Infantile Hemangioma Mimics Dermatofibrosarcoma Protuberans
© 2024 HMP Global. All Rights Reserved.
Any views and opinions expressed are those of the author(s) and/or participants and do not necessarily reflect the views, policy, or position of ePlasty or HMP Global, their employees, and affiliates.
Abstract
Infantile hemangiomas are commonly encountered at all levels of medical practice. Clinicians should be aware of their typical clinical history and findings in order to expedite early diagnosis and management. It is also necessary to be aware of differential diagnoses that may mimic infantile hemangiomas but have a more concerning prognosis. The objective of this report is to describe the clinical case of one such mimic, dermatofibrosarcoma protuberans. This report highlights key clinical findings of infantile hemangiomas, while also identifying "red flags" that necessitate urgent additional investigations and referral to a multidisciplinary team. Additionally, key features in the management of both infantile hemangiomas and extremity masses are discussed.
Introduction
Infantile hemangiomas (IHs) are the most common benign vascular tumors of infancy.1 These benign tumors can have significant functional and cosmetic morbidity. Early assessment and diagnosis are necessary to rule out more threatening pathologies and syndromes and to initiate early treatment. Clinical history, physical examination, and imaging permit diagnosis in the majority of cases.
Despite the typical clinical history, diagnosis can be difficult as many pathological entities may mimic IHs clinically. Differential diagnoses include vascular malformations, other vascular tumors (benign/malignant), nonvascular tumors, and developmental anomalies.1 The list is vast and comprises many rare conditions; however, it is important for clinicians to identify atypical lesions that need additional evaluation, ideally in a multidisciplinary setting.
One possible "mimic" of IHs is dermatofibrosarcoma protuberans (DFSP), which is the most common dermal sarcoma. DFSPs are mostly diagnosed in adults and do not typically have similar history or examination findings as IH. Despite this, DFSP can be diagnosed in infants and children, and therefore can be a differential diagnosis for an IH.
Case Presentation
A 12-month-old male presented to their general pediatrician with a right upper arm mass that was first noticed at 6 months of age and rapidly grew throughout the next 6 months, stabilizing at 1 year of age (Figure 1A). An ultrasound was performed that reported a subcutaneous mass, likely an infantile hemangioma. A working diagnosis of a hemangioma was made and beta blocker therapy was suggested.

Figure 1. (A, B) Intraoperative pictures showing large mass in medial aspect of right upper arm with minimal skin discoloration. (C) Surgical specimen showing well-circumscribed subcutaneous mass.
The family electively presented to a multidisciplinary vascular anomalies clinic for a second opinion and requested to confirm the diagnosis with a biopsy. At this time, clinical examination showed a 5 × 4-cm soft mass within the subcutaneous tissue that extended from the medial shoulder to distal upper arm within the bicipital groove. There was minimal skin discoloration, the mass was nonpulsatile and nontender, and there were no functional deficits (Figure 1B). An ultrasound was repeated that showed a well-circumscribed mass in the anterior compartment of the right upper arm with a predominantly hypoechoic signature and internal echogenic striations (Figure 2A). Doppler ultrasound demonstrated arterial waveforms within the mass (Figure 2B). A core biopsy was performed by interventional radiology, which demonstrated giant cell fibroblastoma (GCF) morphology. Subsequent magnetic resonance imaging (MRI) showed a 7.8 × 4.6 × 5.3-cm well-circumscribed subcutaneous mass with myxoid nodular and interstitial fibrous elements (Figure 3A). The mass showed variable enhancement (Figure 3B and 3C) and was above the neurovascular structures and muscle fascia (Figure 3C).

Figure 2. Ultrasound images. (A) Gray scale ultrasound demonstrates circumscribed mass in the anterior compartment of the right upper arm with a predominantly hypoechoic signature and internal echogenic striations. (B) Doppler ultrasound demonstrates arterial waveforms within mass.

Figure 3. MRI images. (A-C) Axial MR images of the right arm mass show the complex myxoid nodular and interstitial fibrous elements of the tumor. The mass is well encapsulated in the subcutaneous space of the anterior compartment with nearly uniform hypointense signal on T1WI and subtle areas of higher signal (A). The tumor displays variable enhancement demonstrated in both its interstitial and nodular architecture. The nodular myxoid nature is also reflected uniformly as bright T2 signal (C). Importantly, no invasion into the neurovascular bundle or muscular compartments is noted.
The mass was excised en-bloc and found to be well-circumscribed and not involving the muscle fascia (Figures 1C and 4). The surgery was uncomplicated. Pathology diagnosed mixed DFSP (Figure 5B) and GCF (Figure 5C) with no evidence of high-grade fibrosarcoma transformation. The tumor extended to the dermal, subcutaneous, and deep margins.

Figure 4. Pathology gross picture. Cut surface (skin upper) showing myxoid, and fleshy, fibrous lobulated and nodular circumscribed tumor in dermis and subcutaneous tissues.

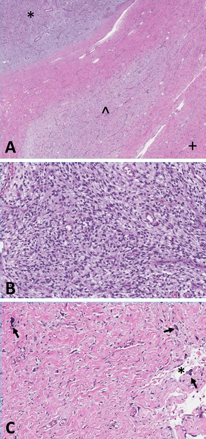
Figure 5. Histological hematoxylin and eosin (H&E) photomicrographs of sample. (A) Focus of dermatofibrosarcoma protuberans (DFSP) in upper left corner (*), and collagenized giant cell fibroblastoma (GCF) in lower right corner (+) with intermixed transitional myxoid component (^) (magnification = 25×). (B) DFSP area: vascularized fibroblastic tumor within DFSP spectrum showing dense cellular area with collagenous stroma. No high grade fibrosarcomatous appearance (magnification = 200×). (C) GCF area: pauci-cellular collagenized lesion with focal pleomorphic "giant" cells (arrows) and cleft-like spaces (*) (magnification = 100×).
The case was presented at a multidisciplinary tumor board, where team members agreed that repeat surgery was not feasible at that time due to the child's small size and the proximity of the resection bed to important functional and neurovascular structures. Additionally, it was agreed that the primary concern is local recurrence, as metastasis is rare. The plan discussed was close surveillance for local recurrence, including MRI 3 months post-resection, then repeat imaging (MRI) and clinical examination biannually throughout childhood (until 18 years of age). Earlier evaluations will be performed if parents notice signs of reoccurrence. Adjuvant treatment would be considered in the case of recurrence.
Subsequent follow-up MRI performed at 3 and 9 months post-resection revealed normal post-surgical findings with no signs of local reoccurrence. Subsequent clinical examinations also performed at 3 and 9 months post-resection also showed no signs of reoccurrence or functional deficits.
Discussion
The diagnosis of IH is usually apparent from its typical clinical history. As seen in this case, other pathologies may mimic IH by presenting with similar history and examination findings. Therefore, it is relevant to have a thorough understanding of the typical clinical findings, which will allow for both an early diagnosis of IH as well as ruling out other more sinister pathologies.
The natural history of IH involves two distinct phases: proliferation then involution. IH may be clinically absent at birth; however, patients may be born with precursor lesions.1,2 For those born without lesions, most lesions will appear during the first month of life and then undergo a period of rapid proliferation during the first 3 to 5 months. They may continue to grow for up to a year or longer.1,2 Growth typically plateaus by 9 to 12 months of age followed by a prolonged involution phase that lasts 3 to 9 years. In general, deeper lesions have a slightly later onset and a prolonged duration of growth. Any tumor initially presenting after the first 3 to 4 months of age, such as the tumor presented in this case, must be presumed not to be an IH and should be further evaluated.3 IHs may initially present at birth as small, flat erythematous macules. As lesions proliferate, they become increasingly bulky and classified as superficial (cutaneous), deep (subcutaneous), or mixed.2 Superficial lesions (superficial dermis) present as bright cherry-red, soft, finely lobulated plaques while deep lesions (deep dermis/subcutaneous) are skin-colored/blue.1 Deep lesions are easier to misdiagnose due the lack of skin changes commonly expected with vascular lesions. As seen in this case, these lesions often demand greater caution and can warrant earlier imaging.
Due to the commonality and benign nature of IHs, they are often first seen, diagnosed, and managed by primary care physicians (PCPs). In cases of a confirmed diagnosis, it is safe and reasonable to be managed with observation and/or beta-blocker therapy. Referral to a vascular anomalies team should be made when there is diagnostic uncertainty or high-risk features (possible vascular syndrome, ulceration/bleeding, significant cosmetic/functional impact).2 An IH referral score tool has been developed and validated to aid PCPs in decision-making.4 Additionally, there are published management guidelines.5
A vascular anomalies team involving radiologists, surgeons, pathologists, and hematologist-oncologists allows for efficient diagnosis and management. Collaboration can increase diagnostic confidence.6 The majority of IHs are diagnosed clinically, but a few cases necessitate imaging ± biopsy. Imaging, most commonly an ultrasound, may be needed to aid diagnosis; classify and define the tumor's location (superficial vs deep); or to direct and evaluate treatment.1,6-8 There is no pathognomonic lesion to identify an IH.6,9 Rarely, computed tomography and MRI may be used to delineate anatomy and assess for other diagnoses.6 Image-guided biopsies are indicated in cases of diagnostic uncertainty and should be ordered early to prevent treatment delay.10 They can confirm and categorize IH by morphology and relevant ancillary pathologic studies.1,3
Once the diagnosis of an IH is confirmed, early therapy should be initiated during the proliferation phase (within the first 2-3 months) in order to maximize outcomes.2 The treatment plan is dependent on a discussion among the multidisciplinary team and the family in order to discuss the potential risks and benefits of each modality. First-line therapy typically offered is oral propranolol, which has been shown to be well tolerated and superior to other medical treatments (topical timolol, steroids, sirolimus), pulsed-dye laser, or surgery.2 Surgery is rarely indicated in cases where there is poor response to medical therapy, excessive ulceration/bleeding, functional impairment, or to improve cosmetic appearance in residual lesions after medical therapy has been maximized.2
There are countless mimics of IH. A complete list of differential diagnoses would be exhaustive. It is necessary for medical professionals to be aware of the different categories of lesions that may present as an IH, as each has varying levels of risk. These differentials can broadly be classified as either vascular or nonvascular.1 Vascular anomalies are most commonly misdiagnosed as IHs due to similar appearance, history, and imaging. Vascular malformations (VM) are composed of aberrant blood vessels with normal turnover rate and are often present at birth, grow proportionally with patients, and become more prominent with time.11 VM are classified based on the type of vessel (capillary, venous, lymphatic, arteriovenous malformations, and arteriovenous fistula) and the presence of a single type of malformation (simple) or combinations of malformations (combined). Further classification is based on involvement of major named vessels or association with other anomalies. Vascular tumors are caused by endothelial cell proliferation and demonstrate rapid growth.11 Benign vascular tumors include congenital hemangiomas, spindle cell hemangiomas, epithelioid hemangiomas, intramuscular hemangiomas, and pyogenic granulomas. Kaposiform hemangioendotheliomas and tufted angiomas are locally aggressive vascular tumors. Vascular tumors can also be malignant, as is the case for angiosarcomas and similar variants.2,3,11
Nonvascular lesions are less commonly clinically confused as IHs. As demonstrated in this case, some nonvascular lesions can be life-threatening and therefore require a high level of clinical suspicion to prevent missed or delayed diagnosis. The differential list can include benign growths/developmental anomalies or malignant soft tissue lesions such as GCF and dermatofibrosarcoma protuberans (DFSP).1,12 DFSP is the most common dermal sarcoma.13 GCFs are considered a juvenile form of DFSP.14 These lesions typically occur in middle-aged adults as slow-growing, blue-red plaques/nodules, but the rare congenital form can present within the first 5 years as nodular lesions and can be confused with IH.12,15 They exhibit slow growth beyond the first few months with no involution. They have a high rate of local recurrence but low metastatic potential.13 Ultrasound, MRI, and biopsies are often indicated to confirm the diagnosis.
As in the above case, when presented with an extremity soft tissue mass of unknown nature in the pediatric patient, a step-by-step management pathway is essential to affording appropriate and timely care for the patient. The most important step in treating extremity masses is to confirm the diagnosis. Clinical history, examination, and imaging features often do not lead to a specific diagnosis; therefore, a biopsy is often indicated. Once the diagnosis is confirmed, management is then tailored to the specific entity. Once again, management is best discussed and employed within a multidisciplinary setting. Imaging studies are paramount to assess the size/location/local invasion as well as disruption or proximity to important functional and neurovascular structures. These imaging findings need to be correlated with an examination of the extremity's function. Full evaluation also requires an assessment of the tumor stage and the presence of distant metastasis when appropriate. A surgical plan, if indicated, is then constructed based on these findings. The extent of excision needs to be carefully balanced to ensure adequate resection while also preserving function.
After removal, pathological evaluation is imperative. This analysis not only confirms the diagnosis but also examines for tumor involvement of the surgical margins. Based on this pathology report, a multidisciplinary discussion is necessary to determine the next steps. Re-excision may be indicated and is dependent on the anatomical location and proximity of local structures. Additionally, adjuvant therapy needs to be discussed with the oncology team. A careful risk/benefit analysis of radiotherapy should be discussed due to the long-term risk of secondary malignancies and growth disruption in children.15 If no other treatment is indicated post-resection, a thorough follow-up plan with close surveillance should be discussed. This plan may involve repeat clinical examinations and imaging and is individualized based on the risk of local recurrence and distant metastasis. Throughout this process, open communication and involvement of the family in decision-making is necessary to ensure understanding of the diagnosis and necessity of each step in management. This will help to decrease anxiety and increase compliance.
Acknowledgments
Authors: Joshua Wright, MBBS1; Jonathan Metts, MD2; Hector Monforte, MD3; Christopher Francis, MD4; Jordan Halsey, MD1
Affiliations: 1Division of Plastic and Reconstructive Surgery, Johns Hopkins All Children's Hospital, St. Petersburg, Florida; 2Cancer and Blood Disorders Institute, Johns Hopkins All Children's Hospital, St. Petersburg, Florida; 3Division of Anatomic Pathology, Johns Hopkins All Children’s Hospital, St. Petersburg, Florida; 4Department of Pediatric Interventional Radiology, Johns Hopkins All Children’s Hospital, St. Petersburg, Florida
Correspondence: Jordan N. Halsey, MD; jhalsey2@jhmi.edu
Disclosures: The authors declare no conflict of interest or financial disclosures.
References
1. Rodríguez Bandera AI, Sebaratnam DF, Wargon O, Wong LCF. Infantile hemangioma. Part 1: Epidemiology, pathogenesis, clinical presentation and assessment. J Am Acad Dermatol. 2021;85(6):1379-1392. doi:10.1016/j.jaad.2021.08.019
2. Pahl KS, McLean TW. Infantile hemangioma: a current review. J Pediatr Hematol Oncol. 2022;44(2):31-39. doi:10.1097/MPH.0000000000002384
3. Frieden IJ, Rogers M, Garzon MC. Conditions masquerading as infantile haemangioma: Part 1. Australas J Dermatol. 2009;50(2):77-97. doi:10.1111/j.1440-0960.2009.00514_1.x
4. Léauté-Labrèze C, Torres EB, Weibel L, et al. The infantile hemangioma referral score: A validated tool for physicians. Pediatrics. 2020;145(4):e20191628. doi:10.1542/peds.2019-1628
5. Krowchuk DP, Frieden IJ, Mancini AJ, et al. Clinical practice guideline for the management of infantile hemangiomas. Pediatrics. 2019;143(1):e20183475. doi:10.1542/peds.2018-3475
6. Mamlouk MD, Danial C, McCullough WP. Vascular anomaly imaging mimics and differential diagnoses. Pediatr Radiol. 2019;49(8):1088-1103. doi:10.1007/s00247-019-04418-0
7. McNab M, García C, Tabak D, Aranibar L, Castro A, Wortsman X. Subclinical ultrasound characteristics of infantile hemangiomas that may potentially affect involution. J Ultrasound Med. 2021;40(6):1125-1130. doi:10.1002/jum.15489
8. Kutz AM, Aranibar L, Lobos N, Wortsman X. Color Doppler ultrasound follow-up of infantile hemangiomas and peripheral vascularity in patients treated with propranolol. Pediatr Dermatol. 2015;32(4):468-475. doi:10.1111/pde.12596
9. Luca AC, Miron IC, Trandafir LM, et al. Morphological, genetic and clinical correlations in infantile hemangiomas and their mimics. Rom J Morphol Embryol. 2020;61(3):687-695. doi:10.47162/RJME.61.3.07
10. Hoornweg MJ, Theunissen CIJM, Hage JJ, Van Der Horst, Chantal M. A. M. Malignant differential diagnosis in children referred for infantile hemangioma. Ann Plast Surg. 2015;74(1):43-46. doi:10.1097/SAP.0b013e31828bb2d9
11. Perman MJ, Castelo-Soccio L, Jen M. Differential diagnosis of infantile hemangiomas. Pediatr Ann. 2012;41(8):1-7. doi:10.3928/00904481-20120727-09
12. Frieden IJ, Rogers M, Garzon MC. Conditions masquerading as infantile haemangioma: Part 2. Australas J Dermatol. 2009;50(3):153-168. doi:10.1111/j.1440-0960.2009.00529_1.x
13. Thway K, Noujaim J, Jones RL, Fisher C. Dermatofibrosarcoma protuberans: pathology, genetics, and potential therapeutic strategies. Ann Diagn Pathol. 2016;25:64-71. doi:10.1016/j.anndiagpath.2016.09.013
14. Shmookler BM, Enzinger FM, Weiss SW. Giant cell fibroblastoma. A juvenile form of dermatofibrosarcoma protuberans. Cancer. 1989;64(10):2154-2161. doi:10.1002/1097-0142(19891115)64:10
15. Sleiwah A, Wright TC, Chapman T, Dangoor A, Maggiani F, Clancy R. Dermatofibrosarcoma protuberans in children. Curr Treat Options in Oncol. 2022;23(6):843-854. doi:10.1007/s11864-022-00979-9


