Don’t Play It by Ear: Technical Considerations to Optimize Outcome and Procedural Safety of Congenital Microtia Reconstruction in a Dextrocardia Patient With Situs Inversus Totalis, Butterfly Vertebra, and Hemivertebra
© 2023 HMP Global. All Rights Reserved.
Any views and opinions expressed are those of the author(s) and/or participants and do not necessarily reflect the views, policy, or position of ePlasty or HMP Global, their employees, and affiliates.
Abstract
Background. Microtia can occur as a standalone condition or as part of a genetic syndrome. We report the first case of microtia presenting in a patient with dextrocardia, situs inversus totalis, butterfly vertebra, and hemivertebra, and we present technical recommendations for optimizing anaesthetic and surgical harmony in this extraordinary case.
Patients with situs inversus dextrocardia should be checked for signs of Kartagener syndrome. Dextrocardia requires mirroring the placement of electrocardiogram (ECG) leads and the use of shocking paddles for cardiopulmonary resuscitation. Central venous access should be performed under ultrasound guidance because of varied course. Cervical vertebral deformities necessitate a thorough airway assessment since neck mobility may be limited due to pain or aberrant curvature.
Conclusions. In this case, Brent’s approach was used to treat the microtia, but rib cartilage was harvested from the ipsilateral side to lessen the chance of damaging the pericardium due to unfamiliar anatomy. These factors must be taken into account to perform a safe surgery on such patients.
Introduction
Microtia is a sparsely reported auricular condition with a prevalence rate of 0.083 to 17.4 per 10,000 births.1 Syndromic microtia has been most commonly reported in association with the oculoauriculovertebral spectrum, which involves characteristic presentations like epibulbar dermoid, hemifacial microsomia, and vertebral anomalies.2 Situs inversus dextrocardia is also an exceedingly rare congenital malposition, occurring in 1 in 10,000 births.3 Moreover, its association with auricular abnormalities is almost nonexistent in the current literature except for a single report.4
We report the first case of microtia in a patient with dextrocardia, situs inversus totalis, butterfly vertebra, and hemivertebra, and we provide technical recommendations to optimize anaesthetic and surgical harmony involved in this extraordinary circumstance.
Methods
A 13-year-old female patient presented with an underdeveloped left side pinna since birth with no other significant ear symptoms (Figure 1). Perinatal or birth history was unremarkable, and she had attained developmental milestones as per age. She had no shortness of breath, cyanotic spells, recurrent respiratory infections, or other cardiorespiratory symptoms.
On otological examination, the patient had a conchal type of microtia of the left ear (Nagata classification) with patent external auditory meatus. There was associated conductive hearing loss. Mild facial asymmetry with hypoplasia of the left cheek was noted. Occlusion and bilateral temporomandibular joint were normal. Facial nerve examination revealed no abnormality. Her hairline was low on the left side. Examination of the right ear was normal. Chest circumference at the level of the nipple was 61 cm. Patient was planned for Autologous ear reconstruction with rib cartilage graft.
Pre-operative workup:
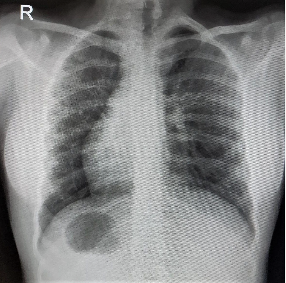
During work-up for surgery, chest radiographs revealed dextrocardia that was further confirmed on a 2D echocardiography (Figure 2). A cervical radiograph revealed the presence of hemivertebrae and butterfly vertebrae at C4 to C6 (Figure 3). Ultrasonography of the abdomen revealed situs inversus. No gastrointestinal or urogenital tract anomalies were detected. Cross-sectional imaging was not performed because the patient was asymptomatic, and echocardiography was normal. A template was constructed based on the opposite ear to guide cartilage carving intraoperatively (Figure 4).
Surgical Methods:
The patient was induced with general anesthesia. After induction, markings were made for the position of the neo-auricle over the auricle remnant. An access incision was made in front of the root of the helix, and a subcutaneous pocket was created 1 cm beyond the marked margin of the cartilage framework. Cartilage was harvested from the left sixth through eighth synchondrosis joints with subperichondrial dissection to construct the framework. A cavity inspection was performed to check for pleural tears. The basal block, helical rim, and antihelical rim were chiseled out and fixed with 4-0 nonabsorbable polypropylene monofilament sutures. A piece of cartilage was banked in the temporal region for future framework elevation. The remnant cartilage was diced and filled into the subperichondrial pocket. The wound was closed in layers following insertion of a 12-French suction drain in the ear pocket and 16-French in the chest donor cavity. Contour dressing was done over the ear framework.
Results
Patient had uneventful postoperative course. The drain was removed on postoperative day 2, and the patient was discharged on day 3. All wounds healed within 3 weeks (Figure 5).
A second stage reconstruction was undertaken after 6 months, during which the previously constructed framework was exposed, elevated, and sutured to the overlying skin. The posterior auricular defect was covered using an intermediate thickness skin graft. After 2 stages, the patient had an acceptable aesthetic outcome. Laser hair removal over the helix due to low hairline was begun 6 months after the second surgery.
Discussion
Microtia is a genetic condition affecting the external ears that can occur in isolation or in association with genetic syndromes (eg, Treacher-Collins syndrome, Goldenhar syndrome, or oculo-auriculo-vertebral spectrum) and other malformations, including facial clefts, cardiac defects, limb anomalies, renal anomalies, and vertebral anomalies.4 The association of microtia and secondary dextrocardia with right pulmonary agenesis and situs solitus was first reported in 2001 on prenatal sonography.5 Later in 2015, possible new associations among unilateral microtia, dextrocardia, and situs inversus totalis were described in a published report.2
We report another new association of unilateral microtia and dextrocardia with situs inversus totalis and cervical vertebral abnormalities (hemivertebrae and butterfly vertebrae). Most existing case reports reveal only particular aspects of microtia-related syndromes and genetic and epidemiologic data. In this report, we review the preanesthetic assessment and surgery-related peculiarities of managing such a patient.
Although parents may visit the outpatient clinic solely for aesthetic correction of their child’s deformed ear, this is often a good opportunity to do a thorough examination of the child before beginning treatment. Clinical examination can pick up obvious deformities and suggest the existence of internal anomalies that require diagnostic studies, such as audiologic testing and computed tomography (CT) of the head, in cases with higher-grade malformations and external auditory canal deformities. Genetic associations can be identified through chest and spine radiographs, abdominal ultrasound, 2D echocardiography, and CT or magnetic resonance imaging of the chest.
When dextrocardia is suspected, the situs of the abdominal viscera and vessels should be determined next. Patients with situs solitus dextrocardia, as well as those with levo- or mesocardia, have a very high incidence (90%-100%) of underlying heart disorders. A systematic approach using cross-sectional imaging and echocardiography should be undertaken to look at all the different parts of the heart anatomy to identify any structural anatomic defects that may be present and affect perioperative risk. These cardiac defects commonly include the atrial septal defect, ventricular septal defect, coarctation of aorta, hypoplastic aortic arch, and patent ductus arteriosus stenosis. Patients with situs inversus dextrocardia, on the other hand, are unlikely to have intracardiac abnormalities, but they should be checked for signs of primary ciliary dyskinesia (such as Kartagener syndrome, which is seen in 25% of cases); such signs include a history of recurrent respiratory infections and evidence of poor oxygenation. Lung overinflation, bronchial wall thickening, and sinus abnormalities can all be picked up on a CT scan.6 Informed consent should be obtained from every patient with Kartagener syndrome for a possible tracheostomy before surgery to clear out residual secretions after extubation.7 Our patient had no cardiac defect nor any history of recurrent sinusitis or chest infection.
Besides cardiac implications, our patient also had cervical vertebral anomalies. Both hemivertebrae and butterfly vertebrae are typically found in thoracic and lumbar regions and are rare in the cervical spine. However, their presence necessitates a comprehensive airway examination because neck mobility may be restricted due to pain or abnormal curvature and may cause a difficult intubation.8,9
Intraoperatively, dextrocardia has implications for both ECG lead placement and cardiopulmonary resuscitation. Due to the anatomical transposition, the limb and chest leads should horizontally mirror the usual placement for better ECG interpretation; similarly, defibrillator pads should be placed in the reverse positions (ie, upper left and lower right). Central venous access, if needed, may also pose an additional challenge and should be performed under ultrasound guidance due to the possibility of a variable course.
From a surgical standpoint, clinicians at our institution usually perform the Bren technique for microtia reconstruction with modifications on a case-to-case basis. Usually, rib cartilage harvest is performed on the contralateral side,10 but harvesting from the ipsilateral side (left) was more convenient in this circumstance since there would be a lower risk of injuring the pericardium due to unfamiliar anatomy.
Postoperatively, even though we had no anticipation of increased risk of postoperative complications like atelectasis or bronchopneumonia (which can occur in patients with coexisting Kartagener syndrome), we followed expedited recovery protocols, such as early mobilization and chest physiotherapy. These points should be taken into consideration for microtia correction in patients with dextrocardia and situs inversus and vertebral anomalies.
Acknowledgments
We are grateful to the family of the patient for allowing us to present this report.
Affiliations: 1Department of Plastic, Reconstructive and Burns Surgery, All India Institute of Medical Sciences, New Delhi, India; 2Aarupadai Veedu Medical College and Hospital, Puducherry, India
Correspondence: Maneesh Singhal, MCh, FACS, FRCS; drmaneesh@gmail.com
Disclosures: The authors disclose no relevant conflict of interest or financial disclosures for this manuscript.
References
1. Luquetti DV, Heike CL, Hing AV, Cunningham ML, Cox TC. Microtia: epidemiology and genetics. Am J Med Genet A. 2011;158A(1):124-139. doi:10.1002/ajmg.a.34352
2. Hu J, Liu T, Zhou X, Zhang Y, Zhang Q. Unlilateral microtia, dextrocardia and situs inversus totalis: a possible new association. J Plast Reconstr Aesthet Surg. 2015;68(2):e35-e36. doi:10.1016/j.bjps.2014.10.020
3. Supriya G. Situs inversus totalis - a case report. IOSR J Appl Physics. 2013;3(6):12-16. doi:10.9790/4961-0361216
4. Llano-Rivas I, Ariadna, del Castillo V, Reyes R, Carnevale A. Microtia. Arch Med Res. 1999;30(2):120-124. doi:10.1016/s0188-0128(98)00023-2
5. Maymon R, Schneider D, Hegesh J, Herman A, Weinraub Z, Achiron R. Antenatal sonographic findings of right pulmonary agenesis with ipsilateral microtia: a possible new laterality association. Prenat Diagn. 2001;21(2):125-128. doi:10.1002/1097-0223(200102)21:2<125::aid-pd999>3.0.co;2-c
6. Rapoport Y, Fox CJ, Khade P, Fox ME, Urman RD, Kaye AD. Perioperative implications and management of dextrocardia. J Anesth. 2015;29(5):769-785. doi:10.1007/s00540-015-2019-7
7. Dylan Bould M, Gothard JWW. Sudden hypoxia during anesthesia in a patient with Kartagener’s syndrome. Pediatr Anesth. 2006;16(9):977-980. doi:10.1111/j.1460-9592.2006.01884.x
8. Copeland CC, Conti BM, Fouché-Weber LY, Grissom T. Butterfly vertebrae. Anesthesiology. 2018;129(3):582-582. doi:10.1097/aln.0000000000002258
9. Löhnert C, K. Petridis A, Maslehaty H, Scholz M. Clinical implications of the rare anomaly of a cervical hemivertebra over a period of 30 year. J Spine Neurosurg. 2013;02(02). doi:10.4172/2325-9701.1000111
10. Osorno G. Autogenous rib cartilage reconstruction of congenital ear defects: report of 110 cases with Brentʼs technique. Plast Reconstr Surg. 1999;104(7):1951-1962. doi:10.1097/00006534-199912000-00001


