Half-Dose tPA for Massive Pulmonary Thromboembolism After Liposuction
© 2023 HMP Global. All Rights Reserved.
Any views and opinions expressed are those of the author(s) and/or participants and do not necessarily reflect the views, policy, or position of ePlasty or HMP Global, their employees, and affiliates.
Abstract
Background. The most aggressive preventive strategies may fail to prevent pulmonary embolism (PE) after liposuction. PE can cause serious life-threatening consequences and death. If hemodynamic detoriation occurs, treatment is systemic or catheter-directed fibrinolytic therapy and, if failed, surgical embolectomy. A latent risk exists for catastrophic hemorrhage when thrombolytic is administered after surgery. Thus, the use of tissue plasminogen activator (tPA) has never been studied in postoperative patients, and the safety of this medicine is unknown. In this case study, a 31-year-old obese woman was evaluated for complaints of shortness of breath, palpitations, and hypotension in the first postoperative day after liposuction.
Conclusions. Successful management of massive PE with a half-dose regimen of tPA (alteplase 50 mg over 2 hours) is reported.
Introduction
Pulmonary embolism (PE) is a rare but devastating complication of plastic surgery.1 Most aggressive preventive strategies can fail. Both fat embolism and thromboemboli can cause significant morbidity, even death.2 Thrombolysis is the current standard of care for patients with clinical manifestations of a massive PE with hemodynamic instability. Surgery within the past 3 weeks is a contraindication to tissue plasminogen activator (tPA).3 The surgeon and intensive care unit team are forced to deal with PE on one side and bleeding complications of tPA on the other. The following case presentation highlights the importance of preventing PE after plastic surgery due to potentially devastating consequences.
Methods
A 31-year-old obese woman developed shortness of breath, palpitation, and hypotension (80/50 mm Hg) in the evening of the first day after liposuction. The patient’s acute postoperative course was previously unremarkable. She was maintained on twice-daily low-molecular-weight heparin and intravenous fluids.
On physical examination, the patient was awake and alert. Pulse rate was 100 bpm and respirations were 18 breaths/min. Her oxygen saturation was 85% on ambient air, and arterial partial pressure of oxygen (PaO2) was 55 mm Hg. On a reservoir oxygen mask at 5 L/min, oxygen saturation increased to 97%. The patient did not develop severe respiratory failure and therefore did not undergo endotracheal intubation.
Results
An electrocardiogram showed sinus tachycardia, right axis deviation, and right bundle branch block. Results of laboratory studies were normal except for a serum troponin-I level of 1181 ng/L (normal, <74 ng/L) and d-dimer level of >10000 (normal, <500 ng/mL). Echocardiography revealed dilated right heart chambers and increased pulmonary arterial pressure. Ejection fraction was normal. Doppler ultrasound of the lower extremities showed no signs of thrombus.
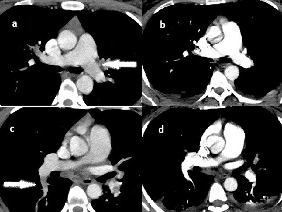
A computed tomography (CT) pulmonary angiography examination was performed immediately because of suspected PE. CT acquisitions were performed with multidetector CT units on a 128-slice CT scanner (Philips Ingenuity Core128, Philips Medical Systems) using standard protocols. A CT pulmonary angiogram revealed extensive bilateral pulmonary thrombosis, primarily involving the proximal aspect of both main pulmonary arteries (Figure 1A and C). Fat embolism was ruled out. Following the diagnosis of PE, treatment with 50 mg alteplase tPA (Actilyse; Boehringer Ingelheim) was administered over 2 hours intravenously.
The patient had an adequate response to systemic thrombolysis. After the tPA infusion, oxygenation and blood pressures improved. The ratio of PaO2 to fractional inspired oxygen (FiO2) increased to 80 (PaO2 of 75 mm Hg and FiO2 of 93%) on the following day. Laboratory studies showed the patient's d-dimer level had decreased from >10000 ng/mL before treatment to 2653 ng/mL on the following day of thrombolysis. A posttreatment control CT revealed that the thrombi were successfully lysed (Figure 1B and 1D). The patient bled through abdominal drains and received an erythrocyte suspension transfusion along with 5 units of packed red blood cells and 3 units of fresh-frozen plasma over the course of 48 hours. On postoperative day 3, the bleeding had stopped and the drains were removed. The patient was discharged on rivaroxaban therapy for 6 months.
Discussion
Liposuction is generally a safe procedure. Although PE is rare after this cosmetic surgery, it carries a high risk of death when it occurs.4 Thrombolysis is the current standard of care for patients with clinical manifestations of a massive thromboemboli with hemodynamic instability. For patients with confirmed thromboemboli who are persistently hypotensive (systolic blood pressure of lower than 90 mm Hg or a drop in systolic blood pressure of 40 mm Hg or greater from baseline) the recommended treatment is thrombolytic therapy followed by anticoagulation, rather than anticoagulation alone.3 The suggested dose for tPA in the guidelines3 is 100 mg over 2 hours as the standard therapy. The greatest benefit is acquired when treatment is started within 48 hours, and accelerated intravenous administration has been shown to be more beneficial than prolonged thrombolytic infusions. Serious bleeding may occur during or after fibrinolysis with recommended dosing. Mortality risk is higher with major bleeding.3 Half-dose tPA (ie, 50 mg administered over 2 hours) has been shown to display similar efficacy and safety when compared with the standard regimen.5
Patient history of surgery in the past 3 weeks is a contraindication to fibrinolysis according to both American Heart Association and European Society of Cardiology guidelines. This case study demonstrates how a careful approach can lead to successful treatment of PE with tPA on the horns of a dilemma. In a review of the literature, 2 case reports were identified describing fibrinolytic use after liposuction; of these, 1 case achieved a successful outcome6 and the other had no response to the fibrinolytic treatment.7 Considering the bleeding associated with tPA use, the risk of abdominal hemorrhage was high in our patient. The input from a plastic surgeon was critical to understand that such hemorrhage would most likely be treatable, and it was this point that favored proceeding with half-dose tPA. Fortunately, the surgical site hemorrhage did not require operative intervention and was successfully managed by erythrocyte suspension transfusion.
Conclusions
The case owes its uniqueness to 50 mg tPA (alteplase), which was sufficient to lyse the thrombus despite the relative contraindication after plastic surgery.
Acknowledgments
Affiliations: 1Department of Cardiology, Erdem Hospital, Istanbul, Turkey; 2Department of Plastic Surgery, Erdem Hospital, Istanbul, Turkey
Correspondence: Yucel Colkesen, MD; kardiyoloji@yahoo.com
Disclosures: The authors disclose no relevant financial or nonfinancial conflicts of interest.
References
1. Kalmar CL, Thayer WP, Kassis S, Higdon KK, Perdikis G. Pulmonary embolism risk after cosmetic abdominoplasty and functional panniculectomy. Ann Plast Surg. 2022;89(6):664-669. doi:10.1097/SAP.0000000000003281
2. Most D, Kozlow J, Heller J, Shermak MA. Thromboembolism in plastic surgery. Plast Reconstr Surg. 2005;115(2):20e-30e. doi:10.1097/01.prs.0000150147.31475.bb
3. Konstantinides SV, Meyer G, Becattini C, et al; ESC Scientific Document Group. 2019 ESC Guidelines for the diagnosis and management of acute pulmonary embolism developed in collaboration with the European Respiratory Society (ERS). Eur Heart J. 2020;41(4):543-603. doi:10.1093/eurheartj/ehz405
4. Cárdenas-Camarena L, Andrés Gerardo LP, Durán H, Bayter-Marin JE. Strategies for reducing fatal complications in liposuction. Plast Reconstr Surg Glob Open. 2017;5(10):e1539. doi:10.1097/GOX.0000000000001539
5. Wang C, Zhai Z, Yang Y, et al; China Venous Thromboembolism (VTE) Study Group. Efficacy and safety of low dose recombinant tissue-type plasminogen activator for the treatment of acute pulmonary thromboembolism: a randomized, multicenter, controlled trial. Chest. 2010;137:254-262. doi:10.1378/chest.09-0765
6. Christiansen ME, Kumar G, Mahabir RC, Helmers RA, Bendok BR, O’Carroll CB. Intravenous alteplase for acute stroke and pulmonary embolism in a patient with recent abdominoplasty. Neurologist. 2017;22(4):150-152. doi:10.1097/NRL.0000000000000139
7. Cenk Conkbayir, Said Kenan, Ozan Emiroğlu. Massive pulmonary thromboembolism after abdominoplasty and liposuction. Turk Kardiyol Dern Ars. 2011;39(5):410-413. doi:10.5543/tkda.2011.01306


