(3):215-222. Published 2016 Apr 25. doi:10.1093/jhps/hnw012
28. Çelik M, Buyukcayir I, Ersu G, Kesim SN. Management of chronic calcaneal osteomyelitis with pull-through abductor hallucis muscle flap -a report of three cases. Eur J Plast Surg. 1997;20(4):214-216. doi:10.1007/BF01152197
29. Kawakatsu M, Ishikawa K, Sumiya A. Free latissimus dorsi musclocutaneous flap transfer for chronic osteomyelitis of the tibia: 16-year follow-up. J Plast Reconstr Aesthet Surg. 2010;63(9):e691-e694. doi:10.1016/j.bjps.2010.04.001
30. Smith IM, Austin OM, Batchelor AG. The treatment of chronic osteomyelitis: a 10 year audit. J Plast Reconstr Aesthet Surg. 2006;59(1):11-15. doi:10.1016/j.bjps.2005.07.002
31. Lê Thua TH, Boeckx WD, Zirak C, De Mey A. Free intra-osseous muscle transfer for treatment of chronic osteomyelitis. J Plast Surg Hand Surg. 2015;49(5):306-310. doi:10.3109/2000656X.2015.1049952


